
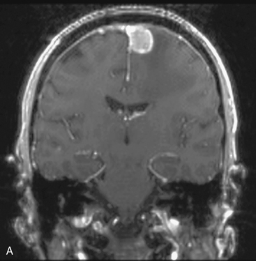
30例完全封闭SSS的脑膜瘤患者完全切除了包裹的部分窦。30例完全封闭SSS的脑膜瘤患者完全切除了包裹的部分窦。30例完全封闭SSS的脑膜瘤患者完全切除了包裹的部分窦。我们进行了血管...

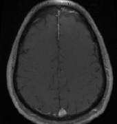
矢状窦旁是 脑膜瘤 生长较常见的部位之一,占全部颅内脑膜瘤的18-23%。矢状窦旁脑膜瘤(PMs)与上矢状窦及引流静脉的紧密联系,使根治性切除难以实现,可能导致神经功能的持续损害,...

Cushing和Eisenhardt将矢状窦旁脑膜瘤定义为肿瘤充填矢状窦旁角,在肿瘤和上矢状窦间无脑组织。对此,国外也有相关的研究数据为证:辛普森I级切除5年后的复发率为35%,II级切除为4%,I...

镰旁和矢状旁脑膜瘤是颅底脑膜瘤的常见部位,切除手术可从根本上解除占位效应,但手术不慎也有可能造成并发症...

问:矢状窦旁 脑膜瘤症状 有哪些? 答: 脑膜瘤 是一种在覆盖大脑和脊髓的膜内发展的肿瘤,称为脑膜。矢状窦旁脑膜瘤形成在大脑附近,沿着大脑从前向后延伸。出现矢状窦旁脑膜...