
脑膜瘤是从覆盖大脑和脊髓的膜(“脑膜”)发展而来的脑瘤。大多数脑膜瘤是良性的。脑膜瘤严重吗?脑膜瘤不做手术可以吗...

脊柱脑膜瘤不做手术可以吗?利用RNA微阵列技术,在分析的2×10^4基因中,鉴定出1555个基因表现出差异表达模式,其中35个基因在脑膜瘤和脊膜瘤的组织学亚型匹配时表现出不同的表...

问:良性脑膜瘤能活多久?脑膜瘤不做手术可以吗? 答: 脑膜瘤 是二常见的原发性脑肿瘤,每年每10万例男性发病率为3-4例,每年每10万例女性发病率为9-13例。发病率随年龄而增加...

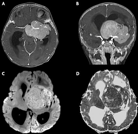
脑膜瘤 约占中枢神经系统全部肿瘤的三分之一。它们是生长缓慢的肿瘤,起源于硬脑膜,通常是良性且无症状的。无症状脑膜瘤通常保持相同的大小或长时间缓慢生长。然而,根据肿块...

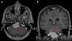
脑膜瘤是较常见的轴外肿瘤,占全部颅内肿瘤的15%。根据国际卫生组织的标准,有三个等级。大多数是WHO 1级;约6%为WHO 2级;少见的是WHO 3级肿瘤(具有转移潜力的恶性肿瘤)。非典型脑膜...

脑膜瘤(Meningiomas)作为发病率为颅内肿瘤二位的脑肿瘤,常见,特别是由于人随着年老,机体的免疫功能减弱,在老年人群中,脑膜瘤患病的特别多。脑膜瘤的发病率随着年龄的增...