
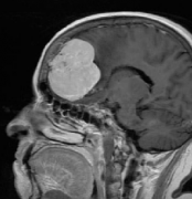
脑膜瘤是从覆盖大脑和脊髓的膜(“脑膜”)发展而来的脑瘤。大多数脑膜瘤是良性的。脑膜瘤严重吗?脑膜瘤不做手术可以吗...

脑膜瘤严重吗?不足9%的颅内脑膜瘤位于后颅窝。Olivercrona等报道了4185例脑肿瘤,颅内脑膜瘤为803例,有68例位于后颅窝(包括20例小脑幕脑膜瘤)。由于后颜窝的神经血管解剖结构复杂和肿瘤的自然生...

良性脑膜瘤会复发吗?脑膜瘤通常是良性(非癌性)脑肿瘤。40 至 60 岁之间的人较常被诊断出患有良性脑瘤,但脑膜瘤可以在全部年龄段的人中发展,包括儿童。...

侧脑室脑膜瘤严重吗?脑室内脑膜瘤相对少见,占全部脑膜瘤的1%至2%。一例有记录的脑室脑膜瘤可能是肖在1854年提出的。一他在侧脑室三角区发现了一个包裹性纤维肿瘤。1881年,麦...

脑膜瘤生长速度很快吗?脑膜瘤有三种生长模式。非典型脑膜瘤呈指数增长。相反,良性脑膜瘤呈指数型、线形或无生长。后者的生长模式可能随着钙化的出现而改变。脑膜瘤是以硬脑...

颅内脑膜瘤是较常见的原发性脑肿瘤,在大多数成人手术系列中,近一半的脑膜瘤患者年龄≥65岁。随着预期寿命的延长和神经诊断技术的进步,越来越多的老年颅内脑膜瘤患者需要接受...

脑膜瘤严重吗?颅内脑膜瘤的手术治疗,脑膜瘤是什么病?脑膜瘤主要是一种神经外科疾病,尽管大多数肿瘤在组织学上被分类为“良性”,但临床过程以及对患者和护理人员的影响远...

脑膜瘤不做手术可以吗?诊断时年龄较小(20-44岁)的患者,估计脑膜瘤的10年总生存率分别为571%和777%。此外,由于大多数已发表的脑膜瘤治疗研究采用基于影像学的终点(合适率、无进展...

脑膜瘤3Cm严重吗?怎么治疗比较好?脑膜瘤是较常见的脑肿瘤——约占全部脑肿瘤的30%——大多数是可以治疗的。事实上,这些肿瘤大多数可以通过手术切除,许多不会复发。脑膜瘤起...

脑膜瘤3Cm严重吗? 脑膜瘤手术 后多久恢复? 脑膜瘤(Meningiomas)是一种常见的颅内肿瘤,在颅内肿瘤中占二位,是起源于脑膜及脑膜间隙的衍生物。大多数脑膜瘤属于良性肿瘤,生...