脑膜瘤是较常见的颅内肿瘤。女性约占全部颅内肿瘤的38%,男性约占20%。[一]脑膜瘤也是大脑中较常见的轴外肿瘤,也是较常见的中胚层或脑膜来源的肿瘤。女性比男性更常见,通常在30岁后诊断。
放射学成像技术的进步,如计算机断层扫描(CT)和磁共振成像(MRI),提高了评估肿块完全切除成功的能力。关于硬脑膜附着部位、水肿位置和严重程度的影像信息,并且关键神经血管结构的移位对于计划手术方法是有用的,并且对结果有影响。

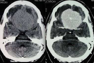
无对比和有对比的横轴位CT显示在这种强烈增强的脑膜瘤内有轮辐状图案。虽然这种模式通常在血管造影中看到,但也可以在横断面成像中注意到。

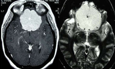
随后的核磁共振成像显示先前的计算机断层扫描具有以下序列:钆注射后的轴向T1和轴向T2序列。这再次显示了一个较大的中线额骨脑膜瘤,呈轮辐状。
神经放射学家和神经外科医生需了解脑膜瘤的典型和非典型影像学表现,因为它们与不同的肿瘤组织学类型有的相关性。
国际卫生组织(世卫组织)将脑膜瘤分为3大类15个亚型:
·一级(典型或良性),占病例的88-94%
·二级(非典型),占病例的5-7%
·三级(间变性或恶性),占病例的1-2%
导致复发的重要因素包括非典型和恶性组织学类型以及CT扫描上的异质性肿瘤增强。
脑膜瘤起源于蛛网膜,特别是脑膜上皮细胞。大多数脑膜瘤向内朝着大脑生长,呈离散的界限分明的硬脑膜肿块,呈球形或分叶状。扁平肿瘤,称为斑块,浸润硬脑膜,并沿凸形硬脑膜、镰或小脑幕生长成薄的肿瘤毯或片。脑膜瘤的硬膜附着可以是有蒂的或宽基的(无柄的)。由于软脑膜和蛛网膜在大脑和肿瘤之间形成膜状屏障,一些脑膜瘤生长到蛛网膜下腔,但侵犯大脑的情况很少。
优选检查方式
磁共振成像是诊断和评估脑膜瘤的优选方法。它更准确地评估斑块和后颅窝脑膜瘤,这些可能在CT扫描中被遗漏。然而,计算机断层扫描清楚地显示了骨质增生,这在核磁共振成像上可能很难理解。
历史上,计算机断层扫描在轴向以外的任何平面上进行直接成像都有局限性。然而,随着现代螺旋CT扫描和多节或多排CT(MDCT)扫描,可以从轴向数据重建的矢状和冠状图像的质量提高。在区分不同类型的软组织方面,CT扫描不如MRI有帮助。
脑膜瘤的鉴别诊断包括硬脑膜转移(乳腺癌和腺癌是较常见的原发恶性肿瘤)、血管外皮细胞瘤、肉芽肿病(包括结节病和结核)、特发性肥厚性硬脑膜炎、髓外造血、血管瘤和硬脑膜/静脉窦。对于某些解剖位置,应考虑其他鉴别诊断,包括桥小脑角肿瘤的前庭神经鞘瘤,鞍旁肿瘤的垂体大腺瘤和颅咽管瘤,以及斜坡周围肿块的脊索瘤/软骨肉瘤。
术前放射介入的发展
导管的发展和栓塞材料的不断完善以及放射影像控制的介入治疗有助于好转脑膜瘤患者的治疗。临床医生需意识到神经外科医生和神经放射科医生在神经外科患者治疗中的参与。
良性脑膜瘤的较佳治疗方法是完全手术切除肿瘤。然而,介入性神经放射学家通常在术前进行栓塞以减少肿瘤的血液供应。脑膜瘤的治疗得益于栓塞,但特别是那些表现复杂的脑膜瘤、较大脑膜瘤、表现出恶性或血管母细胞性特征的脑膜瘤,或涉及颅底、头皮或关键血管结构的脑膜瘤。脑膜瘤的术前栓塞通常用于促进手术。
在一项关于术前栓塞对脑膜瘤切除术后整体手术结果的影响的研究中,磁共振成像上的预栓塞和后栓塞肿瘤增强模式被定义为与术中出血减少和术后功能结果好转相关的栓塞分数。肿瘤位置与术前栓塞的决定相关。
栓塞可以在诊断性血管造影术的同时进行,如果需要详细的程序规划,也可以在以后进行。目标是通过微导管注射小颗粒(150-300微米的聚乙烯醇)来实现血管床的远端、均匀和长期闭塞。双侧硬脑膜断流术缩短了手术切除时间,并允许肿瘤完全切除。这种手术导致肿瘤坏死,扩大了手术中可以顺利切除的脑膜瘤的范围。
已经使用了尺寸范围从100微米到2000微米的聚乙烯醇颗粒,但是新的可变形颗粒和珠块已经被证明在远端栓塞治疗中更合适地到达脑膜瘤的毛细血管床。胚胎球可以用化疗药物标记。在我们的经验中,几个凸形脑膜瘤已经被栓塞了。
对于术前栓塞脑膜瘤的病理评估应采取谨慎的方法;一项研究表明,如果解释的病理学家不知道较近的手术,术前栓塞脑膜瘤可能有过度分级病理标本的风险。在此类标本中,应谨慎解释新生血管生成(微血管密度)、坏死和突出的核仁等特征。
大约2%的患者有与栓塞相关的并发症,导致神经功能缺损。在理论层面,栓塞可能会降低复发的可能性。栓塞也可能是老年或高危患者需要的治疗。见下图。

T2加权磁共振成像显示,在小脑桥脑角内的岩骨上有一个高信号的肿块,与小脑桥脑角脑膜瘤一致。鉴别诊断包括前庭神经鞘瘤。这张图像的特征包括清晰的肿瘤边缘、轻微的水肿和对四脑室和脑干的肿块效应。T2加权像上的高信号表明软肿瘤一致性和微高血管化,这在侵袭性、血管母细胞性或脑膜上皮脑膜瘤中更常见。

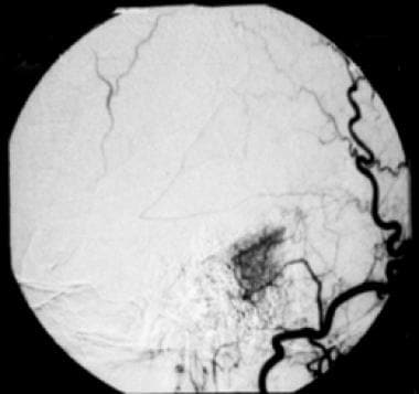
右枕动脉选择性血管造影显示通过耳动脉的局灶性高血供。早期和延迟染色见于小脑桥脑角脑膜瘤,是典型的“婆婆征”的特征。

这张血管造影显示,在手术前,通过用聚乙烯醇颗粒栓塞右侧枕动脉,成功栓塞了小脑桥脑角脑膜瘤。
INC高难度脑膜瘤案例一则:【视频故事】全切、不瘫痪、不复发:复杂位置较大脑膜瘤赴德手术记录
- 文章标题:什么是脑膜瘤?脑膜瘤如何早期发现?
- 更新时间:2021-04-30 16:57:49
400-029-0925




