
听神经瘤 是一种不同类型的脑瘤,由负责听觉和平衡的颅神经发展而来,称为前庭耳蜗神经。它们通常只出现在大脑的一侧,并且是良性的,这意味着它们不会扩散到身体的其他部位,...

听神经瘤切除术是用于切除听神经瘤的多种显微神经外科手术方式的统称。听神经瘤手术风险较大,常常有很多并发症...

她说她过于谨慎,但她想让我做核磁共振,以排除这种少见的情况。等待期让我能够收集尽可能多的信息,并寻求多种意见。该团队能够在不损伤我的面神经的情况下基本上切除整...

听神经瘤是大手术吗?20世纪90年代的专家意见是“对于大多数患有小型听神经瘤的患者,正确的治疗方法是由有经验的外科医生迅速切除”。来自英国的数据也支持保守治疗的使用增加...

听神经瘤术后面瘫可以避免吗?听神经瘤(更准确地称为“前庭神经鞘瘤”)的治疗决策是基于减少患者症状的愿望,同时保留残余面神经功能并较大限度地减少治疗并发症。四不幸的是,没有可...

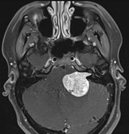
听神经瘤是起源于神经膜细胞的良性肿瘤,主要发生于听神经的前庭支(下图)。少数情况下,肿瘤直接来自脑神经Ⅷ的听攴。面神经的神经膜细胞肿瘤如果位于脑桥小脑角时,与听神经瘤很...

听神经瘤多大需要手术?发生脑神经功能紊乱的可能性更大,大部分患者会有暂时的术后神经麻痹,但是接近90%的患者恢复了正常面容和良好的功能。全部患者中,只有13%有持续的面神经麻...

听神经瘤的听力保留手术有新进展吗?保留听力是听神经瘤手术除了保留重要功能和面神经外的较后一个目标。自从Elliot和Mc Kinney, House, Rand和Kurze的历史论文以及随后的关于中颅窝入路和枕下入...

听神经瘤手术的目的是完全切除肿瘤。但是,考虑到保留和好转功能及远期效果,医生需要对此进行调整。作者的经验表明,切除前庭神经鞘瘤,应该用次全切除和根治性次全切除的方法,因为...

听神经瘤太小不需要手术?看现代神经外科如何处理听神经瘤大小和治疗的关系...