
颅内脑电图(iEEG)监测是鉴别难治性癫痫患者发作病灶的重要方法。虽然先前的研究表明手术并发症发生率较低,但报告手术部位感染率(SSI)变化很大。到目前为止,还没有研究专门...

间脑综合征是一种少见的临床表现,传统上包括严重的发育障碍、眼球震颤和运动过度,继发于典型的位于下丘脑及其附近的颅内肿瘤。然而,其临床表现是多种多样的,往往导致诊断...

儿童恶性脑瘤并非“无可救药”,目前儿童恶性脑瘤治疗现状如何?未来发展方向是什么?INC加拿大James Rutka教授论文解析...

神经外科手术后癫痫发作(PSs)是一种常见的疾病,但对其发病机制的研究甚少。到目前为止,这个问题还没有得到解决。 INC国际神经外科顾问团成员教授、国际小儿神经外科学会前主...

一直以来,患有BRAF V600E突变的儿童胶质瘤在目前的放化疗策略下预后较差。 为此,INC国际神经外科顾问团成员、国际神经外科前主席、加拿大多伦多大学儿童医院脑瘤研究中心主席J...

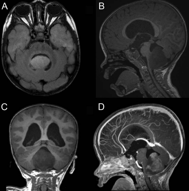
Abstract Objective:Pituitary adenomas are uncommon in the pediatric population. Although medical treatment can be effective in treating prolactinomas and some growth hormone-secreting tumors, resection is indicated in the setting of pituita...

神经外科手术中的术中神经导航可以帮助发现关键结构和靶向病变。本文探讨了术中立体定向CT在经鼻垂体瘤切除术中的顺利性和合适性。研究对象为接受经鼻垂体瘤切除术的患者。20...

儿童耐药性癫痫怎么治?关于迷走神经刺激术VNS治疗的前沿进展...

帕金森怎么治?脑深部电刺激DBS能达到什么样的程度?如何衡定治疗效果和质量指标?Krauss教授论文解答...

脑深部电刺激(DBS)是一种公认的治疗帕金森病(PD)、肌张力障碍和原发性震颤(ET)等运动障碍的方法。在过去的几年里,新的技术已开发出来并应用到临床实践中。新系统允许恒电...