明明眼镜刚换了没多久,但是看东西又看不清楚了,偶尔还发现自己的视野范围好像没以前大了;单眼视力夜逐渐变差……以为是眼睛出了问题,就诊眼科缺什么都没查出来,医生难以查明原因……
如果出现了以上问题,那可要千万警惕了,很可能是脑袋里鞍区位置出现了“问题”,那什么是鞍区呢?鞍区都有哪些常见肿瘤?鞍区肿瘤该如何治疗?
什么是鞍区?鞍去都有哪些常见肿瘤?
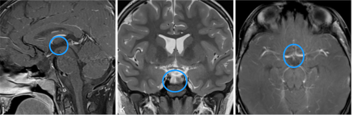
鞍区即蝶鞍区,因形似马鞍而得名,此处集合了垂体、视神经和视交叉、下丘脑等一系列重要的解剖结构,是颅底解剖中较为复杂的区域之一。鞍区其内容纳垂体,其前上方为视交叉,后上方为下丘脑。当鞍区肿瘤向鞍上生长压迫视神经和视交叉时即可引起视力障碍。

图示蓝色框内即为鞍区
鞍区肿瘤究竟有哪些呢?
临床上常见的鞍区肿瘤主要有垂体瘤、颅咽管瘤、鞍结节脑膜瘤等,其症状有的共性,除了视力视野障碍外,主要包括:
1)内分泌障碍:女性泌乳闭经,男性阳痿,垂体性肥胖等;
2)下丘脑障碍:多饮多尿、嗜睡等;
3)颅内高压症状:头痛、呕吐、视乳头水肿等。
从诊断上来说,蝶鞍区肿瘤多数比较容易确诊。一般存在内分泌障碍者早期行血液检查即可发现异常,行头部CT可发现较大占位,而MRI可轻易发现早期微小占位。综合症状体征、实验室检查、影像学检查一般可确诊典型病变。
治疗上来说,除部分类型垂体瘤可行药物治疗外,其余蝶鞍区肿瘤均需手术治疗或放射治疗。幸运的是,由于蝶鞍区肿瘤大部分均为良性或者低度恶性的,因此早期发现早期治疗多能取得较好的效果。部分患者术后视力情况可较术前有所好转,多数患者内分泌障碍较术前明显好转甚至消失。
手术治疗应该选显微镜开颅呢?还是内镜经鼻做呢?看INC三大国际教授解读鞍区常见肿瘤:颅咽管瘤、脑膜瘤、较大垂体瘤究竟该如何选择手术方式?

内镜还是开颅手术?鞍区肿瘤应该选择哪种手术方式
鞍结节脑膜瘤
鞍结节(TS)脑膜瘤占全部颅内脑膜瘤的5–10%,起源于鞍结节的硬膜,是视神经管和视交叉沟外部的交界处(较常见的起源部位)。视交叉沟、鞍膈和蝶棱都位于肿瘤的发生区域。根据Schick等人的研究,视觉障碍是较常见的临床表现,高达80%,因为鞍结节和视交叉之间有着密切的解剖关系。鞍结节脑膜瘤起源于视交叉下方,肿瘤长大后会往上、往外侧推移视神经,并且经常有高达67%的肿瘤侵犯视神经管,导致视力下降和视野缺损。根据近期发表的文献,视觉缺陷通常是不对称的,说明了肿瘤非中线起源,故可以将鞍结节脑膜瘤区别于视路胶质瘤。

图:典型的鞍结节脑膜瘤体积大并且挤压、包绕血管。肿瘤的影像学表现也具有特征性:鞍内不扩大(左上图)和额底可见脑膜尾征(右下图)。下图提示病变已经累及双侧视神经管,而且以右侧为甚。红色箭头指的是视管内强化的肿瘤,黄色箭头则是指被移位的视神经。
鞍结节脑膜瘤的较佳治疗,是手术策略,仍然存在争议。欧洲神经外科协会(EANS)颅底外科委员会及其成员INC法国Sebastien Froelich教授和该领域的其他专家成立了一个特别工作组,针对该领域一些有争议话题的进展,发布《Surgical management of Tuberculum sellae Meningiomas:Myths,facts,and controversies》,从欧洲的角度为这些肿瘤的手术管理提出建议。


论文截图
鞍结节脑膜瘤手术入路如何选择
许多经颅入路已被成功地用于切除鞍结节脑膜瘤,即标准翼点入路、额外侧入路、单侧额下入路、双侧额下入路、眶上锁孔入路、外侧眶上入路、额底纵裂入路、上纵裂入路。
内镜下经鼻入路(EEA)治疗颅底脑膜瘤越来越流行,这是颅底界较具争议的问题之一。从下方接近肿瘤具有一些理论上的优势,例如可以早期移除硬脊膜附着处附近的骨头,可以早期270°减压视神经管,早期断开肿瘤血管,更好地显示和保存供应视交叉的上垂体和ACA,避免大脑回缩。EEA的一个主要缺点是由于具有挑战性的重建增加了脑脊液瘘的风险。然而对于技术高超的神经外科医生,这种性质的并发症已经大大减少。其他的缺点包括难于切除位于视神经管上及外侧的肿瘤,手术自由受限,以及在发生大血管损伤时无法获得足够的血管控制。EEA与不的鼻窦炎发病率相关,可能对患者的生活质量产生不利影响。扩大EEA需要更地切除中鼻甲等鼻结构,并增加鼻粘膜的活动度。当特别处理鞍平面/鞍结节脑膜瘤时,EEA后的长期鼻生活质量降低。经颅入路和EEA均可发生嗅觉缺失。

内镜下经鼻入路(EEA)图示,图自Sebastien Froelich教授演讲截图
手术入路的决定应根据单个病例进行调整,同时考虑解剖学、外科医生的经验以及患者的期望。使用经颅入路,因为这是一种由国际上大多数颅底中心定期进行的技术,具有良好的效果,并且不受肿瘤大小或血管包裹的限制。通过鼻内途径进行的手术仍然局限于少数已知的EEA颅底中心,而且在选定的病例中,肿瘤形态和视觉功能方面都存在局限性。
颅咽管瘤
颅咽管瘤起源于Rathke囊或颅咽管残存的胚胎上皮细胞,是WHOⅠ级良性肿瘤,毗邻下丘脑、视神经、垂体柄等重要结构,侵入视神经会导致失明,侵入垂体和下丘脑会造成生长激素分泌障碍、身体和智力发育迟缓、尿崩症、精神人格障碍等。在手术治疗中,由于瘤腔小、术野受限,肿瘤难全切、创伤大、并发症发生率高,残余肿瘤易复发。图片
颅咽管瘤如何才能做到顺利全切呢?开颅手术还是内镜手术?
要根据肿瘤具体位置、大小及其与周边脑组织的关系,制定个体化手术入路,大而复杂的肿瘤可能需要联合不同入路手术。主刀医生的手术技术、手术团队的配合程度、术中高医疗辅助设备的应用等,都是影响肿瘤切除程度和患者预后的重要因素。
INC国际神经外科顾问团成员教授、国际神经内镜联合会候任主席Henry W.S.Schroeder教授在其2021年发表在《Neurosurgical Review》上的《Quality of life and olfactory function after suprasellar craniopharyngioma surgery——a single-center experience comparing transcranial and endoscopic endonasal approaches》的论文中,教授所在的德国格赖夫斯瓦尔德大学(Greifswald University)神经外科专家组通过对该医学院接受手术治疗的全部鞍上颅咽管瘤患者进行病例随访和分析,总结了开颅手术与经鼻内镜手术后患者生活质量和嗅觉、视力、垂体等功能的差别。


1、开颅手术:翼点入路和额外侧入路是经颅手术治疗鞍上颅咽管瘤的优选,全部手术均由作者Henry W.S.Schroeder教授完成。
7岁男孩出现垂体功能减退的症状,如体重减轻、生长发育停滞、身体状况不佳和疲劳。就诊四周前,他一直抱怨头痛和呕吐,评估表明是全垂体功能减退。

a–c图MR成像显示囊性病变对比增强,高度怀疑颅咽管瘤

j、k、l图显示,肿瘤得到全切,术后2年没有复发,目前孩子在接受激素替代疗法
2、经鼻内镜入路:经鼻内镜手术切除鞍上颅咽管瘤也均由Henry W.S.Schroeder教授完成。在13例患者中,耳鼻喉科医生为外科医生进行了辅助。
神经内镜技术的相对优势:
1、相比起显微镜手术,神经内镜有好的照明,视野好
2、无需牵拉重要的脑组织,术后反应轻
3、可以与显微镜同时操作切除肿瘤,操作方便简单
4、微创技术,患者恢复更快。
案例
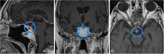
84岁女士视力减退。检查发现双侧视力下降、视野缺损。内分泌评估显示垂体功能完整。

a–c图中,MR成像显示鞍上部分实性,部分囊性对比增强病变,高度可疑的颅咽管瘤。

j-l图表示,在3个月后复查MR检查,显示术后垂体柄处有肿瘤少量残留。

m-o图显示,磁共振成像分期立体定向放射治疗后22个月,显示肿瘤明显缩小。病人经氢化可的松和甲状腺激素的替代治疗恢复良好。
结论表明:术后新发的垂体前叶和垂体后叶功能减退症,经鼻内镜手术组(E)发生率较低。术后一般生活质量、鼻窦功能和嗅觉功能在两种手术方式后相当。经鼻内镜手术组(E)相对比而言,拥有较好的视力情况、较低的尿崩症发生率和肥胖发生率,但发生脑脊液漏和尿崩症的风险较高。
垂体瘤
垂体瘤从鞍内起源,但是如果肿瘤较大向颅内突破了鞍隔孔,向颅内广泛地发展,包绕了颅内的血管,特别是大脑中动脉、大脑前动脉、大脑后动脉及其一些重要的细小分支血管,这些血管被包绕。
较大垂体瘤如何顺利手术?开颅手术还是内镜手术?
INC国际神经外科医生集团旗下组织国际神经外科顾问团(WANG)成员、国际神经外科学院主席William T.Couldwell教授在2019年二届神经外科学术交流年会上Couldwell教授展开关于《较大垂体瘤手术的细微差别》的学术演讲,交流了较大垂体瘤的技术探讨和临床经验交流,其中不乏一些具启发意义的少见病例。


Couldwell教授演讲中展示的部分较大垂体瘤
较大垂体瘤手术成功切除关键:个体化选择手术入路及案例交流
1、内镜手术切除较大垂体瘤:
垂体瘤处于接近头颅中心、颅底正中的位置,其在颅腔外的投影正好就是蝶窦。而鼻腔和鼻窦是人体本身就具有的空间,经蝶入路很好地利用了这些空间作为手术入路。
演讲中教授以人体产道类比鼻下经蝶入路的天然优势

鼻下内镜经蝶入路切除大肿瘤步骤:

打开Sella和Dura widel;顺序机动;拆下地板;删除墙;然后离开中心;辅助;Valsalva双侧颈静脉闭塞
对于内镜手术切除较大垂体瘤,Couldwell教授总结了其优劣势。
优势:简单且微创风险小;缺点:不太可能完全切除大小异常的鞍上肿瘤、哑铃形或不规则延伸的肿瘤。
2、开颅手术切除较大垂体瘤:
垂体瘤从鞍内起源,但是如果肿瘤较大向颅内突破了鞍隔孔,向颅内广泛地发展,包绕了颅内的血管,特别是大脑中动脉、大脑前动脉、大脑后动脉及其一些重要的细小分支血管。这些血管被包绕,这种情况下通常会选择经颅入路进行肿瘤切除。经颅垂体腺瘤切除术根据垂体瘤生长方向的位置可以分为三种入路途径,经额入路、经硬脑膜外入路和经翼点入路。
对于单经颅入路,Couldwell教授也总结了其优劣势。
优势在于手术的视野大,对病灶充分暴露,操作空间相比经蝶入路的手术方式大,对于保护颅底的各个重要结构有很大意义,移除鞍上神经释放视神经;缺点在于鞍内区域的远距离可视化;需要大脑收缩。
案例
患者术前情况:62岁女性,患者35年前有垂体大腺瘤复发史,随后接受放射治疗复发性肿瘤引起的侧性眼球麻痹的进行性复视。

术后影像片子显示肿瘤切除干净:

3、联合入路:内镜和开颅联合手术:
Couldwell教授指出经蝶和经颅联合入路分次手术策略,此类手术,对患者的视力保护较其重要,对于较大垂体瘤难以一次性手术切除的肿瘤,可以先行一次手术,然后在数周或数月后执行进行二次手术或者对肿瘤实施部分切除术。
对于联合手术入路分次手术的优劣势,Couldwell教授也做出了总结:
优势:全切除;缺点:术后垂体卒中风险。而对于一次手术中同时采用经颅和经蝶(上下)联合技术。有利条件:全切除术;缺点:手术区域污染和感染风险。
案例
患者术前情况:这位57岁女性,2个月前开始出现认知能力问题并逐步下降,有头疼、短期内体重增长100磅、以及虚弱等症状,曾接受过急诊室检查。
术前影像显示肿瘤较大:

由于肿瘤较大,手术策略采取了分次联合手术入路
治疗部分一:此患者属于明显的非功能性垂体腺瘤,先采用经蝶窦切除术
术后影像,肿瘤体积明显缩小

治疗部分二:右额开颅术经皮质入路治疗颅内残余肿瘤
术后影像:
- 文章标题:INC三大国际教授解读鞍区常见肿瘤:颅咽管瘤、脑膜瘤、垂体瘤开颅or内镜手术之争
- 更新时间:2024-01-24 09:10:46
400-029-0925




