INC国际神经外科医生集团旗下组织世界神经外科顾问团(WANG)成员、世界神经外科学院前院长William T.Couldwell教授发表研究《Perigeniculate Giant Cell Tumor of Temporal Bone》,以下是研究分享。

骨巨细胞瘤是一种良性溶骨性肿瘤,可通过全切除或次全切除联合辅助放射治疗进行处理。对于罕见的颞骨骨巨细胞瘤,由于毗邻重要结构,可导致功能缺损,且难以在不造成显著并发症的前提下实现全切除。Couldwell教授在论文报告一例28岁女性病例,表现为面瘫加重、耳痛、颈部疼痛、平衡障碍及主观听力下降。影像学检查发现其面神经膝状神经节区域有一病灶,并延伸至面神经迷路段及前庭。手术实现了全切除,并保留了面神经功能,因为肿瘤并非起源于面神经本身,可从神经上完整剥离。最终病理学检查结果符合骨巨细胞瘤。

骨巨细胞瘤是什么?
骨巨细胞瘤是一种良性溶骨性肿瘤,约占所有骨肿瘤的5%;最常见于20-44岁患者,且女性发病率略高(男女比例约为1:1.2)。临床表现包括疼痛、关节积液、软组织肿胀以及肿瘤部位易于发生病理性骨折。此类肿瘤通常发生于长骨骨骺区,罕见于颅骨。计算机断层扫描和磁共振成像均可用于评估颅骨骨巨细胞瘤的特征。骨巨细胞瘤可根据Enneking分期系统(根据肿瘤生物学行为描述肌肉骨骼肿瘤)或Campanacci系统(基于影像学表现)进行分期。骨巨细胞瘤的治疗方法是手术切除,复发率及预后与切除范围相关。根据病变情况,可选择全切除或次全切除,联合或不联合辅助放疗。
发生于颅骨的骨巨细胞瘤最常见于颞骨和蝶骨,但也可罕见于额骨、枕骨、顶骨及颞下颌关节。尽管属于良性,颅骨骨巨细胞瘤可具有局部侵袭性和破坏性。侵犯颞骨可能导致听力下降、耳闷感、耳后疼痛、耳鸣和自声增强等症状。由于面神经膝状神经节也包含负责味觉和感觉神经的纤维,此区域的病变可同时影响面神经的运动和感觉成分。因其毗邻这些重要结构,可导致功能缺损,并使得在不产生显著并发症的情况下实现全切除变得困难。本文报告了首例经文献发表的(以论文发表时间为准线)、位于颞骨膝状神经节周围区域的骨巨细胞瘤病例,手术实现了全切除并保留了面神经功能。
案例报告
患者为一名28岁女性,既往体健,主诉为持续数月的轻度平衡障碍、右侧进行性面肌无力、耳痛、下颌角后方持续性颈部钝痛及主观听力下降。一个月前,她曾出现急性右侧完全性面瘫。外院曾按“贝尔面瘫”治疗7天,症状改善至轻度面肌无力。患者否认有显著耳科病史。
体格检查:右侧面神经功能为House-Brackmann II/VI级,表现为右侧面颊及下唇无力,提示轻度功能障碍。耳科检查正常。512Hz音叉检查显示气导>骨导,Weber试验偏向右侧。纯音听阈平均值右侧为15 dB,左侧为7.5 dB,双侧在45 dBHL下的言语识别率均为100%。
影像学检查显示右侧颞骨有一强化、溶骨性面神经区肿块,中心位于膝状神经节,延伸至面神经迷路段及前庭,肿块内未见明显钙化(图1)。根据其均匀强化、膝状神经节周围面神经增粗、无钙化等影像学特征,最初考虑为面神经瘤。经讨论,治疗方案包括定期影像学随访观察与手术干预。考虑到面肌无力可能进展的风险,患者选择接受手术治疗。

图1.显示右侧膝状神经节周围肿块的影像学图片。(A)轴位及(B)冠状位计算机断层扫描图像,以及(C)轴位T1加权增强后及(D)轴位T2加权磁共振图像,显示右侧膝状神经节周围肿块(箭头所示)。
患者接受了经中颅窝开颅入路的肿瘤切除术。术中见一肿块填充于内听道,自膝状神经节内侧延伸至面神经迷路段,并向面神经鼓室段扩展,最初观察似起源于前庭神经远端。进一步分离后发现,肿块侵犯了上半规管壶腹端并延伸至前庭,无明显起源点。手术进行了全切除,包括切除受累的远端前庭神经及骨组织,面神经解剖结构完整,术毕时神经刺激有反应。
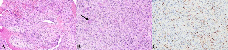
组织病理学分析显示为梭形细胞肿瘤,伴轻度异型性及散在多核巨细胞。可见骨小梁结构伴成骨细胞边缘围绕。免疫组织化学显示S-100阳性,SOX10和上皮膜抗原阴性。上述发现符合骨巨细胞瘤(图2)。

图2.肿块的组织病理学切片。(A)苏木精-伊红染色显示骨小梁伴成骨细胞边缘,周围为混杂巨细胞的梭形细胞增生;(B)苏木精-伊红染色显示轻度异型性的梭形细胞肿瘤,混有多核巨细胞(箭头所示);(C)S100染色显示轻微的阳性背景染色。
术后第1天的随访影像学检查显示无肿瘤残留(图3)。患者术后恢复顺利,于术后第3天出院。术后2个月随访,患者有轻度但逐渐改善的平衡障碍和头痛。颈部疼痛和耳痛已缓解。右侧面神经功能保持在House-Brackmann II/VI级。术后听力图显示右侧重度混合性听力损失,气骨导差为40 dB,在80 dBHL下的言语识别率为56%。由于已实现全切除,决定不进行辅助放疗。

图3.术后影像学显示肿瘤切除情况。(A)轴位及(B)冠状位计算机断层扫描图像(术后第1天获取)显示膝状神经节周围区域无肿瘤残留;箭头指向用于重建的脂肪移植物。
讨论
Couldwell教授相信这是首例报道的、局限于颞骨膝状神经节周围区域的骨巨细胞瘤。本例患者的症状很可能源于肿瘤的位置及其占位效应的综合作用。我们能够保留面神经功能,是因为肿瘤并非起源于面神经,可以将其与神经分离,从而保持了神经的完整连续性,术毕刺激有反应。鉴于肿瘤侵犯前庭,尽管进行了全切除,患者仍保留听力,这点令人意外。
对于颞骨膝状神经节周围区域的病变,决定进行手术干预需细致考量,因为进行全切除或次全切除的固有风险均基于该区域复杂的解剖结构。可采用经乳突、经迷路或中颅窝入路到达膝状神经节区域,需注意的重要解剖结构包括面神经、耳蜗、中耳和半规管。膝状神经节区域手术特有的潜在并发症可能包括面神经功能减弱、听力损失和眩晕。
决定进行手术干预应采用医患共同决策模式,综合考虑手术风险、就诊时的临床功能缺损以及病变生长可能导致的缺损进展。本例患者就诊时存在同侧面神经功能减弱,评分为House-Brackmann II/VI级。在讨论了密切随访影像学观察与手术干预两种选择后,患者选择了经中颅窝入路手术,以阻止其面肌无力的进一步进展。
侵犯颅骨的骨巨细胞瘤较为罕见,占所有骨巨细胞瘤的不到2%。其中,颞骨病变约占颅骨骨巨细胞瘤的41%。目前颅骨骨巨细胞瘤首选的治疗方法是全切除。对于接受次全切除以保留重要结构的患者,通常建议辅助放疗。
根据近期一项针对67例颅骨骨巨细胞瘤患者的荟萃分析,复发率与切除范围相关:全切除的复发率最低(3/34例,8.8%),其次为次全切除联合辅助放疗(3/21例,14.3%),而未行放疗的次全切除复发率最高(7/10例,70%)。另一项系统性综述评估了62例接受手术治疗并有五年随访生存数据的颅骨骨巨细胞瘤患者,所有16例接受全切除(无论是否联合辅助放疗)的患者在五年时均无复发存活。相比之下,接受次全切除联合辅助放疗的患者五年无复发生存率为70.1%(n=33),而仅行次全切除未联合放疗的患者为15.4%(n=13)。
结论
颞骨骨巨细胞瘤较为罕见。因其毗邻重要结构,可导致包括颅神经麻痹、听力下降、平衡障碍、耳胀满感、耳后疼痛、耳鸣和自声增强等功能缺损。本报告的膝状神经节周围区骨巨细胞瘤病例通过手术实现了全切除并成功保留了面神经功能。未来研究应评估辅助治疗在颞骨及侧颅底骨巨细胞瘤治疗中的作用。
- 文章标题:年轻女子突发面瘫,吃药好转后却再次加重!医生切开颅骨发现“潜伏”的罕见瘤
- 更新时间:2026-01-21 09:59:42
400-029-0925




