2019年,巴特朗菲教授曾在4月和6月两次来华在苏州大学附属一医院和苏州大学附属儿童医院进行手术指导,多名国内的脑海绵状血管瘤、胶质瘤、脊索瘤、垂体瘤、松果体区肿瘤患者接受了巴特朗菲教授为其实施的成功肿瘤全切术,其中更以儿童脑肿瘤和脑血管病变病例居多,引发了主流媒体热议。
如今过去了三年,2022巴教授国内示范手术再次启动,近期INC也对三年前在国内接受教授疑难示范手术的患者进行常规随访,今天的主人公聪聪就是其中之一,作为2019年巴教授国内示范手术的幸运儿之一,年仅1岁半罹患脑干海绵状血管瘤的他在接受教授全切手术过去3年后,如今恢复怎么样了呢?肿瘤有复发吗?术后生长发育有受影响吗?
较新随访:摆脱脑干海绵状血管瘤后的3年,小小“运动健将”茁壮成长
攀爬、打篮球、跳床、玩玩具……视频中的聪聪,爱玩爱闹、脸上绽放灿烂笑容,今年快5岁正在上幼儿园中班的他和全部同龄孩子一样,每天都活力满满,身上仿佛有着使不完的劲。然而3年前,这个阳光快乐的小男孩还是一名罹患致命脑干海绵状血管瘤的患儿,经历着一场令父母想起来还心有余悸的生死浩劫。
视频随访中,提到3年前的那场手术,聪聪爸爸回忆道“感恩上天给予的这个机会,能让我们借助INC求诊于国际水平的神经外科专家,自己当时的决定是正确的,相比于太多脑肿瘤的孩子,我们太幸运了”。提到孩子目前的恢复状态,聪聪爸爸表示“孩子如今恢复得很好,语言能力、运动能力都和正常小孩没有区别,对于手术效果还是满意。孩子还很喜欢运动,现在在篮球班学习,日常也会进行运动训练,目前幼儿园的生活也适应得好,是幼儿园里的‘社交小达人”。

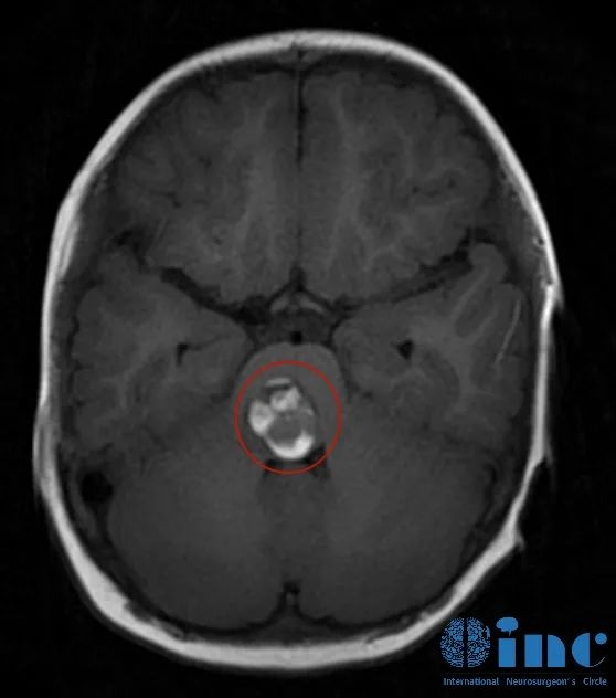
近期聪聪较新的核磁结果也表明,孩子术后3年并没有复发迹象。术后3年里,聪聪术前产生的症状——眼球运动障碍、轻微面瘫、斜视、走路不稳等也完全已经恢复。
图片
随访进行到一半,聪聪也来到镜头来,礼貌的和INC工作人员打招呼,“医生叔叔好~”,躺在爸爸怀里的他调皮得对着镜头做着鬼脸,笑容天真烂漫。看到曾经躺在病床上笼罩在死亡阴影下的1岁半幼童如今恢复成为活泼爱运动的健康小小男子汉,INC工作人员都忍不住露出欣喜的笑容。
谈及给同类脑瘤患儿父母的建议,聪聪爸爸表示:当得知孩子得了脑瘤,具体结合自己的病情和家庭经济情况,为了提高长期生存和更佳的生活质量,作为父母想尽办法寻求较好的治疗方案,请国际上能够达到全切乃至次全切、近全切手术效果的专家进行治疗,这样可以不用为自己的选择而后悔,可以较大水平地挽救自己孩子的生命!
手术回顾:1岁半脑干海绵状血管瘤患儿手术全切后治愈奇迹
凶险的脑干手术
三年前,聪聪父母带孩子头颅检查发现,原来孩子持续20多天的双眼斜视、不自主扭头、走路不稳等症状是由于脑干海绵状血管瘤破裂出血所致。当地的主治医生表示,脑干出血是神经系统急重症,不及时手术摘除将有生命危险。但由于病变位置在脑干“禁区”,位置很深,在生命中枢的位置,再加上患者又是小孩,手术术中风险及麻醉医生、手术医生、护士等的配合都属于高难度的,稍有不慎就容易波及病变周围神经血管组织造成一些不可逆的后果,如面部或全身瘫痪、视力丧失或终身斜视,重则可能出现呼吸控制需要气管切开等。

聪聪的脑干海绵状血管瘤病变位置
德国专家:手术可达全切,复发率近于0
聪聪的父母多方寻医,国内的很多神经外科医院都问过,或是因为较大的手术风险,或是因为术后可能出现的严重并发症(瘫痪、丧失视力或者终身气管切开等),或是因为国内能手术的医院大多要排队(孩子随时有二次出血的可能,不能再等了)都无法找到合适的治疗出路,聪聪的父母万分焦急,感到无助。绝望之余,聪聪的父母在网上看到“国际颅底脑干肿瘤手术教授德国巴特朗菲教授将在华手术示范”的消息时,他们仿佛看到了希望。
通过病友圈的反复印证,了解了巴教授过去有20多年颅内丘脑及脑干等复杂位置手术的成功经验,看了新华社对巴教授4月成功国内手术案例的相关报道,看了INC对巴教授脑干手术的采访视频,于是聪聪父母决定先通过INC向巴教授咨询一下聪聪的病情,评估下是否符合教授在国内为孩子手术的条件。
巴教授给出了让聪聪父母喜出望外的评估结果——孩子具有明确的手术指征,对于这种脑干部位的海绵状血管畸形只有通过手术可以合适治疗,一旦完全切除海绵状血管瘤,复发率仅仅为0-2%。可为孩子在国内手术,手术切除率可达到99-全切,患者无需长途飞机出国治疗。

巴特朗菲教授对聪聪病情的国际远程咨询回复
“能让孩子痊愈,能看着孩子跟正常小朋友一样快乐成长,不管花费多少代价我们都在所不惜!”聪聪的父母决定为孩子争取这难得的国内手术名额。期间,通过INC工作人员的帮助,他们顺利办理了转院手续并与医院协调安排好了手术时间。手术前一周,聪聪父母很快带孩子在苏州大学附属儿童医院(巴特朗菲教授国内手术示范基地)入了院。
病变被完整切除,神奇的手术效果
手术前,巴特朗菲教授查看了聪聪的状况,并与聪聪父母进行了沟通。围绕聪聪的情况,巴特朗菲教授表示,脑干海绵状血管瘤虽因脑干急性出血常导致灾难性的后果,死亡率较高。但只要诊断及时准确、手术及时,还是可以获得很好的疗效,手术切除率越高,患者痊愈的机会也就越高。
与儿童医院协作的手术医生围绕病情展开了充分的讨论和评估,并根据患者病变的特点较终确定了相对创伤小的手术入路和手术方案。手术由巴特朗菲教授亲自操刀,儿童医院神经外科医生从旁配合,在电生理监测及高倍显微镜下,巴特朗菲教授游刃有余地避开了脑干中的一些重要神经核团、传导束,先将血肿清除,再慢慢地将2cm大小的脑干桥脑海绵状血管瘤完全剥离,整个手术历经了4个小时。

巴教授术后查房
术后2天,经历了如此高难度手术的聪聪就出了ICU,他术前频发的不自主扭头动作都消失,左侧眼睑稍下垂较前开始好转,双眼斜视较前好转,眼球活动度正常,其他术前症状均出现缓慢好转。术后一周聪聪就出院了,术后一个半月复查,原有的斜视、走路不稳症状都消失了,面瘫减轻,行动能力完全正常,没出现任何新的并发症。现在,聪聪已经回归了原有的活力,而且今后不会再被这个疾病所折磨了,这是让聪聪父母无比欣慰和感恩的。

聪聪术前术后对比
与聪聪一样幸运的患者还有很多
能完全切除脑肿瘤及脑血管病变,能让复发率降至较低甚至为0,能让患者获得长期生存甚至治愈,这样高水平的脑瘤手术正是巴特朗菲教授擅长的,不仅是脑干,包括丘脑、脊髓、基底节、小脑等其他疑难位置,作为教科书级别的脑瘤教授,巴教授也能做到力之能及,为这些走到绝路的患者带来希望。
求诊INC的患者几乎是高度疑难的病例,很多脑干、颅底肿瘤的患儿,因为年龄小、脑干颅底等手术的较大手术风险,和聪聪一样在2019年接受巴教授国内示范手术的一名4岁脑干-脊髓胶质瘤女孩,术前只能坐在轮椅里,无法自行行走。术后3周就出院了,现在的她和正常孩子一样学习生活……这样的孩子还有很多很多……
- 文章标题:1岁半男孩脑干海绵状血管瘤,全切术后3年恢复如何?
- 更新时间:2022-11-09 10:35:37
400-029-0925




