手持柳叶刀,斗病魔赢死神。
于方寸之间,去脑疾显神奇。
穿过一个又一个“手术禁区”,
他创造了一个又一个的奇迹。
他就是INC国际神经外科顾问团成员、国际神经外科联合会(WFNS)教育委员会主席、德国汉诺威INI国际神经外科研究所德国巴特朗菲教授,他专研脑干、丘脑、脊髓等疑难位置脑瘤手术30余年,拥有脑干手术上千台,是名副其实的“国际颅底、脑干肿瘤手术教授”,国内患者尊称他为“巴教授”。2021年5月,INC巴特朗菲教授在华疑难手术示范开启,许多经由巴教授主刀手术术后恢复良好的INC老患者前来专程复诊和感谢巴教授。
INC老患者自述治疗经历感恩巴教授
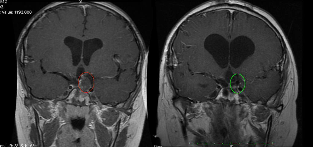
1.33岁周老师,中脑背侧胶质瘤
33岁的周老师因头部不适和眼部肿痛就医,检查结果显示中脑背侧占位,提示低级别胶质瘤可能,并被告知病变位置疑难,无手术机会..……周老师为求一线生机,远程咨询INC德国巴特朗菲教授,教授凭借高超技巧为其顺利全切病变,如今的周老师恢复良好,对巴教授和INC心怀感恩。

中脑背侧胶质瘤
“我去了中国较好的医院,也找了中国乃至较好的医生,假如我在国内做手术的话,那么要么就是致残,致残率比较高;要么就是下肢瘫痪,要么就是嘴歪眼斜的;生活质量不好。在网上无意中发现了上海INC国际神经外科,之后我就决定跟她们沟通联系。这才知道还有国外治疗这一个门路。让我重见光明,较终我决定去找德国的巴特朗菲教授去做手术。对治疗结果相当满意,巴教授治疗后,我回到云南,去了医院复查,医生都说我这是一个奇迹。在他们看来是不可能完成的任务,但是巴特朗菲教授确实完成了。医疗技术无国界,如果确定在中国无法做手术的时候,我想把更好的目光转向欧洲,转向巴特朗菲教授。因为那里可能有人给你开启重生之门!”——周老师。
2.18岁小杰,颅咽管瘤
18岁小杰,本该青春正好的年纪,他却饱受颅咽管瘤折磨,10多年内三次手术、四次复发。所幸,他较后找到INC德国巴教授全切颅咽管瘤,术后的他恢复状态良好,无任何神经功能损伤,如今术后一年多过去了,小杰未见肿瘤复发,早已回归了正常生活。

“我以前在国内手术过,不是一开始做手术了,两年就复发了。这是一,二呢我们是在欧洲,移民到欧洲的。那么去德国对我们来说,一个是更方便,二个德国的那种对外的这种水平啊、名气啊,我相信还是很的。所以我选择去德国做手术。我觉得巴教授医术和人品太让我敬佩。术后我出于患者的家属关心手术情况的,我就想问下手术情况怎么样。他虽然术后那么疲倦,依然很耐心得给我们讲解,所以我真的是很感动。”——小杰的妈妈。
3.48岁宋先生,脑干延髓海绵状血管瘤
48岁的宋先生,因脑干延髓海绵状血管瘤两次出血陷入昏迷,国内医生告知病情危急,因位置太难无法手术,可能只有20多天可活。2019年6月INC德国巴特朗菲教授来华疑难手术示范时,为宋先生进行全切手术,宋先生得以“起死重生”,如今术后2年与正常人一样生活、运动。

“国内找了好多家大医院的专家,都叫我保守治疗。本来都很灰心了,后来找到巴特朗菲教授才看到希望……对手术治疗结果很满意,现在已经完全跟正常人一样的生活,也介绍了好几个病友找巴教授手术。建议广大脑干海绵状血管瘤患者,要尽早治疗,越耽误可能病情越危急。”——宋先生
4.7岁辰辰,较大胶质瘤累及脑干
7岁男孩辰辰,被确诊较大胶质瘤累及脑干,手术难度较大,可能面临瘫痪的风险。为救孩子的命,疫情之下,父母带辰辰远赴德国INI医院找到INC巴特朗菲教授手术。较终,晨晨的脑干胶质瘤得到全切,现在的辰辰已经重回健康,恢复跟正常小孩无异。

“因为当时我们在无锡人民医院的时候就是有一个神经外科的主任,他在中国的神经外科学位协会里面是前26的,是以他的程度,他看了我们的报告之后,强烈建议我们,他的角度是强烈建议我们去国外找巴教授做这个手术,当时我们自己综合考虑了小孩的这个以后的这种情况,我们就决定还是把他送到国外去 ,找巴教授去做这个手术。对手术效果满意,从我们到达德国之后,到小孩进手术室的那一刻,我心里对教授的信任,基本都是教授的,小孩上手术台之后,到二天从重症监护室下来,我的心里对小孩未来的生活状况也是有信心的。”——辰辰妈妈
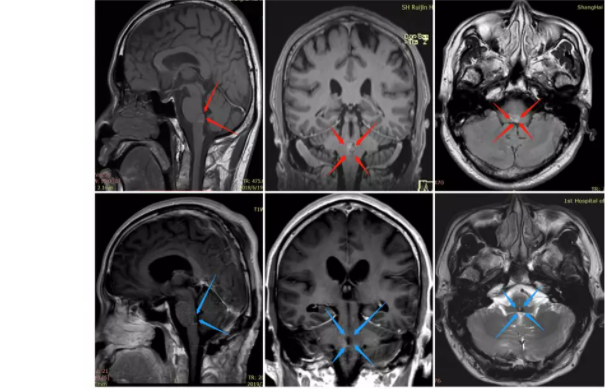
5.严女士,高位颈髓海绵状血管瘤
严女士罹患高位颈髓海绵状血管瘤,病变深藏在高位颈髓腹侧且压迫脑干。三次出血,部分脑干组织已经受损。面对严女士这个让国内很多大医院专家告知手术风险较高的复杂病例,INC巴特朗菲教授使用其提出的神经外科较难手术入路之一“远外侧入路”为其全切肿瘤。术后无任何神经功能损伤,目前生活已经可以完全自理。

“当时我们去过了很多三甲医院,因为这些医院的教授给我的手术风险评估报告都比较严重,所以我们的就多方打听呢打听到巴教授,然后呢巴教授给我的手术风险评估是乐观的,满意”——严女士
6.40多岁张先生,脑干海绵状血管瘤
40多岁的张先生患脑干海绵状血管瘤,保守治疗后发生2次出血,视力下降、视野缺损。医生告诉他和家属:脑干出血严重,有生命危险。幸运的是,张先生争取了2019年INC巴特朗菲教授国内示范教学手术,较终从“濒临死亡”到“终身治愈”,现已恢复正常生活。

“当时国内的医生看完我的病情,觉得手术风险大,造成的后遗症会比较严重,当时是国内的医生这么描述的,当时我们想因为我的症状还不是的严重,所以我们想就是说再观看一下,但是呢就是有机会认识了巴教授以后呢 ,巴教授给到我的治疗建议,详细的说了他能够帮我做手术,以及手术对我后面生活的影响,这给了我很大信心,我决定就是说还是请巴教授来做这个手术,对手术效果满意,从生活质量来说的话,得到了好的恢复,巴教授的手术还是让我得到了很多的益处。”——张先生
INC旗下国际神经外科顾问团(World Advisory Neurosurgical Group,WANG)是由国际各发达国家神经外科宗师联合组成的教授集团,囊括了同巴特朗菲教授一样的国际神经外科不同细分领域的教授。
后疫情时代,国际神经外科医生集团(INC)主动创新国际神经外科交流工作,探索在国际新冠肺炎疫情防控新常态下开展国际交流合作的新方式,迅速组织了一系列的国际远程学术交流,在不同时期确定常态化的国际学术交流。据了解,为搭建中外神经外科专家交流合作平台,2018年INC在上海成立中国办公室,旗下国际神经外科领域专家与长三角地区的多家三甲医院神经外科建立联系,包括学术交流互动、合作咨询等,进一步促进国内外神经外科学术技术共同进步,也为国内神经外科病患提供更多的治疗选择。
- 文章标题:INC老患者自述脑瘤手术经历,感恩遇见“巴教授”
- 更新时间:2021-05-24 11:46:07
400-029-0925




