英文摘要:
Purpose
For selected children with medically intractable epilepsy,hemispherectomy can be an excellent treatment option and its efficacy in achieving seizure freedom or reduction in seizure frequency has been shown in several studies,but patients’selection could not be straightforward and often it is taken on subjective basis.We described a multimodal approach to assess patient eligible for hemispherectomy and possibly predicting post-surgical outcomes.
Methods
We describe pre-and post-surgical clinical features along with neuroradiological results by magnetic resonance imaging(MRI),functional magnetic resonance imaging(fMRI),MR-tractography(MRT),and neurophysiological study by single and paired pulses transcranial magnetic stimulation(TMS)in a child with cerebral palsy with epileptic encephalopathy,eligible for epilepsy surgery.
Results
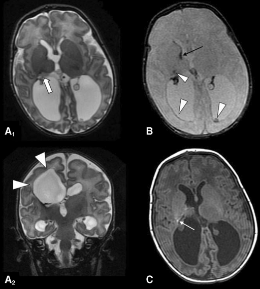
Presurgical TMS evaluation showed a lateralization of motor function on the left motor cortex for both arms,and results were confirmed by MRI studies.Interestingly,after surgery,both epilepsy and motor performances improved and TMS showed enhancement of intracortical inhibition and facilitation activity.
Conclusion
Functional hemispherectomy is an effective treatment for drug-resistant epilepsy,and multimodal presurgical assessment may be a useful approach to guide surgeons in selecting patients.Moreover,pre-and post-surgical evaluation of these patients may enhance our understanding of brain plasticity phenomena.

中文摘要
目的:
对于某些患有药物难治性癫痫病的儿童,功能性半球切除术可能是一个很好的治疗选择,在几项研究中显示了其在实现癫痫发作或减少癫痫发作频率方面的功效,但患者的选择并非毫无风险,因此需要采用主观依据。我们描述了一种多模式方法来评估患者是否有资格接受大脑半球切除术,并评估可能出现的术后症状。

简介:
导致非典型脑发育的妊娠期或儿童早期脑损伤可能对运动发育、技能掌握以及儿童的后续独自性产生深远的影响。脑性瘫痪(CP)是一组长期性的运动发展障碍,常常导致活动受限,这是由于发育中的胎儿或婴儿大脑中发生的非进行性病变所致。CP是一种公认的神经发育状况,始于儿童早期。CP的发病率因国家而异,但在发达国家,当前的发病率估计为每1000例活产中2.0–2.5,单侧运动障碍的患者在30%至40%。CP的运动障碍通常伴随感觉、知觉、认知、沟通和行为障碍,并且经常,其中一些患者会发展成医学上难治的癫痫病。对于残存运动功能患者,半球切除术的主要问题是运动功能丧失或恶化的风险,术后功能的评估可能具有挑战性。经颅磁刺激(TMS)等非侵入性神经生理工具以及功能性磁共振成像(fMRI)和MR描记术(MRT)等神经放射技术可以在体内探索大脑的功能解剖结构,从而有助于理解神经元恢复机制,并且在医学上难治的癫痫病中,它们可能在评估术后神经系统预后中发挥作用。有趣的是,发现运动诱发电位(MEP)的变化可评估中风后甚至慢性阶段的运动结果。然而,尚不清楚通过TMS测量的皮质脊髓兴奋性与运动恢复潜力之间的详细关系。我们描述了一名儿童脑瘫和难治性癫痫合并癫痫脑病的临床特征以及神经放射学和神经生理学结果,符合癫痫手术的条件。我们报告了一个多学科方法在脑瘫患者中的术前和术后结果,该方法可以评估手术后的结果。
方法:
我们通过磁共振成像(MRI),功能磁共振成像(fMRI),MR描记术(MRT)以及单脉冲和成对脉冲经颅磁刺激的神经生理学研究,描述术前和术后的临床特征以及神经放射学结果(TMS)在患有癫痫性脑病的脑瘫患儿中,适合进行癫痫手术。
结果:
术前经颅磁共振成像(TMS)评估显示双侧手臂左侧运动皮质的运动功能偏侧化,结果经MRI研究证实。然而,术后癫痫和运动能力都得到好转,TMS显示皮质内控制和促进活动增强。
结论:
功能性大脑半球切除术是治疗耐药性癫痫的合适方法,多模式术前评估可作为指导患者手术选择的合适方法。此外,术前和术后对这些患者的评估可以提高我们对大脑可塑性现象的理解。
关于意大利Concezio Di Rocco教授

在国际小儿神经外科领域,有这样一位慈祥谦逊、名声享誉海内外的小儿神外教授,他是INC国际神经外科医生集团旗下国际神经外科顾问团的成员,也是国际儿童颅底学会创始人,曾任国际神经外科联合会教育委员会共同主席以及国际儿童神经外科学会主席Concezio Di Rocco教授,目前他还是国际儿童神经系统杂志《Child´s Nervous System》现任主编以及国际神经外科联合会基金小儿脑积水项目负责人。
Concezio Di Rocco教授曾受到来自法国、埃及、吉尔吉斯斯坦等国家的邀请进行讲座和现场演示,且联合小儿神外专家创办了儿童神经外科研究所课程,该项课程在过去三十年里为国际培养了无数儿童神经外科医生,包括目前国内若干三甲医院的儿童神经外科主任专家,都曾是他的学生。Concezio Di Rocco教授将其前沿的治疗技术交流给国际各地儿科神经外科医生进行借鉴参考和学习,为国际儿科神经外科的发展做出了较大贡献。
Concezio Di Rocco教授进行过12000多台神经外科手术,对于各类儿童脑肿瘤治疗较为擅长,他还是多本神经外科专著的作者或合著者,经常受邀参与各地的小儿脑肿瘤治疗学术论坛及盛会,对于国际小儿神经外科发展贡献,堪称国际小儿神经外科教科书级人物。
INC旗下国际神经外科顾问团(World Advisory Neurosurgical Group,WANG)是由国际各发达国家神经外科宗师联合组成的教授集团,其成员均为国际神经外科联合会(WFNS)及各国际神经外科学术组织的成员、国际神经外科各大杂志主编,以及神经外科教科书中以其本人名字命名手术方式和解剖结构的教科书级神经外科巨擘。国际儿童神经外科教授意大利Concezio Di Rocco教授就是其中之一。
参考文献:https://www.sci-hub.pl/10.1007/s00381-020-04617-3
- 文章标题:INC意大利Di Rocco教授:癫痫功能性半球切除术中运动通路和皮质内连接的多模式评估
- 更新时间:2020-07-17 10:02:48
400-029-0925




