在过去,丘脑肿瘤的手术治疗效果不佳。这些病变常被认为是不可手术的。然而,现代显微外科技术,加上神经影像学的进步,使准确的术前计划成为可能,使得切除能够以更顺利的方式完成。关于丘脑胶质瘤手术后禁忌要根据自身情况由主治医生提供。

丘脑胶质瘤手术相关研究
使用神经导航和术中运动和体感诱发电位监测。术前气管造影有助于鉴别囊内纤维,对手术策略的选择重要。术后24小时内进行MRI研究,评估肿瘤切除程度,包括部分切除(≤90%)、次全切除(> 90%)或总切除(无残余肿瘤)。
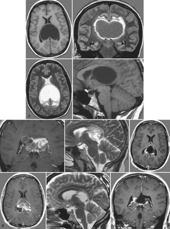
研究采用自2002年以来治疗的27例丘脑肿瘤患儿。其中单侧丘脑肿瘤9例,丘脑结节性肿瘤16例,双侧肿瘤2例。较后2例患者接受了内窥镜活检和脑室-腹腔分流术植入。其余25例患者共行39例肿瘤去瘤术。根据肿瘤的位置和内囊后肢的移位(轴位t2加权MRI研究)和皮质脊髓束(弥散张量成像研究,气管造影后研究)选择不同的手术入路。在12例中,进行了多次手术;在7例中,这些是作为计划的多期切除的一部分。在剩下的5例中,由于肿瘤晚期复发或残留的肿瘤重新生长,需要进行二次手术。
在手术阶段结束时,25例患者中,15例(60%)进行了全切除,4例(16%)进行了次全切除,6例(24%)进行了部分切除。在我们的研究中,有18例患者患有低级别肿瘤。本组平均随访时间为45个月(范围4-132个月)。随访结束时,1例死亡,12例无病生存,4例病情稳定,1例失访。全部患者在日常生活中都是独自的。9例高级别肿瘤的预后差:2例术后即刻死亡,6例进展性疾病死亡,1例在本报告时仍有残留疾病存活。
这一研究回顾似乎提供了进一步的证据,支持尝试根治性切除的儿童患者的单侧丘脑或丘脑。在低级别胶质瘤中,一次性或分阶段的根治性切除无需辅助治疗即可治愈。复发或残留的再生长可以通过手术顺利控制。在高级别肿瘤中,根治性或部分切除的作用和时机仍存在争议。
丘脑胶质瘤如何提高手术预后?
目前的问题在于,就算丘脑胶质瘤以低级别为主,看似好治疗,由于丘脑胶质瘤是微妙区域的复杂肿瘤并且的少见,所以许多经验不足的医生可能从未见过丘脑胶质瘤,或者不敢对脑室动刀,依然无法使手术达到很好的治疗效果。所以在对于丘脑胶质瘤的治疗上,患者要重视对医生的选择,寻找有能力的医生,尽量降低手术的风险,提升手术的切除里和预后效果。
丘脑胶质瘤案例
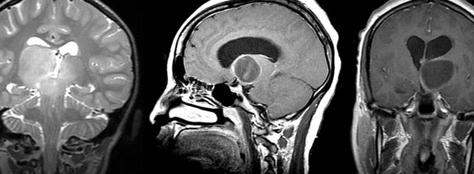
例如德国汉诺威国际神经外科研究所(INI)神经外科教授巴特朗菲(Helmut Bertalanffy),他在一份研究报告中表示,其曾治疗的患者中有一名33岁的孕妇,就诊前具有严重的头痛、平衡感失调和记忆力缺失的症状。在为这名孕妇进行磁共振图像(MRI)检查时发现占据两侧脑室后部的毛细胞型星形细胞瘤。

教授在这名孕妇平稳分娩后,为其经胼胝体前入路进行手术,并完全切除了肿瘤。术后,这名患者除出现短暂的轻度记忆缺失之外,后续并没有出现任何神经或认知上的缺陷,并且教授通过随访MRI对照,排除了肿瘤的复发。
国际神经外科联合会(WFNS)教育委员会现任主席巴特朗菲教授
在病友圈,巴特朗菲教授有着高的度。作为INC国际神经外科医生集团旗下组织国际神经外科顾问团(WANG)的一员,巴特朗菲教授常年受邀参加国际专家之间的学术交流,同时为国内患者提供手术治疗和面对面咨询。
除了高的手术能力外,教授也为肿瘤切除手术的进步做出贡献,曾对经典神经导航系统和术中超声系统的结合做深层次的研究,提出了图像引导技术融合方面的较新创新方法。并且将自己的经验梳理成文,提供给国际各地的研究者进行学习和讨论。
- 文章标题:丘脑胶质瘤手术后禁忌,如何提高手术预后?
- 更新时间:2019-12-23 16:30:12
400-029-0925




