林依晨可以说是娱乐圈的一股清流,其清纯可爱的形象招人喜欢,且出道多年以来,无绯闻、无黑料,可以说是娱乐圈为数不多的零差评女神,这在娱乐圈真的少见。但是在她...
林依晨可以说是娱乐圈的一股清流,其清纯可爱的形象招人喜欢,且出道多年以来,无绯闻、无黑料,可以说是娱乐圈为数不多的零差评女神,这在娱乐圈真的少见。但是在她清纯可爱的外表下,却有着常人不能承受的诸多磨难。高二时,其父母离婚,家庭支出全靠妈妈借款,于是林依晨17岁承担家里的500万外债,23岁给妈妈留下了遗书,并且在事业高时,脑瘤又找上了她。
不过幸运的是,林依晨所患脑瘤应该是良性,最终成功手术切除,恢复了健康,经历如此多的磨难,好在终于都过去了,现在林依晨生活圆满幸福,可以说是生活对于苦难之人给予的回馈吧。但并非每一个脑瘤患者都能成功治愈,在中国,每年都有许多人死于脑瘤。据柳叶刀子刊《神经病学》(Neurology)研究文章显示,大规模的脑肿瘤统计发现,在范围内,中国的发病及死亡人数双双一。
众所周知,脑是人类重要的器官之一,也是人体中较为复杂复杂的器官之一。脑作为人体的神经系统中枢,是思想活动的摇篮,我们生理活动、从心脏跳动、消化液分泌,到复杂的思维、紧张的劳动,都由脑指挥。可以说脑是人体的较高“司令部”,而脑瘤则是指生长于颅内的肿瘤,相当于埋伏在“司令部的间谍”,随时可能会对“司令部”造成严重损害。脑瘤一般分为良性和恶性,但是不论脑中的肿瘤为良性或恶性,一旦在脑中压迫到任何部分,都会造成人体不同功能的损伤。
由于大脑的复杂,就算是良性脑瘤,治疗起来难度也是大的。脑中血脑屏障(BBB)的存在,导致药物对脑瘤效果不明显,而手术切除,又很容易误伤其他神经组织,对医生来说挑战大,只有神经外科医生才能为脑瘤患者成功手术。为了让国际的脑瘤患者得到更好的治疗,国际神经外科能进步的更快,INC作为一个专注于神经外科领域的专家学术交流的医生集团,一直致力于国际神经外科技术的交流、合作、促进和提高。并且已经组织了多场国际神经外科技术交流大会,较大的促进了国际神经外科的进步。
2019INC世界神经外科顾问团年度峰会
并且INC旗下各学术团队的教授均为世界神经外科联合会(WFNS)及各种国际神经外科学术组织的成员,国际神经外科各大杂志主编,以及神经外科教科书中以其本人名字命名手术方式和解剖结构的教科书级神经外科巨擘。在INC的帮助下,许多濒临绝望的脑瘤患者获得了新生。
在INC帮助下,重获健康的患者:
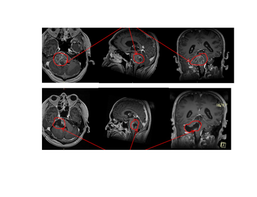
案例1:58岁,刘女士,弥漫性脑干胶质瘤,在INC帮助下,德国INI巴特朗菲教授为其手术切除了95%以上的肿瘤。

德国手术前后影像资料对比
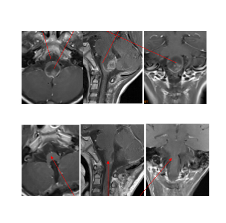
案例2:7岁,轩轩,脑干间变型室管膜瘤,在INC帮助下,在德国肿瘤全切术后,受压延髓逐渐复原。

德国手术前后影像资料对比
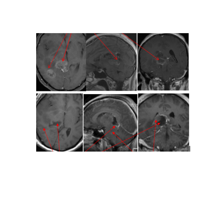
案例3:小听(化名),20岁,脑干胶质瘤,在INC帮助下,在德国肿瘤占位全切术后一天患者清醒,可正常对答。术后一个月,自行步行出院,未再有癫痫发作。

虽然脑瘤的确可怕,但并非全部脑瘤都是传统印象中的不治之症,在国际专家手下,被治愈的机会是大的,所以患者不要放弃希望。为了国内的患者能更容易获得国际水平的治疗,INC还开设了国际远程咨询服务,患者不出国门就能与教授教授面对面咨询,获得他们可靠的独特见解。而对于有出国看病打算的患者,提前做一次咨询,再确定是否要出国,可以节省就医时间和费用。
- 文章标题:林依晨17岁背负500万债务,事业高又患脑瘤
- 更新时间:2019-12-24 17:27:20
-
用血液检测而不是手术活检来追踪脑癌可以较大地好转胶质母细胞瘤(GBM)患者的生活质量...
2020-03-02 19:54:17
-
手术后,我什么时候能恢复正常? 这是许多脑瘤患者及家属十分关心的问题。病来如山...
2025-10-12 14:40:28
-
小脑星形细胞瘤是儿童脑肿瘤中较常见的类型之一,约占儿童颅内肿瘤的10%-20%。这种肿瘤...
2021-03-12 23:07:20
-
大多数视神经胶质瘤生长缓慢且无癌性(良性)。肿瘤的缓慢和自限性生长表明,在大多...
2021-02-22 13:39:35
-
脑瘤 是在大脑中生长的大量异常细胞。仅2016年,就有33万脑癌病例和22.7万相关死亡。早...
2020-02-21 20:02:31
-
神经胶质瘤 是在中枢神经系统的神经胶质细胞中形成的脑癌或脑肿瘤。胶质细胞是围绕...
2019-12-31 17:18:27
-
大脑深部位置,存在一个令神经外科医生头疼的区域基底节区。由于它的位置太深,解剖...
2026-04-09 11:04:43
-
假如我生了病,他们的心就会皱缩成石块,无数次向上苍祈祷我的康复,甚至愿灾痛以十...
2022-06-01 21:54:16
-
国内一个年仅5岁的儿童因视力不断变差,在医院被查出视 神经胶质瘤 ,并且病情已经很...
2019-11-13 18:07:23
-
恶性脑瘤 是一种快速增长的癌症,它会扩散到大脑和脊柱的其他部位。一般来说,根据...
2019-10-18 18:29:51
-
脑胶质瘤 是颅内常见的 脑瘤 ,也是对患者危害性较大的肿瘤之一。据文献报道,中国脑...
2021-03-12 22:57:13
-
据较大规模脑肿瘤统计发现,在范围内,中国的发病及死亡人数双双一。国际卫生组织曾...
2020-01-22 22:47:26
-
硼中子俘获疗法(Boron Neutron Capture Therapy,BNCT)到底是怎么清除脑瘤细胞的?事实上,硼...
2019-11-01 16:50:42
-
中枢神经细胞瘤(central neurocytoma,CNC)是主要位于大脑深部中线透明隔区及侧脑室内的...
2023-01-29 16:11:06
-
当前,针对包括脑瘤在内的各种癌症治疗中,除了质子治疗,还有更多新的放疗手段同样...
2020-06-18 13:25:26
-
世界神经外科联合会(WFNS)执行委员会顾问委员会成员 James T. Rutka教授 :我们的团队致力...
2025-06-17 17:43:39
-
我们的团队致力于儿童神经外科疾病的治疗,尤其是脑瘤患儿。这些年来,我们取得的进...
2025-05-02 16:22:11
-
引言:丘脑长肿瘤为什么不能手术?并非全部的丘脑肿瘤都不能手术,有边界存在或低级...
2022-05-03 16:22:54
-
18岁的耀阳,本该是沸腾向上,逐光而行的年纪。然而去年年初因怀疑癫痫查出了脑部病...
2023-03-14 21:23:18
-
出国看病 为什么要去德国?一文读懂 脑瘤 患者去德国的原因 2014年BBC新闻报道中国约占...
2019-10-15 17:26:18