在近期有关巴教授来华的实时报道中,曾提到一位天真可爱的小女孩乐乐。然而,她的遭遇却令人叹息,不到7岁的她自出生以来几乎没有睡过一个安稳觉,总是会被不自觉的惊叫、蹬腿等困扰,甚至有时还会如同做噩梦般突然惊坐又重重地倒下。 到了9月份,由于乐乐持续性的头晕、呕吐和疲累,竟查出...

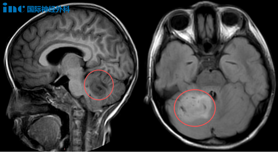
在近期有关巴教授来华的实时报道中,曾提到一位天真可爱的小女孩乐乐。然而,她的遭遇却令人叹息,不到7岁的她自出生以来几乎没有睡过一个安稳觉,总是会被不自觉的惊叫、蹬腿等困扰,甚至有时还会如同做噩梦般突然惊坐又重重地倒下。
到了9月份,由于乐乐持续性的头晕、呕吐和疲累,竟查出了一个位于小脑的占位,怀疑为胶质瘤。这个肿瘤令乐乐止不住地发晕,尤其是在站立和行走的时候,导致孩子日常总是恹恹的,看得父母心疼不已。

询问了很多医生,却被告知“孩子的肿瘤可能与脑干粘连,手术难度大。”无法如此轻易地放弃女儿,乐乐父母决定再咨询一下巴教授。没想到,巴教授的看法截然不同:“该病变并未累及脑干本身。对他们而言,切除难度较大,但对我来说并非难事,我能做到。”
不久后,乐乐被推入苏州大学附属儿童医院的神外手术室。巴教授主刀,苏附儿神外团队配合,最终手术顺利,获得十分满意的切除。
术后第二天,巴教授查房时,乐乐正躺在病床上看绘本,她的手部功能正常,一旁的妈妈十分开心地说:“她状态挺好的!”术后第四天,乐乐完全能够独立行走,也可以用自己的手指准确摸到鼻子,这表示乐乐的肢体协调及动作已经恢复如常。

小女孩笑着向巴教授摆手问好,在她的面前,还摆放着一间正在搭建的“小超市”,如同乐乐出院后的生活,也是五彩斑斓的。
- 文章标题:巴教授在华示范手术 | 7岁女孩胶质瘤术后4天,她为自己搭起一间“小超市”!
- 更新时间:2025-11-07 11:06:42
-
脑干胶质瘤会突然去世吗?《我的前半生》:较强丈母娘说没就没了?一头卷发,脚踩高...
2022-04-01 14:49:27
-
胶质瘤复发 有什么症状 ,胶质瘤是颅内常见的肿瘤,年发病率为3~8人/10万人口,相当...
2019-12-27 11:30:53
-
在脑恶性肿瘤谱系中,低级别胶质瘤的预后相对较好,生存期通常为几十年。那么,低级...
2021-08-10 10:31:03
-
英文摘要: Occurrence of gliomas in patients with chronic deep brain stimulation(DBS)has been reported few.I...
2020-07-02 15:01:09
-
提到疑难脑瘤手术,大部分人想到的一个是肿瘤位置难,诚然涉及到重要脑组织、功能区...
2022-10-26 17:40:44
-
儿童高级胶质瘤(被国际卫生组织(WHO)列为III级和IV级),是恶性肿瘤,尽管近几十年...
2020-12-30 09:43:30
-
北京天坛张力伟教授与美国杜克大学医学院合作成果 脑干胶质瘤液体活检取得新突破 脑...
2021-01-07 14:08:46
-
胶质瘤医生 说不能手术,可以质子治疗吗?胶质瘤是较常见的原发性脑恶性肿瘤,可以发...
2019-11-08 21:47:11
-
研究人员报告说,他们对患有少见遗传综合征1型 神经纤维瘤病 (NF1)的人的肿瘤样本的...
2019-11-04 16:33:52
-
脑部胶质瘤治疗方法,“清醒开颅术”较之传统脑部胶质瘤手术中的全身麻醉有何优势?...
2020-12-23 14:48:04
-
延髓胶质瘤手术后多久呼吸正常?延髓胶质瘤手术后恢复正常呼吸需要根据个体情况和手...
2023-12-22 15:17:15
-
本文回顾了脑胶质瘤的组织学和分子特征,包括《国际卫生组织分类》 2016年版的新“综...
2020-11-03 10:24:34
-
儿童低级别胶质瘤(Pediatric low-grade gliomas,PLGGs)是儿童较常见的脑肿瘤,占中枢神经系...
2021-09-18 11:31:20
-
恶性脑胶质瘤患者如何长期生存,脑胶质瘤能活几年是患者和家属较为关心的问题,经手...
2021-03-13 13:35:04
-
高级别胶质瘤是恶性的、通常迅速进展的脑肿瘤,根据组织病理学和分子特征,可分为间...
2021-10-12 11:55:15
-
2022年11月15日,在苏州大学附属儿童医院(苏大附儿院)神经外科巴教授办公室,INC国际...
2023-03-08 21:55:12
-
星形胶质细胞瘤 (astrocytome)是属于胶质瘤的一种,约占胶质细胞瘤的65%,是常见的。由于...
2019-12-27 09:45:06
-
儿童神经节细胞胶质瘤严重吗?会遗传吗?儿童神经节细胞胶质瘤是一种恶性肿瘤,在儿...
2023-12-15 18:58:36
-
左侧基底节区胶质瘤能活多久?需手术吗?左侧基底节区胶质瘤的预后与多个因素有关,...
2023-11-13 15:08:44
-
四级胶质瘤是胶质瘤里面较严重的一种,生存期很低。是由脑和脊髓的胶质细胞癌变引起...
2019-05-31 11:26:00