从严肃医学的角度来说,这没有可比性。影响疾病的治疗难度的因素太多了,肿瘤级别、位置、患者本人的身体状况、年纪等。室管膜瘤患者的医疗管理包括辅助治疗(即常规放疗、放疗、化疗)、瘤周水肿的类固醇治疗、幕上室管膜瘤患者的抗惊厥药物。

组织学证实的颅内室管膜瘤的辅助治疗仍是一个争论的话题
国家综合癌症网络(NCCN)对成人提出以下建议:在颅内WHO II级室管膜瘤的大体全切除(GTR)后,可以考虑有限场分割外束放疗(LFFEBRT),而不是单纯的观察。术后MRI发现次全切除时,使用LFFEBRT治疗世卫组织II级室管膜瘤,无论切除程度如何,使用LFFEBRT治疗III级间变性室管膜瘤。如果术后脊柱MRI或LP检查结果呈阳性,则无论切除的程度或程度,均应进行颅脊髓放射治疗。
对于复发性室管膜瘤,NCCN建议未接受放疗的患者接受放疗。如果患者接受了放疗,则应考虑化疗、放疗或支持性护理。
对于3岁以下的儿童,使用化疗历来是为了避免不良的辐射影响。联合化疗方案包括顺铂、依托泊苷(VP-16)、卡铂、长春新碱和甲氯雷他明,或异环磷酰胺、卡铂和依托泊苷(ICE),均获得了不同程度的成功。
对于年龄较大的儿童和成人,放疗是世卫组织II级室管膜瘤患者切除后的标准治疗方法。虽然只对少数患者进行了手术治疗(即对小脑幕上肿瘤进行了大范围切除的患者),但大多数后颅窝肿瘤无法完全切除,而且在没有术后放疗的情况下很可能复发。
因为它备件很多,减少正常组织剂量的积分,质子治疗肿瘤(PT)是优选辐照技术治疗儿童癌症,然而临床结果的系统回顾研究PT发表在2007年和2015年之间找到足够的证据去支持或反驳PT儿童室管膜瘤的治疗。
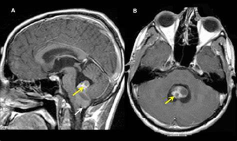
室管膜瘤长期生存的影响因素有哪些?
长期生存的评估因素包括手术切除范围的估计(总切除范围与小于总切除范围相比,P =0.0001)和术后影像学残留肿瘤的数量(经中央放射学检查证实)。其他因素,包括肿瘤的组织病理学类型、位置、转移、肿瘤(M和T)分期、患者的年龄、种族、性别和化疗方案与长期生存没有相关性。
目前,脊髓室管膜瘤完全手术切除后的辅助治疗尚不存在。对于术后残留肿瘤或早期复发的患者,根据患者的身体状况和神经系统状况考虑放疗。
然而,Agbahiwe等人报道,在儿童黏液乳头室管膜瘤(通常遵循更的过程)中,辅助放疗与单纯手术相比可获得更好的局部控制;这些作者建议在这些儿童手术切除后考虑放疗。Fujiwara等人的一份病例报告描述了替莫唑胺治疗复发性脊髓黏液性乳头状室管膜瘤的成功应用。
传统的化疗尚未对室管膜瘤的预后产生任何好转作用,由于其的神经认知效应,对正在发育的大脑进行放疗是不可避免的。因此,近年来这些肿瘤的分子亚分类受到重视。hTERT阴性与5年生存率84%相关,而hTERT阳性肿瘤的5年生存率为41%。一些基因被认为与复发风险、发病年龄和肿瘤位置有关。随着室管膜瘤分子特征信息的收集,可能会实现更个性化的治疗。
室管膜瘤治疗优选手术
肿瘤切除范围是与非恶性室管膜瘤患者长期生存相关的较重要的预后因素,无论其位置如何。因此,总的全切除(GTR)是更佳的。
后颅窝损伤的儿童通常通过中线枕下入路进行手术。尽管GTR有生存优势,但后颅窝的病变与颅神经密切相关,使GTR有风险,并可能导致长期的神经功能障碍和残疾。后颅窝综合征,也称为小脑性缄默症,是后颅窝手术公认的并发症,较常见的是脑干侵犯。Mutism潜伏期范围为1-7天,持续时间为6-365天。因此,需考虑GTR的生存好转和潜在的术后发病率之间的平衡。
脑积水可以通过围手术期的脑室外引流术、脑室-腹腔分流术或更少见的三脑室造口术来处理。合理的管理算法使医疗团队有机会评估肿瘤切除后长期性脑脊液分流的必要性。这可以通过术后夹住室外引流并监测颅内压和/或临床体征来实现。
虽然幕上病变的处理方法因位置不同而异,但总的切除的目标应该与幕下手术相同。
在病人俯卧位时,通过标准的椎板切除术接近髓内肿瘤。考虑的因素包括:
+虽然体感诱发电位和直接运动诱发电位常被使用,但它们很少影响手术决定或技术。
+椎板成形术可用于儿童,但不能确定长期的稳定性。
+内肿瘤切除的策略取决于肿瘤与脊髓的关系。大多数肿瘤完全在髓内,表面检查不明显。
+术中超声可用于肿瘤的定位和确定臀尾部肿瘤的边界。
+肿瘤切除的范围由病变的解剖、术中监测、外科医生的经验和初步冰冻切片组织学诊断来指导。
+室管膜瘤和周围脊髓之间的平面通常很清楚,容易形成。
+大的肿瘤可能需要用超声吸引器或激光进行内部减压。
+一个合格的硬脊膜关闭是必不可少的,以防止脑脊液泄漏。
脊髓终丝室管膜瘤的手术治疗取决于肿瘤的大小及其与马尾周围根的关系。考虑的因素包括:
+在可能的情况下,应尝试整体切除。这通常可以用于小的和中等大小的肿瘤,它们在终丝的纤维覆盖层内保持良好的边界,并且很容易与马尾神经根分离。
+部分未受累的终丝通常位于肿瘤和脊髓之间。
+肿瘤切除需要切除传入和传出的纤维段。
+对于小的和中等大小的肿瘤不采用内部减压,因为这可能增加脑脊液播散的风险。
+成功的整块切除后的复发是少见的。
INC国际神经外科医生集团表示:室管膜瘤的治疗由神经病学家、神经外科医生、神经肿瘤学家和放射肿瘤学家组成的专家小组应评估室管膜瘤患者,以制定协调的治疗策略。术后康复应包括物理治疗和康复治疗,以促进康复。
- 文章标题:室管膜瘤更难治还是胶质瘤?
- 更新时间:2020-01-03 11:08:34
400-029-0925




