颅底手术
定制化
切除脑肿瘤

“医生,我脖子后面固定的钉子怎么弯了?”
“会不会有什么问题啊?”
面对这位颅底术后患者的疑问,主刀医生从容解释道:“这个设计是特意弯折的,不仅为了适应颈椎的生理曲度,还为你后续质子治疗预留通路。”
之所以采用这样的设计,是因为金属植入物可能会干扰放疗射线的分布,造成散射或反射,从而影响照射剂量的精准性,甚至增加周围正常组织受损的风险。提前将钉子预弯,就能有效避免这类问题,确保治疗更安全、更精准。
巨大脊索瘤案例分享:
“如果做了手术术后固定植入金属(如钢钉钢板),就不能做质子,因此要慎重考虑手术……”
其实这些问题都可以避免!

福教授谈及自己团队专注于颅底肿瘤的治疗。
一名颅颈交界区脊索瘤患者,颅颈交界区骨质结构遭到了广泛破坏和侵蚀,颅颈不稳定,如何在进行内固定后,又能进行术后质子治疗?以下案例分享了INC福教授如何解决这一问题。
26岁男性,出现颈部疼痛、严重吞咽障碍、双侧舌下神经麻痹(右侧完全麻痹伴舌萎缩,左侧部分麻痹)。
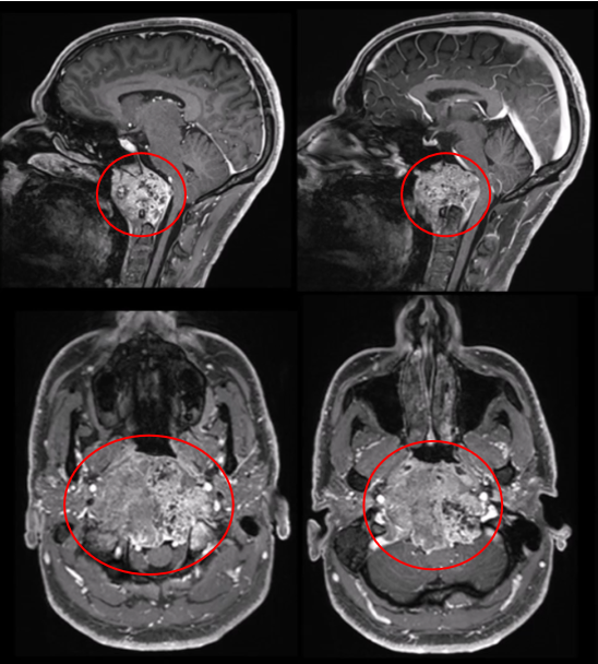
MRI和CT扫描显示巨大颅颈交界区脊索瘤,肿瘤最大直径达10cm、瘤体积96.5cm³,肿瘤并向双后外侧延伸浸润性生长,较多侵犯右侧,肿瘤延伸至椎前间隙、下斜坡、双侧枕骨髁、第一颈椎C1的前弓以及C2的齿状突,巨大肿瘤压迫脑干和双侧椎动脉移位,并向硬膜内压迫扩张。
▼术前MRI

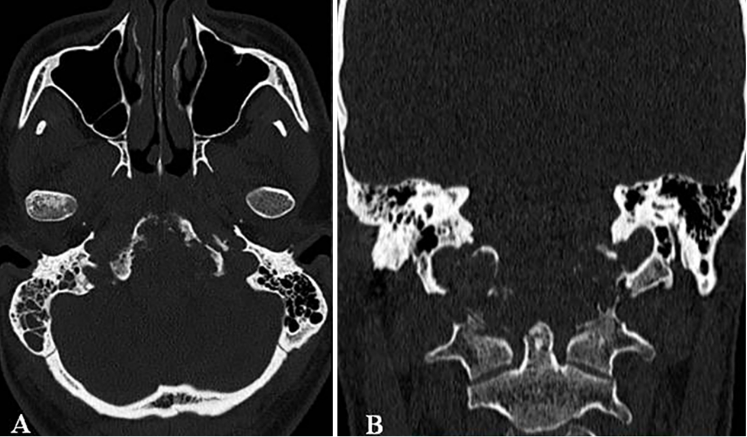
术前CT:显示颅颈交接区脊索瘤,侵犯斜坡-枕髁并呈溶骨性破坏。

手术记录:福教授考虑肿瘤已经导致颅颈交界区骨质结构的广泛破坏和侵蚀,术前评估手术后会出现颅颈不稳定。因此,经远外侧经髁入路进行显微镜+神经内镜双镜联合切除肿瘤,然后枕颈融合术(OCF)。
▼使用神经内镜辅助探查肿瘤,备行内镜手术。通过神经内镜所提供的更加清晰的视野,从而得以精确地分辨肿瘤的边界和浸润情况,以避免对周围正常组织的损伤,提高了手术的准确性。

“筷子技术”神经内镜切除对侧肿瘤。“筷子技术”将狭小的鼻腔作为内镜和其他器械的“支架”,从而保护了鼻内部的结构,在鼻腔狭窄的空间内也能获得360°的手术视野,真正实现对正常结构的利用最大化,将原本操作空间不足的劣势,转变为提升可操作性的优势。

使用显微外科技术,沿着肿瘤与正常脑组织的边界进行分离,逐步切除肿瘤的可见部分。将神经内镜通过显微镜下创建的通道引入手术区域,利用其广角视野探查显微镜下难以直视的死角和深部结构,从而进一步确认肿瘤边界,精细切除显微镜下难以完全暴露的肿瘤对侧部分。
福教授在颈椎的C0、C3、C4和C5椎体上分别开孔,以便植入根钉。这些根钉在设计上独具匠心,采用了曲线方式横向弯曲,使其能够更好地适应颈椎的生理曲度。这种固定方式不仅能提高固定效果,还能减少对周围软组织的损伤。
在植入根钉后,福教授使用Roy-Camille技术进行枕颈融合术(C0-C3-C4-C5)。融合过程中,使用生物材料填充椎体之间的空隙,以促进骨组织的生长和愈合,从而提升颈椎的稳定性。
固定根钉以曲线方式横向弯曲,为后续质子治疗创造一个无金属的定位及治疗通道。术后CT和MRI显示肿瘤完全切除。病理证实为典型脊索瘤。在术后恢复中,患者吞咽功能改善和颈部疼痛缓解。8周后,他接受了质子治疗。
▼D:术后CT显示PMMA枕髁重建稳定良好。E:术后三维CT显示C0-C3-C4-C5枕颈融合稳定,与根钉弯曲有利于PBRT治疗。

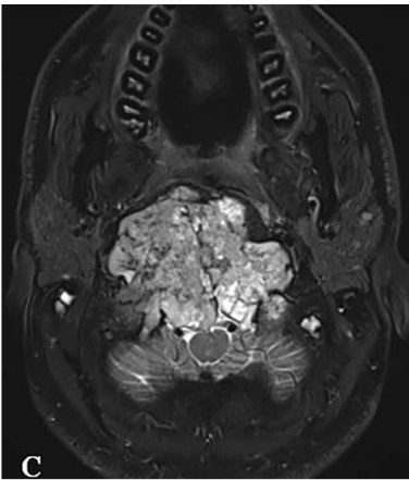
▼C:术前MR显示肿瘤巨大延伸,并浸润长入硬膜内的脑实质。F:术后MR显示全切肿瘤和脑干延髓占位压迫得到解除。


为了避免避免金属内固定对脊索瘤质子治疗的影响,福教授也不断改进技术、将“为了患者而战”这个理念贯穿到每一位患者的治疗细节中,为不同的患者量身定制个体化治疗方案,以此给患者创造更好的预后和生活质量。
·颅底脊索瘤术后质子治疗研究·
高剂量质子治疗提高了颅底脊索瘤的局部控制率,但同时也增加了颞叶放射性坏死的发生率。剂量组学技术使研究人员能够精确评估坏死的实际受照剂量。颅底脊索瘤术后质子治疗到底会不会导致颞叶放射性坏死?且看福教授这一篇研究。

研究方法
2012至2023年期间,连续纳入185例颅底脊索瘤患者(放疗时中位年龄54岁,范围22-75岁),均接受质子治疗(PT)。肿瘤全切除术后中位照射剂量为73.8 GyE(范围68.4-73.8 GyE),男女比例为13:17。其中30例(16%)患者治疗后发生放射性坏死,24例位于颞叶【双颞叶(10例)、右颞叶(6例)、左颞叶(8例)】。27例采用双散射技术(DS)治疗,3例采用笔形束扫描技术(PBS)。通过TOPAS/Geant 4蒙特卡洛程序计算每位患者的剂量平均LET(LETd)分布,并采用McNamara模型评估可变相对生物有效性(RBE)。另设60例无放射性坏死患者作为对照队列,比较两组坏死区域的RBE加权剂量。所有患者均无导致放射敏感性增加的遗传性疾病。
研究结果
放射性坏死好发于颞叶区域的计划靶区边缘。与RBE=1.1的生物剂量相比,放射性坏死区的可变RBE加权剂量升高7-10 Gy。放射性坏死发生的中位时间为22个月。两组队列在RBE加权剂量与LETd方面无显著差异。仅1例患者发生>2级放射性坏死(CTCAE v5.0标准)。
研究结论
对于邻近颞叶的颅底脊索瘤,高剂量适形质子治疗安全有效,且神经毒性较低。未发现放射性坏死与物理参数之间存在明确相关性。
- 文章标题:“颅底术后,我脖子后固定的钉子怎么弯了?”——是惊人意外,还是良苦用心?
- 更新时间:2025-11-28 14:07:07
400-029-0925




