“肩颈疼痛”“腰酸背痛”“胳膊肘酸痛”……当普通人出现这些症状时,大多人的反应大概都是学习工作过于疲劳,好好休息一下或者调理就好了。但是如果长期这样的话,可能就需要引起注意了,可能是脊髓肿瘤作祟。
“肿瘤位置太不同,无法手术切除”
“哪怕活检也可能致残”
“肿瘤不大,建议先观察”
”手术牵拉到脊髓可能就瘫痪了“
“手术术后可能会导致瘫痪,恢复不好”
脊髓作为连接大脑与周围神经系统的主要通路,密布31个脊髓神经节和来自脑干的四条运动神经束。而如果肿瘤生长在脊髓内,位置处于外科手术的“禁区”:所在区域部位深、被脊骨包围、暴露困难,脊髓是很娇嫩的组织,稍受挤压或碰撞,即可造成长期性的障碍,下肢瘫痪、大小便失禁等。如果两侧的神经根如果出现破损,病人也可能出现瘫痪。手术后可能会瘫痪是根植在每一个罹患脊髓髓内肿瘤患者心中较深处的恐惧。

那脊髓髓内肿瘤还能顺利手术吗?术后会有哪些并发症?还能恢复正常生活吗?本期精选了数名INC国际教授对于脊髓髓内肿瘤患者的咨询问题回复内容以及术后情况交流,以供相同病情的患者参考。关注INC官方账号,后续将交流更多精彩内容。
温馨提示
每位患者具体病情不同,治疗方案也各不相同,以下INC国际教授咨询的意见仅供参考,并不作为临床治疗方案。具体治疗方案请咨询主治医生。
脊髓肿瘤选择放疗还是手术?能全切吗
对于原发的脊髓髓内肿瘤,优选手术治疗。手术不仅是为了获得病理组织学诊断,也是为了对神经组织进行减压。在可能的情况下,完全切除肿瘤达到外科治愈,则更是手术治疗的目标。手术较主要的目的是脊髓功能保护与恢复,在保护脊髓功能的前提下,顺利分离肿瘤-脊髓界面尽量全切肿瘤。

对于神经功能分级良好的患者,在其病情加重之前就应采取的手术治疗,因为分级较差的患者术后恢复神经功能的希望渺茫,而分级良好的患者术后其神经功能则多能维持现状或得到好转。
33岁女士-脊髓髓内室管膜瘤
33岁的郑女士2016年因晨起颈部疼痛和自感右上肢无力,提示颈椎椎管占位性病变,期间郑女士因为怀孕未行任何治疗。然而2021年前患者感到症状加重,肢体出现无力及麻木以及温度异常。2022年8月行核磁复查,病变较2017年范围明显增大,累及延髓和颅颈交界区,且向下方延伸到整个颈部脊髓以及一直到一胸椎水平,病变累及范围近15cm。为了更好的陪伴着孩子的成长,郑女士决定寻求国际教授的治疗……
▼巴教授术前术后影像对比图片

巴教授评估回复:
“当然,病人需要手术治疗,而且应该在肿瘤比现在小的时候更早接受手术。但是,正如我从视频中看到的,由于病人的神经功能状态相当好,手术还是可行的,也是必要的。切除率在我手当中将至少95%,也许我甚至可以做到比这个更多”

2022年11月巴教授疑难示范手术期间,2022年11月23日,这台长达12个小时的高难度手术在苏州独墅湖医院顺利完成,手术时长相当于两台手术——延髓和脊随髓内。参与全场手术的国内医生无不惊叹教授无与伦比的手术技术,感叹哪怕在国际范围内,这样大的一个手术也是少见。
33岁男性-脊髓髓内室管膜瘤
40岁刘先生因为出现持续的脖子肩膀酸痛、手抖、平衡性差、头晕等症状就医检查,诊断为脊髓髓内肿瘤,多地咨询后都因为手术易致残建议不手术,但是不手术,症状只会越演越烈。
▼巴教授术前术后影像对比图片

巴教授邮件回复:
“目前我会给病人提供手术探查,目的是获得精确诊断的材料。如果病变可以做手术,当然会切除。如果不能,由于各种形态学的原因,这是可能的发生的,那么能做的操作就只能是活检。”

2021年教授疑难示范手术期间,INC巴教授成功为刘先生手术,脊髓髓内肿瘤得到全切,术后病理为脊髓髓内室管膜瘤,室管膜瘤为良性肿瘤,全切手术后预后好,回首患病到成功手术的治疗之路,他庆幸自己及时做出了正确的选择,争取到了巴教授的手术机会,给自己争取到了较好的预后结果。

术后六天查房,刘先生和巴教授合影留念
点击查看刘先生的完整治疗故事:不瘫痪、不复发!巴教授查房3次点赞精英男士战胜凶险脊髓髓内肿瘤
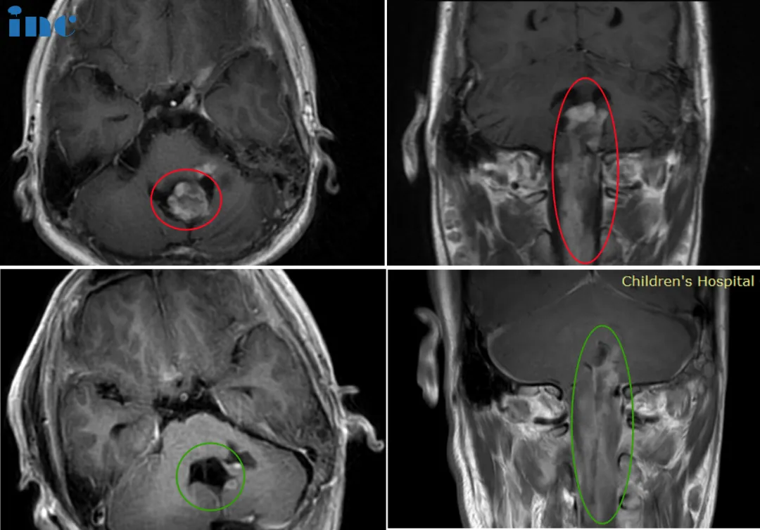
14岁男孩-脊髓髓内节细胞胶质瘤
14岁的睿睿2016年底偶发左手抓握力弱,2017年初查出神经节细胞瘤;医生表示肿瘤生长缓慢,无法全切,还会复发,故保守观察。2021年底,双侧肢体无力加重,左侧更明显。2022年睿睿再次就医检查,肿瘤位于脑干延申至脊髓,肿瘤占位大小33*42*94mm。在国内某医院做了一开始开颅手术,虽仍有不少残留,但手术取得完整病理,肿瘤导致的病情有适当好转,为后续手术提供了清晰的思路、争取了时间……
▼巴教授术前术后影像对比图片

巴教授远程邮件回复
“是的,男孩可以接受手术,而且,为了生存,这是他中期能采取的机会。如果不做手术的话,由于肿瘤的进展,尽管已经做过气管造口术,男孩早晚会出现很严重的吸入性肺炎和逐渐恶化的四肢麻痹。因此,应该给他生存的机会,幸运的话临床症状在程度上会有好转,肿瘤不是恶性的”

如果手术治疗,会不会瘫痪?可能出现哪些并发症?
由于椎管空间狭窄,脊髓神经相对集中,椎管内肿瘤的发生常导致神经功能损害,严重降低了患者的生命质量。对任何一个手术来讲,并发症的避免都是至关重要的,是椎管内肿瘤手术。脊髓肿瘤常见手术并发症主要包括:
术后出血:术中大量出血往往会影响术者操作视野,不易辨认组织结构,导致脊髓神经损伤,影响肿瘤的切除。同时,术后血肿的形成常会对脊髓神经产生压迫,加重脊髓功能的恶化。因此,出血的防治管理显得尤为重要。
神经脊髓损伤:脊髓及神经根在术中被附加损伤可导致原有病理性损害程度加重。避免术中脊髓及神经根损伤,应以预防为主。手术操作要规范,手术野显露要清晰,任何操作都须在直视下进行。术毕麻醉清醒后立即进行症状体征检查,发现问题及时纠正,以减少后遗症。
28岁女性-脊髓髓内室管膜瘤
28岁的潇潇6年前开始出现肩部至腰部疼痛,两年前,潇潇肩部后侧疼痛加剧,于当地医院行磁共振检查,提示髓内占位性病变,保守治疗无效。2021年7月行增强磁共振提示C3水平占位,直径7mm。当地医院排除炎性病变。因考虑到手术风险大,未作手术治疗。2022年10月磁共振提示8*12*19mm。年轻的潇潇害怕术后并发症,那咨询巴教授他是如何回答。

巴教授回复:
“在手术后会出现较坏的并发症是四肢麻痹。然而,在我以前的手术病例中,这从未发生过,所以,我并不认为在目前的情况下会有这么高的风险。有可能会出现运动功能恶化,但风险低于10%。也有可能出现手指和腿的感觉功能减退。膀胱功能在手术后一到两周内会受到影响。然而,上述的出现的新症状将逐渐消失并恢复正常。”

2022年教授疑难示范手术期间,INC巴教授成功手术,脊髓髓内肿瘤得到全切,无新发后遗症。
点击查看潇潇的完整治疗故事:脊髓髓内肿瘤全切后无瘫痪,术后2个月行动自如、肢体灵活
33岁女士-脊髓髓内室管膜瘤
"主要风险和较坏的结果是四肢瘫痪!幸运的是,我以前的类似肿瘤案例中从未出现过这种并发症。但我们都需意识到,这是一个需牢记的主要风险。因为我从未出现过,我估计这种风险小于1%。然而,运动和感觉障碍-就现在已经存在的-在术后会短时内加重,所以术后行走可能会出现困难,但是这在强化的物理治疗下会逐渐好转。此外,膀胱功能在术后早期阶段会出现障碍,但这也会逐渐好转。这些不是手术并发症,而是手术的副作用。"

术后12天查房,郑女士已经可以正常下地站立,肢体活动正常,除了右手稍微无力,术后3个月,在郑女士传来的康复视频里,她已经可以正常行走,术后无力的右手已经也可以正常抓握小物体、手部运动正常。
手术后还需要其他治疗么?复发几率大吗?
脊髓手术术后治疗以及复发几率主要取决于手术切除率以及术后病理。成人脊髓肿瘤多数为室管膜瘤;对于儿童星形细胞瘤(多为低级别星形细胞瘤)较常见约占全部脊髓肿瘤的60%,其次为室管膜瘤(28%)。对于年龄小于3岁的儿童,低级别星形细胞瘤较为常见,其次为神经节胶质瘤。
手术后的其他治疗,巴教授的相关回复:

术中我们将得到准确的组织病理结果。我认为的疑似诊断是室管膜瘤,但是这种肿瘤的增殖速度将指导我们术后是否需要行辅助放疗。至少在刚开始这个阶段,我估计不需要行任何额外的治疗。

根据组织病理的诊断,我们将决定是否有必要进行辅助治疗。在手术之前我们无法确定,因为我们还没有明确的诊断。

在手术后会残留一些较小的肿瘤部分。对于此,靶向化疗是较佳的治疗选择,也许也会有质子治疗的指征,但这是比较晚的时候。对于这种节神经胶质瘤的病人来讲,都存在复发的风险。但另一方面,随着时间的推移,肿瘤的侵袭性将明显地降低,肿瘤再生长的风险也会低很多。甚至后期再次手术也是可行的。
手术中怎么办才能避免对脊髓的损伤吗?
电生理监测可在诸多方面有助于神经外科医生的判断。每例脊髓肿瘤手术均应进行持续同步的术中感觉诱发电位(SEPs)和MEPs监测,并由专职的神经生理学家操作。一,使医生易于鉴别神经结构,特别是对于那些因肿瘤、外伤或以前的手术已使脊髓结构发生改变的病例;二,可指导手术切除病变的程度和范围,以便保护神经功能;三,可有助于确定病变在传导功能受损神经上的解剖定位。
巴教授回复一名14岁脑干-脊髓髓内患者关于术中如何保护脊髓功能问题时这样回答:

“根据我的手术经验,在保留脑干和脊髓中运动感觉神经功能的前提下,手术是可行的。手术中需有电生理监测。”
手术后恢复到正常人生活大概需要多长时间?
除了是否顺利手术,脊髓肿瘤术后恢复时间主要取决于患者术前状态,对于神经功能分级良好的患者,在其病情加重之前就应采取的手术治疗,因为分级较差的患者术后恢复神经功能的希望渺茫,而分级良好的患者术后其神经功能则多能维持现状或得到好转。
14岁的睿睿一次手术微能全切肿瘤,残余的肿瘤持续的占位压迫效应,睿睿短期内出现了一些不良的症状。此时的睿睿已经无法像同龄的孩子一样学习、生活……抬眉和微笑等动作受限,吞咽功能减弱,一开始手术术后一直保持气管切开和鼻饲状态。巴教授在咨询报告中评估道:
我认为,男孩在术后六到八个月以内能恢复的可能性很大,从而去掉气管插管,吞咽(自主进食)将变的可能。但这不会在手术后很快就发生,男孩的恢复会需要的时间。从我来看,根据组织病理的诊断,预后会相当好的。

对于手术的效果,睿睿父亲满意,没有戴呼吸机,气管插管拔掉,可自主呼吸。手术一周之后基本就可以自己坐起来,在之前完全无法想象。

由于睿睿的病程很长,爸爸为了更好的照顾孩子,一直学习护理。苏附儿医生都说睿睿爸爸的护理水平超过很多护士
28岁的艳艳术前症状较轻,除了肢体麻木肩颈疼痛未见其他症状,在咨询巴教授术后何时能恢复正常生活时,巴教授回复“
我建议患者术后需要4-5周时间恢复。在这个阶段之后,她很可能能继续她的日常活动。
术后2个月,潇潇的随访视频中,她已经可以正常行走,抓握能力正常,根本看不出曾经经历过一场凶险的脊髓肿瘤手术
为什么更多疑难神外疾病患者选择咨询INC国际教授?
对于神经外科病患,是病情复杂、肿瘤位置深(如脑干、丘脑、视神经……)的患者来说,时间更加宝贵,如果不能尽快找出合适的方案,那么很可能就会在犹豫中耽误病情,或者做出不适合患者的选择,可能将对患者造成难以挽回的伤害。一次关键的、明确的、的、可靠的咨询意见,可能会让患者豁然开朗,明确下一步的路究竟该怎么走。从思考决策到准备必要的影像检查、教授远程评估这些都需要等待的时间。而时间对于治疗关键,是因为无论是手术、还是其他治疗方式,都需要求患者具备的身体条件做基础,如果时间不再,患者由于病情进展,身体条件恶化失去了治疗的机会,那会是遗憾的事情。
获取国际教授神经外科专家的咨询意见,寻求国际上更佳更匹配自己的手术方案,或许能让自己获得长期生存和良好预后的可能性更大。
- 文章标题:脊髓肿瘤患者常遇到的五大问题
- 更新时间:2024-05-06 13:53:05
400-029-0925




