脑膜瘤ki-67代表什么?
“脑膜瘤ki-67正常指标是多少?多少才算高?”
“脑膜瘤手术后,ki-67指数10%是什么意思?”
“脑膜瘤病理一级,ki-67指数2%-8%,这种情况需要做什么来预防复发?”
病理报告中,Ki-67是一项常见却至关重要的指标,通常以百分比形式呈现,范围从0%到100%。简单来说,Ki-67标记的是处于增殖周期中的细胞。该标记阳性率越高,肿瘤生长越快,组织分化越差。一般来说,预后较差。
许多人误以为肿瘤的疯狂生长是因为细胞裂变速度变快、周期缩短。但事实上,真相恰恰相反:肿瘤细胞的裂变速度往往比正常细胞更慢,细胞周期甚至更长。肿瘤之所以失控生长,关键原因在于——处于增殖状态的细胞数量显著增多,逐渐压倒周围的正常组织。
一个值得深思的现象是:Ki-67阳性率常与细胞死亡频率呈正相关。那么,是增殖增多导致了死亡增加,还是死亡增多反过来刺激了增殖?如果前者成立,细胞死亡越多应当对应更好的预后;但事实却相反,死亡越多,患者的生存期往往越短。因此,更合理的解释是:细胞死亡触发了一种代偿性增殖机制,促使肿瘤加速更新与扩张。
正因如此,Ki-67成为了衡量肿瘤活跃程度的一项重要指标。当然我们也需明白,尽管Ki-67是评估肿瘤生物学行为的重要依据,但它仅是众多病理指标之一。切勿以偏概全,避免单一指标导致的误解或焦虑。
01
Ki-67指数高,易复发?
是这样吗?
脑膜瘤中,人们普遍认为Ki-67指数与复发相关,事实究竟是怎么样?
2020年一篇发表于神经外科期刊Neurosurgery的文章,确实观察到Ki-67指数与肿瘤复发之间存在相关性,但未能证实其可作为预测复发的理想生物标志物。长期随访表明,Ki-67是何时可能复发而不是脑膜瘤是否复发的标志。
最终研究发现Ki-67增殖指数(PI)并不适合用作复发的预测指标。全面且长期的随访显示,Ki-67 PI仅能提示“何时”可能复发,而不能预测脑膜瘤“是否”会复发。因此,长期随访策略应重点考虑以下两点:(1)手术切除程度;(2)肿瘤生长速率。分析表明,Ki-67 PI能够较好地反映肿瘤的生长速率,但不支持将高Ki-67指数定义为复发风险组。

02
脑膜瘤复发
主要由什么因素决定呢?
切除率,这个毋庸置疑。
尽管目前学界对Simpson分级产生了许多不同的想法,但切除率仍然是主要预测脑膜瘤是否复发的指标,手术的目标应该是尽可能安全地切除肿瘤。现行的Simpson分级总体上仍具有较强的临床指导意义。
因此,对于脑膜瘤患者来说,手术不该只是切切切,更要懂得该不该切,如何切。手术核心目标是实现肿瘤全切除,同时最大限度降低神经系统并发症。因此,上演十八般武艺以达到这一结果。

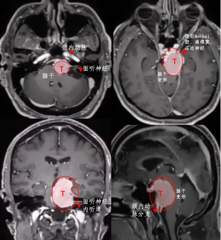
先来看看这个案例,29×39×38 mm,一个大型岩斜区脑膜瘤像一个小山丘一样,山顶直接挤压“生命禁区”脑干,还与神经血管结构紧密粘连。此时的他仅有头痛症状。

要知道,岩斜区这个位置的脑膜瘤,大小每增加1cm,手术难度就升级。位置凶险,肿瘤大,很多人以为肯定得开颅才能切干净。

其实不然,在INC福教授的定制化手术策略之下,无需开颅,仅右侧单鼻孔入路便全切肿瘤。脑干复位良好,未见脑脊液漏及新发神经功能障碍。

当然,不要以为都可以不开颅就可以切除肿瘤。
54岁男性Bruno,也是岩斜区脑膜瘤,但是他就没那么幸运了。左侧脸部如刀割般疼痛,甚至还出现吞咽困难,无法进食、难以入眠、无法工作……
为什么他的症状如此严重?
2014年,查出岩斜区脑膜瘤,考虑到这是个良性肿瘤,且手术治疗有风险,他选择了保守观察。然而,6年时间,肿瘤持续增长,压迫脑干,症状不断恶化。

福教授采用开颅手术,术前通过线圈在咽升动脉处进行栓塞,可以显著减少术中出血。在切除肿瘤过程中,使用CUSA刀对肿瘤逐渐减瘤。术后MRI显示肿瘤几乎完全切除,脑干受压解除。


03
Simpson分级
还有用吗?
现通行的Simpson分级上世纪是如何被提出来的?
1957年,Donald Simpson在J.Neurol.Neurosurg.Psychia(IF:7.38)发表了颅内脑膜瘤术后复发的研究,提出了脑膜瘤积极手术的关键,为脑膜瘤手术治疗的界定和临床意义奠定了重要指导意义。


此后经过许多相关研究验证,确定了现在通行的脑膜瘤手术切除程度Simpson分级系统。

尽管目前各国学者对Simpson分级有许多质疑和想法,但不论怎样,总体上具有很强的指导意义。
- 文章标题:脑膜瘤ki-67多少为低复发?指数高先别慌,切除率比它更重要!
- 更新时间:2025-09-10 14:42:09
400-029-0925




