
“医生,我头上这是怎么了?突然起了3个这么大的包?”
“最近有没有撞到或者受过其他外伤?”
“没有啊……”
“那先安排做个脑部核磁共振和CT检查看看。”
这是一位58岁的女性患者,2021年5月因“发现头顶多处隆起”到医院检查。她曾因子宫肌瘤连续十五年服用孕激素类药物,至2020年停药。停药前,妇科医生曾提醒她,该药物(属于孕激素-抗雄激素类药物)长期使用可能增加脑膜瘤发生风险,建议进行头颅MRI筛查。但当时患者并未重视,心想:“只是吃个药,怎么会得脑膜瘤呢?”
2021年3月,患者在就诊当天完成了MRI和CT检查。最初的影像报告提示为“纤维结构不良”。随后经住院进一步详细读片,诊断被更正为:多发脑膜瘤,主要位于左右额叶及顶叶区域,并伴有明显的邻近骨质增生,形成骨性隆起(见上图)。想要了解孕激素为何会引起脑膜瘤,点击阅读:INC国际神外大咖福教授:超25万女性队列研究——使用大剂量激素易诱发脑膜瘤风险!
脑子里同时发现三个病变,该怎么办?
这样的情况并不是个例。57岁的蒋女士,也在颅内发现了三个肿瘤:两个脑膜瘤(位于海绵窦和矢状窦旁额叶)和一个脑干-桥臂海绵状血管瘤。原本该安稳享受晚年的年纪,却突然面临这样的考验——这些肿瘤都需要手术吗?该先处理哪一个?手术风险又有多大?
多发脑瘤,如果位于不同位置,往往一次手术无法全部清除干净,该如何应对呢?
这些“病灶”有的非常调皮,到处搞破坏;有的却挺友好,和大脑里的正常组织和平共处。

这取决于病灶数目和具体位置。若肿瘤所在位置相对集中某一大脑位置、位置较为表浅,有经验的主刀医生可以一次安全全切。但临床中病灶往往分布在脑内不同位置,往往无法使用一个手术入路、一次手术切除多个病灶,需分次进行切除。
那么该先切除哪一个呢?
如果某个“病灶”安安分分,没有捣乱,也没有引起症状,那就可以先观察看看,不用急着动手。因为还有更麻烦的病灶需要处理,它已经开始搞破坏了,不断长大,还引起了较严重症状……这种情况下,必须赶紧行动起来,找出这个“捣蛋鬼”,选择适合的手术方案来把它切掉。
蒋女士下一步该如何治疗?
INC福教授会如何为她评估?
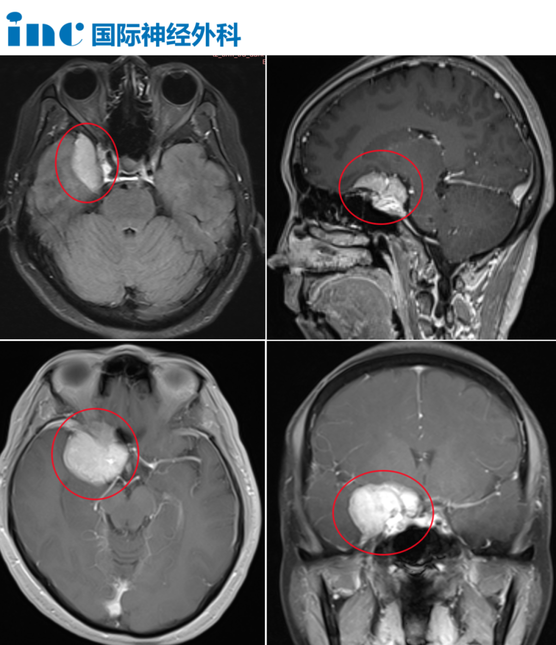
带着种种疑问,她找到福教授。我们先来看看蒋女士的病灶究竟在哪——增强核磁共振提示:右侧跨前中颅窝紧贴颅骨见一围绕蝶骨眶面生长不规则占位性病变,约32mmx41mmx42mm;左侧额部大脑镰小结节影,约1.0cmx1.2cm;脑干桥臂见小结节异常信号影。

虽然自己年近六旬,但是身体一直都只有一些小毛病,哪曾想过在自己的脑子里居然查出了三个占位,这太可怕了——右侧的巨大脑膜瘤更是邻近海绵窦,海绵窦区神经、血管交错解剖高度复杂,涉及多个颅神经、重要脑动脉、巨大静脉丛和脑干,被称为最难以治疗的脑膜瘤之一。
INC福教授如何评估?

右侧海绵窦脑膜瘤,左侧矢状窦旁额叶钙化脑膜瘤,脑干桥脑海绵状血管瘤。右侧海绵窦脑膜瘤应该手术治疗。左侧矢状窦旁额叶钙化脑膜瘤可以观察。脑干桥脑海绵状血管瘤可以观察。
对于右侧海绵窦脑膜瘤,手术是一个合理的选择,因为肿瘤的体积很大,并且对颞叶和视神经系统造成了很明显的压迫效应。对于这个手术我并不担心,我知道(术中)我会在哪里停下。其他两个病变目前不需要手术,只需观察。
矢状窦旁脑膜瘤很可能是一种非生长性或生长非常缓慢的脑膜瘤。在考虑治疗之前,应首先证实其生长情况。脑干海绵状血管瘤没有出血迹象,因此,也只需观察即可。
那么,福教授做过类似手术吗?
53岁男性患者,7年前在外院手术切除2级脑膜瘤。因出现三叉神经V1、V2区麻木,V3感觉迟钝入院。MRI见巨大脑膜瘤复发侵犯右侧海绵窦、眶顶、蝶窦、翼腭窝和颞后窝并通过Meckel’s腔(MC)延伸至桥小脑角(CPA)区(图a-c)。

福教授团队采用原额颞入路,显微镜+神经内镜-“双镜联合”,术后MRI显示肿瘤全切除。
术前术后影像对比:(A)术前MRI显示脑膜瘤延伸至后颅窝(PF)、海绵窦(CS)、眼眶和蝶窦(SS)。(B)肿瘤延伸至中窝、翼腭窝(PPF)和颞下窝(ITF)。(C)术前CT显示更大的蝶翼侵蚀和蝶窦受累。(D,E)术后MRI显示肿瘤完全切除。(F)术后轴位CT扫描显示用于闭合的脂肪移植物。

案例来源:Sébastien Froelich.Endoscopic-Assisted Microsurgical Resection of Right Recurrent Meckel's Cave Meningioma Extended to Cavernous Sinus.J Neurol Surg B Skull Base.2021 May 11;83(Suppl 3):e632–e634.doi:10.1055/s-0041-1725934
当脑子里发现多处病灶,第一步绝不是慌乱,而是冷静地寻找那位能“精准下刀”的专家。他不仅能做出更周全、更人性化的决策——哪个必须切、哪个可以留、具体该怎么切,仿佛在茂密昏暗的原始森林,心中自有一幅清晰的“地图”,指引方向。
- 文章标题:58岁女子头上长了3个“角”?一查竟是多发脑瘤,先切哪个好啊?
- 更新时间:2025-09-04 17:39:01
400-029-0925




