听力下降、耳鸣是很多中老年人都会出现的症状。听力出现异常的时候,多数人都会认为是耳朵有问题,但其实持续的耳鸣和突然的听力下降也可能是因为长了脑瘤。江苏一名58岁的李阿姨,就因持续耳鸣一个月,被检查出脑子里长了一颗脑膜瘤!

李阿姨向来身体康健,半年前右耳经常嗡嗡作响,听力也有下降的迹象。李阿姨以为自己年纪大了,耳朵有点问题很正常,所以她也没重视。
但近两个月来,李阿姨耳鸣得越来越严重了。此外,她还开始频繁头晕,头痛,好几次感觉眼前突然发黑、看不清东西,这才到附近诊所就诊。被当做颈椎病治疗一段时间后,相应症状并没有好转,于是又前往当地医院检查。医院检查发现李阿姨并不是颈椎病,而是脑子里长了颗瘤。一听脑子有瘤,李阿姨和家人都吓了一跳,辗转找到了INC国际神经外科医生集团。
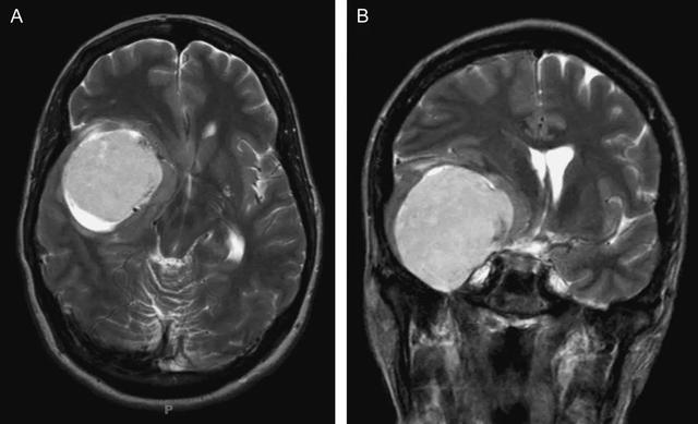
患者MR检查结果显示其右侧桥小脑角区有占位;头部CTA显示占位区附近有大部分钙化。较终,李阿姨被诊断为右侧桥小脑角区脑膜瘤。
随后,经过INC国际神经外科医生集团的协调,李阿姨及其女儿前往德国接受巴特朗菲教授的治疗。巴特朗菲教授为患者行右侧桥小脑角区脑膜瘤切除术,将一颗像橡胶一样坚硬、番茄般大小的瘤子从患者脑中完全切除了。
桥小脑角区脑膜瘤是指位于脑内岩骨后表面和附近的硬脑膜,包括起源于岩骨后或侵及小脑幕的脑膜瘤。此类脑膜瘤的质地通常会比较坚硬。

很多人可能都会疑惑,为什么脑子长瘤,会导致耳鸣呢?
原来,由于桥小脑角区的神经血管较多,在此处形成脑膜瘤很容易刺激、挤压或损害周围的组织,容易导致患者出现听力下降、耳鸣、头晕、面部抽搐、走路不稳、视力下降等症状。而且桥小脑角区脑膜瘤生长缓慢,早期症状并不明显。但随着肿瘤的增长,会根据肿瘤生长的部位不同出现不同的症状。
需要注意的是,桥小脑角区脑膜瘤多见于中年女性。专家提醒,如果出现持续耳鸣或听力下降等症状,是中年女性出现一侧耳聋耳鸣的症状,应当引起重视。不妨查一查颅内是否有肿瘤,尽早检查,以便明确诊断,及时接受治疗。
脑膜瘤要开颅吗?神经内镜手术内镜手术达到微创不开颅
李阿姨由于肿瘤位置不同选择了开颅手术。尽可能通过外科手术切除恶性脑膜瘤,如果良性脑膜瘤较大或引起神经系统疾病,则将其切除。手术类型取决于肿瘤的大小和位置。神经外科医生从各个方向看你的状况,找到对你的大脑,关键神经和恢复正常功能的能力影响较小的手术入路。
前沿微创手术允许神经外科医生进入以前难以或无法到达的区域。
可以使用内窥镜鼻内入路(EEA)直接接近颅底和上脊柱的脑膜瘤。这种前沿的微创方法允许外科医生通过鼻子的自然走廊进入肿瘤,而无需打开切口。然后外科医生通过鼻腔和鼻腔去除脑膜瘤。
EEA治疗提供无切口愈合,无损伤和更快恢复时间的好处。
位于以下区域的肿瘤可以用EEA治疗:
Transribriform:嗅沟脑膜瘤
Transplanum:蝶窦脑膜瘤和鞍结节脑膜瘤
Transsellar:鞍区脑膜瘤
Transclival:斜坡脑膜瘤和枕骨大孔
Transodontoid:枕骨大孔脑膜瘤,前上脊柱
Transpterygoid:颞下窝脑膜瘤
Transorbital:肌锥内脑膜瘤(位于眼眶内)或脑膜外脑膜瘤
神经内镜手术为脑室(液体空间)内的肿瘤或大脑物质内的深层肿瘤提供微创选择。与传统的脑部手术相比,狭窄的管或端口允许外科医生通过头皮上的微小切口进入这些肿瘤。

INC国际神经外科医生集团旗下组织国际神经外科顾问团(WANG)成员、法国巴黎狄德罗大学Lariboisiere医院神经外科教授兼主席Sebastien Froelich教授擅长革新神经内镜的手术方式,在治疗复杂脑肿瘤采取神经内镜下颅内高难度位置的微创手术上,发明了独特的“筷子手法”,不止提高了肿瘤的切除率,更使肿瘤患者有着更好的预后效果。据悉,Sebastien Froelich教授选择单独或联合使用前沿的设备和方法(显微镜、内窥镜、微多普勒、超声真空抽吸器),并且与耳鼻喉科医生、眼科医生、颌面部外科医生、放射治疗师、质子治疗师和神经肿瘤等领域的专家、医师多方合作,使“筷子手法”更有利于复杂脑膜瘤的手术与管理,此项技术手法在法国乃至整个欧洲都有着重要的影响力,教授本人更是凭借筷子手法而受邀成为50多家医学院的课程主任和讲师。
- 文章标题:女子听力下降,竟然脑膜瘤在作怪
- 更新时间:2019-12-30 17:10:40
400-029-0925




