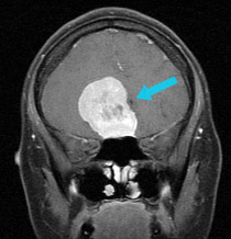
嗅沟脑膜瘤占颅内全部脑膜瘤的10%,在颅底前部眉毛和鼻子之间的颅腔深处形成。嗅沟脑膜瘤通常位于中线,但是随着尺寸的增大,它们可能会变得不对称。根据美国脑肿瘤协会(ABTA)的数据,嗅沟脑膜瘤通常是非癌性的,约占全部脑膜瘤的10%。根据国际卫生组织的脑膜瘤分类,它们几乎总是I级。如果您患有嗅沟性脑膜瘤,则在肿瘤长大之前,您可能不会出现任何症状。此位置的肿瘤可能会导致症状,例如嗅觉和味觉丧失,视力模糊,记忆力减退,头痛,疲劳,恶心和呕吐以及性格改变。由于症状并不总是存在,因此,我们通常会由于不相关的原因而执行磁共振成像(MRI)扫描后才发现嗅觉沟膜脑膜瘤。
尽管在影像学和治疗措施方面取得了进步,但在过去的几十年中,手术切除时这些肿瘤的平均大小并未改变。 嗅沟脑膜瘤约占全部基础脑膜瘤的14%。 发病高峰期在40至60岁之间,受影响的女性人数是男性的两倍。

嗅沟脑膜瘤的起因有哪些?
脑膜瘤的病因仍不清楚,但被认为是多因素的。在2型神经纤维瘤病患者中丢失了22号染色体的一部分,已证明具有遗传易感性。这些患者可能会发展为多发性脑膜瘤和神经纤维瘤。性激素,特别是雌激素和孕激素,已与脑膜瘤的发病机制有关,这一疾病中女性占主导地位。分别在多达50%和90%的肿瘤中发现雌激素和孕激素受体。
颅骨辐射是发展脑膜瘤的危险因素。有颅脑放疗史的患者脑膜瘤形成率是普通人群的4倍。
手术切除是大多数嗅觉沟脑膜瘤的治疗选择
由于嗅觉脑膜瘤的大小,通常需要在诊断时进行手术治疗。由于神经影像学的可用性增加,因此偶然发现的结果有望增加。在没有质量影响的小病变情况下,可以持续观察直到复发为止。治疗和预期管理之间的选择也很大水平上取决于患者的预期寿命。在某些偶然情况下,放射外科也可能发挥更大的作用。
复发性疾病的管理选择包括再次手术以及放射外科手术。少见的嗅觉沟脑膜瘤病例会发展为非典型或恶性脑膜瘤,促使放射疗法进行的手术。
手术治疗–嗅沟脑膜瘤的治疗主要是手术。这些肿瘤在出现症状之前已经达到了较大的尺寸,肿瘤的大小和鼻旁窦的侵犯是对其手术治疗的主要挑战。
INC德国Schroeder教授解析16个嗅沟脑膜瘤病例的完整切除手术
INC国际神经外科医生集团、国际神经内镜联合会执行委员会主席Henry W. S. Schroeder教授关于16个嗅沟脑膜瘤的病例解析论文交流:16 Olfactory Groove Meningiomas(16个嗅沟脑膜瘤病例)。

Schroeder教授表示:如果脑膜瘤的位置比较好,手术难度相对来说比较简单,风险比较低,容易取得较高的切除率和预后,但是手术较好能够将病灶的根部包括脑膜完整切除,这样不容易复发。如果脑膜瘤在较深的位置,例如枕骨大孔区,斜坡脑膜瘤、大脑镰脑膜瘤,那么手术难度就会较大,不容易确定较高的切除率,也不容易确定手术的顺利。脑膜瘤的手术,每多切那么一点点,复发的概率就低很多。所以,全国际的神经外科医院、神经外科医生都倾尽在顺利和神经顺利的前提下尝试更高的切除率。Henry W.S. Schroeder教授就是国际神经外科范围内少有的能做到完全切除包括嗅沟脑膜瘤在内的各种位置脑膜瘤的专家。
作为德国乃至国际神经内镜专家,Henry W.S. Schroeder教授此前曾任国际神经外科联合会(WFNS)内镜委员会主席。Henry W.S. Schroeder教授拥有20余年神经外科疾病咨询经验,其擅长领域涵盖内镜神经外科(脑积水、囊肿、脑室内病变)、内镜颅底手术(脑膜瘤、前庭神经鞘瘤、表皮样囊肿)、鼻内镜颅底手术(垂体瘤、颅咽管瘤)、周围神经手术等,经其神经内镜手术治疗的脑膜瘤、垂体瘤 、颅咽管瘤病例切除率高、治愈率高、复发率较低。
此外,Henry W.S. Schroeder教授对于国际神经外科学术研究及发展贡献卓著,他曾在各类神经外科杂志、期刊上发表了上百余篇学术论文,且与德国其他神经外科专家一起合著、编纂了《神经内镜手术》和《神经外科实用手册》等丛书,对于神经外科医生具有较大的临床实践指导意义。以其超群的神经内镜技术和深厚的学术功底,Henry W.S. Schroeder教授经常作为特邀讲师来华指导国内神经外科专家进行垂体瘤、脑膜瘤、颅咽管瘤等神经内镜手术技术培训,并多次受邀参与范围内研讨神经外科肿瘤疾病诊治的学术盛会。
- 文章标题:嗅沟脑膜瘤的起因
- 更新时间:2020-01-03 11:09:43
400-029-0925




