岩斜区位于颞骨岩部背面与枕骨斜坡部的岩斜裂汇合处,从岩骨尖至颈静脉孔。内侧至斜坡中线,外侧至第Ⅴ、Ⅶ和Ⅷ脑神经,上缘为鞍背,下缘为颈静脉孔水平;下方为枕骨大孔区。岩斜区肿瘤位置深,毗邻重要解剖结构,肿瘤全切除难度巨大,且有较高的术后致残率,较高的术后复发率,一直是神经外科手术的治疗难点。近年,显微外科技术的提高和各种颅底入路的尝试和改进,显著改善了手术的治疗效果。

岩斜区复杂的骨质、神经、血管解剖关系
一、常见病理类型
1.脑膜瘤:约1%颅内脑膜瘤起源于岩斜区,是岩斜区常见病变。它向上可侵犯岩骨尖、小脑幕、Meckel腔、鞍旁和海绵窦;向下侵犯内听道和颈静脉孔;向内侧达脑干和椎基底动脉。当肿瘤很大时,可包绕同侧Ⅲ~Ⅺ脑神经。患者临床可表现头痛、复杂的脑神经麻痹、共济失调等症状,严重者表现为偏瘫、认知功能障碍。目前,仍以手术切除为首选治疗方式。
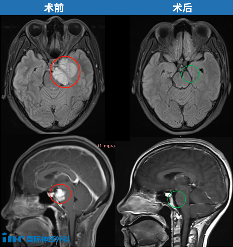
示例1

点击阅读:天坛医院手术纪实|4.5cm脑膜瘤紧压脑干成功手术,勇敢辣妈的彪悍人生!
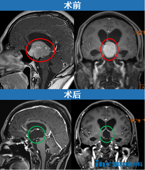
示例2

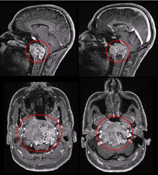
2.脊索瘤:脊索瘤起源于胚胎残留的脊索组织,从rathkes憩室扩展至斜坡,继续向下累及尾部的椎体。典型的斜坡脊索瘤的特点为居中线区的肿块,内见部分钙化,破坏斜坡骨质,并可见软组织肿块突入蝶窦或鼻咽。

点击阅读:切不干净,易复发?这个难缠的脑瘤手术“不基础”,术后放疗也“不基础”!
3.软骨肉瘤:软骨肉瘤发生部位不一,常与颅缝相关。在岩斜区,其通常发生于岩枕缝。大部分颅面部的软骨肉瘤是低级别的,其罕见、生长缓慢、局部侵犯。

点击阅读:当脑瘤躲在“死角”里?没关系,这个神经内镜会“拐弯”
4.垂体腺瘤:侵袭性垂体腺瘤生长迅速可侵袭和破坏骨质。

点击阅读:“你可以去打球了!”中年遭遇巨大垂体瘤,在天坛医院不开颅成功“挖”瘤
5.腺样囊性癌:腺样囊性癌占涎腺肿瘤总数不到10%,但占恶性大小涎腺肿瘤的40%左右。该肿瘤的特点有生长缓慢、容易复发、较长的临床病程、晚期转移。

6.鼻咽癌:鼻咽癌是发生于鼻咽粘膜上皮细胞的鳞状细胞癌,好发于中国华南地区,咽隐窝是鼻咽癌最常见的发病部位。

斜坡区占位,包绕颈内动脉大动脉及视神经,并压迫脑干。点击阅读案例详情:“本来只是头痛、复视,结果被迫做了抗癌斗士”
二、临床表现
在神经外科中,长在岩斜区或可以侵犯斜坡的肿瘤包括脑膜瘤、脊索瘤、软骨肉瘤、垂体瘤,转移瘤和淋巴瘤非常少见,其常见临床症状包括如下:
1.颅内压增高,头痛最常见,常以颈部和枕部疼痛为主,其他包括视盘水肿等
2.多组脑神经损害:最易受累动眼神经、三叉神经、面听神经及展神经,听力下降,面瘫,吞咽困难,前庭功能障碍
3.小脑受损症状:步态不稳、眩晕等
4.椎动脉、基底动脉受损:头晕、耳鸣等
5.特殊综合征:个别可以表现为海绵窦综合征及岩尖综合征(眼球后疼痛、展神经麻痹等)
6.其他肿瘤相关特异性神经系统定位体征
三、岩斜区解剖复杂及手术难度何在?
因涉及脑干、颅神经、椎基动脉和脑底动脉环、脑室通路以及鞍区、松果体区、岩骨-斜坡区、枕大孔区、桥脑小脑角区、颈静脉孔区等脑的重要结构或功能区,关系到病人的生命、神经、内分泌调节和传导等重要神经功能,任何一处的手术损伤,都可能引起重大的神经功能障碍。并且,此类病变多处于脑或烦底深部,手术显露困难,因而既要切除肿瘤,又要最大限度地避免损伤脑干、颅神经、重要血管等临近的脑重要结构。
岩斜区手术难度大,具体表现如下:
1.脑干前上方主要涉及有第三脑室、下丘脑、垂体、脑底动脉环等重要组织结构,这部分肿瘤一般都是瘤体较大时从前方向后推挤中脑,脑干症状多不明显,肿瘤较易与脑干分离。
2.脑干后上方主要涉及有松果体区、小脑幕、大脑大静脉等组织结构,肿瘤一般易于压迫中脑导水管引起脑积水、上视困难等症状,根据肿瘤性质等不同采用的治疗方式也不同。
3.脑干前方主要涉及有岩骨斜坡、基底动脉、颅神经等组织结构,术前症状多较轻、病程较长,但肿瘤位置深在,手术较难。
4.脑干侧方主要涉及有桥脑小脑角区、颈静脉孔区等组织结构,手术显露难度大。
5.脑干后方主要涉及有第四脑室、小脑蚓部、小脑脚等组织结构,肿瘤一般易于引起脑积水、颅高压症状等,肿瘤可侵及脑干。
6.脑干下方主要涉及枕大孔、椎动脉等组织结构,肿瘤易于引起呼吸困难、脑积水、颅高压症状等,因影响延髓,手术要求精细。
四、岩斜区肿瘤的手术入路
岩斜区手术入路很多,入路的选择应根据病变部位与斜坡和硬膜的解剖关系,选用能最大限度地切除肿瘤,保护好周围重要组织和最小副损伤的手术入路。目前,岩斜区手术入路主要有前方入路和侧方入路。根据肿瘤部位、中心的定位、扩展方向、大小、患者年龄、临床生理状态和术前计划切除的程度,采用不同的手术入路。
1.侧方入路
1.1枕下乙状窦后入路:经枕下乙状窦后入路切除斜坡区肿瘤的方法与切除听神经瘤相仿。德国INI的Samii教授介绍了一种改良的乙状窦后岩骨入路,即乙状窦后硬膜内内听道上入路,包括枕下乙状窦后开颅,磨除内听道上方岩骨,抵达颅中窝。
1.2枕下远外侧、极外侧入路:以德国Bertalanffy及Seeger教首创及倡导的远外侧入路,及Spetzler倡导采用极外侧入路,处理下斜坡、枕骨大孔和上颈段腹侧病变,要求术者具有娴熟精湛的颅底外科技术。
1.3经岩骨—小脑幕入路:Hakuba在经迷路—小脑幕入路的基础上加以改良,形成岩骨—小脑幕入路来切除斜坡—岩尖肿瘤,即在经幕上、幕下显露切除肿瘤前,先作颞骨部分切除。
1.4岩尖—小脑幕入路:多数斜坡脑膜瘤起源于蝶枕软骨结合区,向颅中、后窝生长,由于岩尖部骨质脆软,即使是中小型斜坡脑膜瘤也常常累及岩尖,形成蝶岩斜脑膜瘤。针对此类病变,Kawase教授提出了岩尖—小脑幕入路。
1.5颞下—耳前颞下窝入路:Sekhar设计了颞下-耳前颞下窝入路切除累及岩斜区、蝶骨区、海绵窦、颅中窝、颞下窝、咽后和咽旁区的肿瘤。此后,经Al-Mefty改进,形成眶颧—颞下窝入路,成为适应性最广的颅底入路之一。
2.前方入路
2.1前方颅底入路:Tessier采用前方颅底入路处理颅面部畸形,随后Derome将其改良应用于切除颅中、后窝硬膜外中线肿瘤。
2.2扩大经蝶窦入路:Laws首先提出经蝶窦切除斜坡肿瘤,而扩大经鼻—蝶窦入路主要用于中线硬膜外病变,适于切除中、上斜坡肿瘤。
2.3经口腔入路:Crockard经口腔入路成功地切除了寰枕区硬膜内病变,该入路特别有助于切除枕骨大孔上下腹侧肿瘤和处理脑干腹侧骨性畸形。
五、主要的手术并发症
1.颅神经损伤,面瘫、听力障碍、复视、眼睑闭合不能等
2.脑干损伤:肢体瘫痪、呼吸功能障碍等
3.小脑损伤
4.术后出血、脑脊液漏
5.术后感染等
岩斜区脑膜瘤手术技术非常关键,需要熟悉岩斜区解剖关系并有丰富的显微操作经验。在术前放置腰穿引流,或术中甘露醇应用可明显降低脑组织压力,减少牵拉造成的副损伤。提前对脑膜瘤基底的处理可有效避免肿瘤持续出血造成的蛛网膜界面消失。肿瘤的生长将神经、血管拉伸或包绕,尤其是复发的肿瘤,会破坏蛛网膜界面,侵犯脑干软脑膜。手术时应仔细分辨和保护。肿瘤囊壁与神经、血管外膜和脑干粘连,不应勉强分离,以保护下方结构。
参考资料来源:
1.http://www.yxppt.com/archives/260808
2.梁超.岩斜区脑膜瘤的治疗现状与进展
- 文章标题:岩斜区是指哪个部位?一旦长出这6类肿瘤该如何治疗?
- 更新时间:2025-11-03 14:24:41
400-029-0925




