颅内表皮样囊肿是一种罕见的颅骨肿瘤,仅占颅内肿瘤的1%。颅内表皮样囊肿通常位于桥小脑角区和鞍区,以及岩尖、视交叉区、脑干或脑室内。
约25%的中枢神经系统表皮样囊肿位于板障内,其中约3%的板障内表皮样囊肿可延伸至硬膜下腔。颅内表皮样囊肿具有良性的临床和生物学特性,起源于肿瘤囊壁的内上皮衬里。
一名55岁女性患者,因表现为头痛及左眼疼痛就诊,经查为一处延伸至小脑的表皮样囊肿。磁共振成像显示病变的板障内部分伴有环形强化,并可见小脑内部分。术中探查见枕骨受侵蚀及硬脑膜缺损。肿瘤同时位于硬膜外与硬膜下,囊内为珍珠白色角蛋白样物质。肿瘤被完全切除,患者出院时无神经功能缺损。肿瘤的板障内部分构成其主体,而小脑内部分系由炎症反应引发,此炎症反应亦导致了板障内部分的不典型强化表现。
案例来源于INC国际神经外科医生集团旗下组织世界神经外科顾问团(WANG)成员Takeshi kawase教授等发表的论文《Dumbbell-Shaped Intradiploic Epidermoid Cyst Involving the Dura Mater and Cerebellum—Case Report—》中。


头痛、眼痛,脑子里的“珍珠”怎么办?
一名55岁女性,主诉头痛和左眼疼痛,于2005年11月就诊于当地医院。后因诊断为左小脑肿瘤转至我院接受手术治疗。体格及神经系统检查未见异常。
头颅X线片显示枕骨存在一溶骨性病变(图1)。

图1头颅侧位X线片显示枕下区一溶骨性病变。
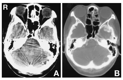
计算机断层扫描(CT)显示左侧后颅窝内板处有一伴钙化的低密度肿块(图2A)。骨窗CT显示颅骨内板受侵蚀(图2B)。

图2A:计算机断层扫描(CT)平扫显示左侧后颅窝内板处一伴钙化的低密度区。B:骨窗CT扫描显示颅骨内板受侵蚀。
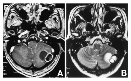
钆增强T1加权磁共振成像显示,板障内部分呈低信号伴环形强化,小脑内部分呈低信号(图3A)。T2加权磁共振成像显示硬膜外部分呈高信号,硬膜下部分呈高信号并延伸至小脑(图3B)。

图3A:钆增强T1加权磁共振成像显示一哑铃型肿瘤,由一伴有边缘环形强化的硬膜外部分和一有包膜的硬膜下部分构成。B:T2加权磁共振成像显示板障内部分信号强度不均,小脑内部分呈高信号。
患者于2006年2月接受肿瘤手术切除。术中探查见枕骨受侵蚀、硬脑膜缺损以及肿瘤表面钙化。肿瘤起源于板障并延伸至小脑。囊壁肥厚。囊内包含珍珠白色角蛋白物质,符合表皮样囊肿特征。肿瘤被完全切除。
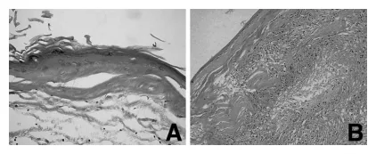
组织学检查显示,囊肿与小脑实质分界清晰,未见侵袭性生长。囊壁内衬扁平鳞状上皮,无不典型性,上皮下的纤维组织高度玻璃样变。囊腔内充满大量角化物质。未见未成熟神经组织等其他成分(图5A)。部分囊壁可见异物反应和淋巴细胞浸润(图5B)。患者术后恢复平稳,出院时无神经功能缺损。

图5,显微照片显示:A硬膜下部分囊壁内衬扁平鳞状上皮,囊腔充满大量角化碎屑;B硬膜外囊壁可见异物巨细胞反应及淋巴细胞浸润。(苏木精-伊红染色,A:×200,B:×20)
胆脂瘤又称表皮样囊肿,是一种罕见、组织学上良性且生长缓慢的中枢神经系统先天性肿瘤。由于生长缓慢,表皮样囊肿可能相当长时间内不会被临床察觉。但一旦被发现,其病变往往已经扩展至周围的神经和血管,具有“见缝插针”的特点。
胆脂瘤以手术切除为原则。要争取全切除,因为囊肿包膜是生长活跃的部分,且早期全切预后较好。
- 文章标题:颅内表皮样囊肿怎么治疗?累及硬脑膜与小脑的哑铃型病变如何实现全切?
- 更新时间:2025-11-07 11:26:37
400-029-0925


