
松果体区肿瘤的类型较多,可起源于松果体实质细胞、松果体腺支持细胞或中脑和丘脑内侧壁的胶质细胞。松果体区肿瘤有哪些...

松果体区肿瘤严重吗?患者的治疗方法主要取决于患有的松果体区域肿瘤的类型。患者的治疗方法主要取决于患有的松果体区域肿瘤的类型。手术后可能会使用放射疗法和化学疗法,具...

考虑到松果体区肿瘤的病理多样性,有必要明确组织学诊断以进一步优化治疗方案。肿瘤的组织学特征很大水平上影响术后辅助治疗方案的选择、针对转移的处理、估计后以及制定长期随...

虽然中枢神经系统低度和高度胶质瘤存活率的明显差异已被广泛发表,松果体区弥漫性二级星形细胞瘤的生存结果仍存在一些差异。此外,松果体胶质瘤可能呈现弥漫性中线胶质瘤的分...

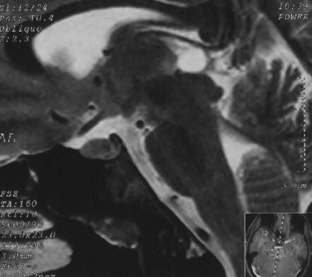
多形性胶质母细胞瘤(GBM)很少在松果体区发现。本文介绍了一个松果体区原发性胶质母细胞瘤(GBM)的病例,讨论了临床过程、影像学表现和治疗方法。根据先前描述松果体区GBMs软脑膜...

选择手术入路要根据肿瘤大小、肿瘤的主要位置,肿瘤的生长方向,肿瘤及其周围结构之间的关系和外科医生的经验,经幕下小脑上入路(ITSC)入路和枕小脑幕裂孔(OTT)入路是松果区域的显微...

松果体区肿瘤的症状可以随其不同的组织学而不同。出现颅内压升高症状和体征的患者需接受头部CT扫描或MRI检查,以评估紧急处理的必要性。松果体区肿瘤患者的后续非急诊检查可分...

本文描述了松果体囊肿(PGC)患者癫痫发作的类型及其随访期间(6 ~ 10年)的预后,以判断癫痫患者与常规患者,PGC体积和其对周围大脑结构的压缩是否存在差异...

生殖细胞肿瘤是松果体区域较常见的肿瘤(尽管它们仍然很少见)。生殖细胞肿瘤是松果体区域较常见的肿瘤(尽管它们仍然很少见)。松果体区肿瘤的外科手术切除是较困难的神经外...

松果体肿瘤代表了具有挑战性的外科病变,本文强调完全显微外科切除术(CMR)在松果体区域肿瘤中获得良好长期效果的作用...