原发性中枢神经系统淋巴瘤(PCNSL)被定义为表现为局限于中枢神经系统(CNS)的淋巴瘤。相比之下,继发性中枢神经系统淋巴瘤代表一种系统性淋巴瘤(即中枢神经系统外的淋巴瘤),其已经作为初始表现的一部分或在复发时转移到中枢神经系统(例如继发性部位)。继发性中枢神经系统淋巴瘤也可表现为孤立的中枢神经系统复发,尽管全身缓解。虽然这一章的重点是PCNSL,但继发性中枢神经系统淋巴瘤在方法和治疗上有许多相似之处。

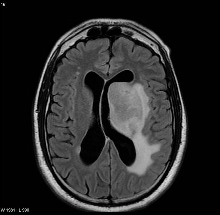
原发性非霍奇金淋巴瘤是一种少见的侵袭性结外非霍奇金淋巴瘤,局限于中枢神经系统,没有既往或当前系统性疾病的证据。它可能涉及大脑、眼睛、软脑膜或脊髓。值得注意的是,在本文中,眼睛的受累指的是玻璃体和视网膜的受累——即,视觉的淋巴瘤。相比之下,轨道的淋巴瘤是指结外淋巴瘤的非中枢神经系统部位;因此,它与中枢神经系统淋巴瘤的讨论没有密切关系。PCNSL占全部原发性中枢神经系统肿瘤的2%至3%。多囊卵巢综合征患者的中位年龄约为60岁。超过90%的病例在组织学上被归类为弥漫性大B细胞淋巴瘤。
患者出现进行性和相对快速的局灶性神经症状进展。超过三分之二的患者存在局灶性神经功能缺损,超过40%的患者有神经精神症状。其他症状包括颅内压升高、癫痫发作和视觉障碍。
鉴别原发性和继发性中枢神经系统淋巴瘤
对于在影像学上表现为可能的中枢神经系统淋巴瘤的患者,组织诊断部位的较初决定也将取决于胸部、腹部和骨盆的影像学,通常是用计算机断层扫描。一些中心使用正电子发射断层扫描和氟脱氧葡萄糖(FDG)(正电子发射断层扫描)。对这些部位进行成像可实现两个目的:(1)区分原发性和继发性中枢神经系统淋巴瘤,以及(2)如果提示系统性淋巴瘤,则确定活检部位。如果存在系统性淋巴结病,淋巴结活检是优选的活检部位,因为它将揭示淋巴结结构,告知淋巴瘤的亚型,并允许多方位的分子分析,这反过来往往会指导治疗。全身影像学阴性的男性应进行睾丸超声检查(US)以排除原发性睾丸淋巴瘤,尽管作为原发部位并不常见,但其具有的中枢神经系统转移风险。骨髓抽吸和活检在一些指南中被作为全身淋巴瘤评估的一部分。然而,如果所描述的分期是阴性的,发现孤立的骨髓淋巴瘤作为中枢神经系统受累来源的可能性是2.5%,这就对这种方法的实用性提出了质疑。
一旦胸部、腹部和骨盆的CT,以及男性睾丸超声被证实为阴性,组织诊断有三种选择,应按照侵入性从较小到较大的顺序进行。
1.腰椎穿刺。如果没有颅内压升高的禁忌,诊断多囊卵巢综合征的侵入性较小的方法是低压。重要的是,脑脊液分析应是高容量的(%3E10毫升),除常规分析和细胞学检查外,还需包括流式细胞术,并由血液病理学家进行理想的审查。在没有感染症状或体征的情况下,没有必要进行脑脊液培养,并且可以将脑脊液优先用于更相关的检测。磁共振成像应在LP前进行,以避免手术引起的非特异性脑膜强化。这种增强可以模仿软脑膜疾病。对于免疫功能低下的PCNSL患者,在中枢神经系统淋巴瘤的典型影像学背景下,阳性脑脊液爱泼斯坦-巴尔病毒(EBV)-聚合酶链反应(PCR)的存在是诊断性的,可以减轻对脑活检的需求。
2.裂隙灯检查。应进行系统性红斑狼疮检查,以检测玻璃体和/或视网膜浸润中的细胞。系统性红斑狼疮的可疑发现之后会进行玻璃体切除术,或者在某些情况下进行视网膜活检。
3. 脑活检。如果LP和SLE均为阴性,患者应进行脑活检。尽管阳性LP或玻璃体切除术将使患者免于脑活检,但首先通过脑活检诊断的患者仍应接受LP和SLE,以分别确定脑脊液和/或眼室中是否存在疾病。后者在系统性红斑狼疮上有可疑发现,不需要玻璃体切除术来确定眼部受累。如前所述,皮质类固醇给药增加了通常以坏死为特征的非诊断性活检的风险。在皮质类固醇给药后进行非诊断性活检的情况下,在有肿瘤再生长的放射学证据后,可以通过重复活检进行皮质类固醇治疗后的系列成像。
尽管多数的原发性非小细胞肺癌都是恶性淋巴瘤,但伯基特淋巴瘤、低度淋巴瘤或T细胞淋巴瘤的发现将改变治疗方法。临床上,较重要的肿瘤细胞标志物是淋巴细胞表面CD20,它评估对抗CD20抗体如利妥昔单抗的治疗反应。
脑脊液的病理评估应包括细胞计数、蛋白质、葡萄糖、组织学、细胞学和流式细胞术。后三项测试也应在玻璃体液上进行。脑脊液细胞学诊断PCNSL的敏感性仅为15%。流式细胞术更灵敏。如果较初的脑脊液分析提示但未证实(例如,蛋白浓度升高或存在被解读为“非典型”或“可疑”的淋巴细胞)淋巴瘤,则重复LP可能是诊断性的。然而,如果初始脑脊液正常,重复样本的诊断率将很低。较后,聚合酶链反应检测脑脊液中免疫球蛋白(IgH)基因重排也可能有所帮助,因为它不需要完整的细胞。
关注重点:
- 1. 90%到95%的PCNSL病例在组织学上被归类为DLBCL。
- 2. 磁共振成像与对比是较敏感的影像学检查方法。
- 3. 诊断和分期需要艾滋病毒血清学、全身电脑断层扫描或正电子断层扫描、详细的眼科检查,以及老年男性的睾丸超声。
- 文章标题:如何鉴别原发性和继发性中枢神经系统淋巴瘤?
- 更新时间:2021-08-05 13:31:33
400-029-0925


