颅底手术有何特别之处?为什么这么难?
首先,我们来告诉大家什么是颅底肿瘤。打个形象的比喻,我们的脑袋像一个房子,头顶就是我们这所房子的天花板,长在这个天花板上的肿瘤呢,就是一些脑表面的肿瘤,而颅底就是我们这所房子的地板,那么长在这个地板上的肿瘤就是我们所说的“颅底肿瘤”。颅底肿瘤多为良性,但由于生长的部位深,所以导致手术难度大,风险高。

颅底示意图
我们常用的显微开颅手术治疗颅底肿瘤,就是先打开我们脑袋这所房子的天花板,再牵开位于房子内部的脑组织,然后进入到地板上肿瘤的位置,在显微镜的帮助下切除肿瘤。整个操作需要牵拉脑组织,再加上颅底位置又很深,所以手术难度大。
随着我们医学技术的进步,现在许多的颅底肿瘤可以采取内镜经鼻入路的方式完成。为什么可以这样做呢,我们再打个形象的比喻,我们的鼻窦位于颅底的下方,采用经鼻方式进入颅底,就是在我们脑袋这个房子的地板上凿了一个洞,我们从地板下方将神经内镜通过这个洞来切除肿瘤(图1)。

图1内镜经鼻入路至颅底
样做的好处主要有三点:
一是神经内镜器械决定了比起显微镜来有好的手术入路操作的照明,手术视野好;
二是经鼻入路神经内镜可以不用牵拉我们柔软重要的脑组织,术后反应轻;
三可以同轴操作切除肿瘤,术中操作方便简单;
因此采用内镜经鼻入路切除颅底肿瘤具有许多优势,比如脊索瘤、垂体瘤、颅咽管瘤、拉克氏囊肿、鞍结节脑膜瘤、三叉神经鞘瘤、颈静脉孔区疾病等颅底深部疾病,都具有不用开颅,创伤小,等优点。
颅底疾病的经鼻手术可以追溯到二十世纪初期,Hermann Schloffer和Harvey Cushing等先驱者成功地应用经蝶入路切除垂体腺瘤。
23岁法国男孩颅内颈静脉孔区肿瘤经鼻内镜下顺利切除
颈静脉孔区肿瘤为典型的复杂颅底肿瘤,由于解剖的复杂性(重要脑组织、神经和血管密集),手术操作细致、难度大、风险高,术后容易发生严重并发症,致残或致死,的颅底神经外科医生很少,罹患颅底肿瘤的患者择医困难。
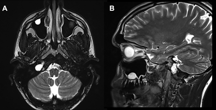
23岁法国小伙Lucas因右侧舌下麻痹和舌萎缩就诊,发现以颈静脉结节为中心的T2高信号和溶骨性病变(图1A和B)。
▼图1.术前MR显示以右颈静脉结节为中心病变,位于颈静脉孔内侧,考虑软骨肉瘤可能。

▼图2,术后MR证实软骨肉瘤完全切除。

术者:INC法国福洛里希教授

福教授手术操作情况
▼进行了对侧单侧入路和宽蝶窦切开术(图8A)。

▼对斜坡骨下方和横向钻孔磨骨,扩大手术通道,并识别定位及保护右侧翼管神经(图8B,钻头上方)。

▼在颈内动脉(ICA)后方轻柔钻孔,避免损伤颈内动脉导致出血(图8C)

▼切开ICA颈内动脉下方的破裂孔处的韧带(图8D)。

▼从该切口可暴露右颈静脉结节区域的充足手术通道(图8E和F)。

▼然后肿瘤被切除。在图8G中,可见肿瘤基底部暴露,并且颈静脉孔神经部组织可以通过组织质地来区分。

▼首先应用一层TachoSil脂肪移植物覆盖(图8H)

▼然后使用中鼻甲粘膜进行(图8I)进行闭合。

CD,斜坡凹陷;S,蝶鞍;SR,蝶嘴;T,肿瘤。
▼术后影像学证实了肿瘤全切(图7C)和颈静脉孔保留通畅(图7D)。在这种情况下,神经内镜筷子技术有助于顺利合适地暴露、探查神经和斜坡旁颈内动脉,并通过有限且定制的手术入路向下到达对侧肿瘤所在位置颈静脉孔区域。

国际颅底手术教授神经内镜“筷子技术”
国际福洛里希教授神经内镜“筷子手法”,为国际神经内镜发展和颅底显微手术技术进步贡献卓著,年纪轻轻就成了国际神外领域手术例数和成功率数一数二的专家,被同行誉为“教授”,在颅底脊索瘤、垂体瘤、脑膜瘤等尤为为精通。
他曾受邀成为50多家医学院的课程主任和讲师,将自己神经外科创新性技术和手术经验交流到了国际各个地区,跟随他学习、进修技术是很多年轻神经外科医生的向往。

他就是INC国际神经外科医生集团旗下国际神经外科顾问团成员、国际神经外联合会(WFNS)颅底手术委员会前主席福洛里希教授。
Q:这台手术中筷子技术起到了什么作用?
“筷子技术”确实致力于尽可能微创,目标是在不接触鼻内部结构的情况下穿过鼻腔。传统的技术是需要两名手术医生,也就是四只手操作。一名手术医生拿着内窥镜,另一名手术医生用两只手操作。如果这样做,则需要空间以避免仪器和内窥镜之间的器械“打架”,而内窥镜是坚硬的。主刀医生会跟着拿着内窥镜的手术医生去移动,但器械“打架”仍然无法避免。为了避免器械“打架”,就需要在鼻腔内创造更多空间,通常为了达到这个目的,需要切除部分正常组织。现在为了解决这个问题,我和我的团队发明了“筷子技术”,可以让术者同时操作“内镜、吸引器、三个器械”,做到“人镜合一”,术者可以控制。还可以将内窥镜的靠近仪器的,这可以在执行关键步骤或细致的剥离时提供相当高的精度。

图示为筷子技术,A图表示筷子夹在拇指和手指之间。B图表示内窥镜和抽吸(或其他器械)可以类似地保持在外科医生的非主导手中。旋转轴与抽吸的远端角度结合可以将小手指运动转换成暴露深度中的360度范围。

图:筷子技术示意
虽然通常被标记为微创入路,但扩展内镜经鼻入路通常对鼻结构具有较大的侵入性。大多数研究者认为,在延长鼻内入路后,鼻窦生活质量(QOL)下降,这反过来又对总体生活质量产生不利影响。越来越多的证据表明,外科手术的复杂性,包括鼻中隔皮瓣的切除和中鼻甲或下鼻甲切除术,会对鼻窦的生活质量产生负面影响。
所以“筷子技术”的目的是保护解剖结构,保护鼻内部的结构。我们知道,如果切除正常的结构就会导致患者出现术后并发症,并且这种情况可能会持续很长一段时间。如果使用放疗,这种病况会更严重。例如,脊索瘤经常使用放射治疗,而放疗会使相关并发症变得更严重并持续更长时间。因此,“筷子技术”的目标是减少手术入路的侵袭性。实现肿瘤切除,并限制手术对鼻窦结构和患者生活质量的影响。
筷子技术,允许外科医生在狭窄的手术走廊中工作,减少器械之间的冲突,并好转手术野的动态感知。下鼻甲、中鼻甲、鼻中隔等软质鼻内结构具有的弹性,起到了器械和内镜支架的作用。由于吸力是由鼻内结构控制的,外科医生手指的微小动作(旋转和前后运动)被高精度地传递到吸力的。手术腔越大,需要更多的力量来容纳内窥镜和器械,从而导致精度的损失。
Q:筷子技术的原理和原则
▼图示:用非惯用手握住内窥镜和吸引器。(A)内窥镜放在手掌上,拇指和食指之间。(B)手指操纵吸力。(C)Integra Micro France鹅颈结构的旋转和可延展吸头。(D)可以调整可延展的吸头以增加触及范围并在拐角处工作。

▼图示:(A)Binostril和(B)使用有角度器械的单鼻孔入路。旋转轴与吸力角度相结合,导致手指的小动作在曝光深度上被放大,并允许360度范围。当用拇指和中指和无名指控制时,吸力还可以沿前后方向移动。

提出者福教授“筷子技术”重要:
1.用"非利手"握持吸引器和内镜,避免助手扶镜与主刀器械冲突
2.吸引器的握持方式是多种多样的,主要依据术者的习惯;
3.吸引器头端较好在使用之前弯成“鹅颈”状
4.光源接头的方向在术中是要视情况调整
国际神经内镜技术领域的先行者,中外神经内镜技术交流的推进者
神经内镜手术,包括手术理念和入路等,多是由包括法国在内的一些西方国家发明出来,神经内镜设备多是根据这些提出者的需求设计出来,进而流传到其他国家去应用。比如较出名的小儿神经内镜Lotta内镜,即是现任的国际神经内镜联合会执行委员会主席德国Henry W.S.Schroeder教授(也是INC国际神经外科医生集团旗下国际神经外科顾问团成员)在2004年发明的,并用自己的女儿Lotta的名字命名的。而在国内,神经内镜新技术还不太成熟,部分三甲医院开展所用的设备也都是国外进口而来。
作为INC国际神经外科医生集团旗下国际神经外科顾问团的成员,Sebastien Froelich教授曾连续参加INC三届国际神经外科顾问团年会,在INC开展学术沙龙,并赴国内大型公立医院进行神经内镜技术培训、示范教学手术等。

- 文章标题:无切口不开颅!INC福教授发表内镜筷子技术全切颈静脉孔区软骨肉瘤手术案例
- 更新时间:2024-01-22 11:51:32
400-029-0925




