不开颅、经眉开小孔就能切除脑瘤吗?
能!
经眉弓锁孔入路手术并不是什么新鲜事。国外阿克塞尔-伯内斯基(Axel Berneski)不久前将这一概念引入了颅底手术和整个神经外科领域,这无疑在开放性颅底手术中变得有用。福教授表示经眼睑入路会给患者带来很大的发病率。如果我们想做微创手术,实际上是为了降低发病率,但经眼睑入路会造成几天、有时是几周的眼部肿胀,还有可能出现面容美貌问题。因此,福教授一直在使用眉部切口,而不是使用带眼睑的经眶切口,在眉部切口中,只需取下眼眶边缘,这就为我们提供了更好的手术入路视野来实现切除肿瘤的目标。福教授使用眉部切口的经验丰富,对眉部切口的美容效果也满意。

福教授在论文《Eyebrow incision with a crescent-shaped orbital rim craniotomy for microscopic and endoscopic transorbital approach to the anterior and middle cranial fossa》中就交流了这样一则案例,采用了新月形经眉-眶开颅术(crescent-shaped orbital rim craniotomy)为患者成功全切了脑膜瘤,术后5天,几乎看不到手术痕迹。
经眉弓锁孔巧切脑瘤,外形容貌如当初
简要病史:
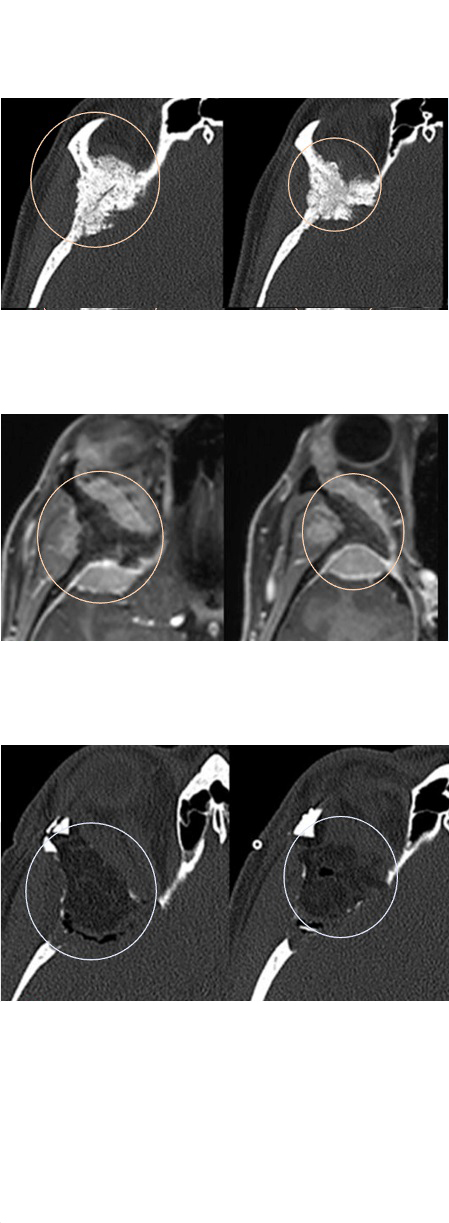
一名38岁女子出现了轻微的眼球突出。CT和MRI核磁共振显示轴外的骨质增生肿瘤,怀疑是蝶眶脑膜瘤(图1A和B),选择保守观察。一年后,肿瘤增长,眼眶周围疼痛和眼球突出恶化。没有孕激素摄入史,眼科检查正常。

手术过程:
使用“月牙形”经眉皮肤切口(图2A)进行开颅手术。经眉切口和整个手术都是在显微镜下进行的,不需要神经内镜,然后仅用内镜探查手术腔。使用微型钢板和螺钉重新连接切开的“小骨瓣”和颅骨。
患者术后恢复良好,没有术后并发症。CT和MRI证实完全切除肿瘤(图1C)。术后6天拆线,患者在的状态下出院,几乎没有可见的疤痕,眼球突出治愈(图2B)。
▼手术切口轮廓和标志

▼眉毛切口

▼月状眶缘开颅术

▼切除肿瘤

▼肿瘤取出

▼使用腹部脂肪进行术野填充(避免使用人工耗材-具有炎性等风险,可致眼部不适影响生活质量)


▼术后5天的良好面容外观(无疤痕)

案例讨论
患者案例表明,福教授提出的“月牙形”经眉弓锁孔入路可以合适地切除蝶翼、前颅窝和中颅窝的肿瘤。这种简单的改良技术通过眉毛切口结合了ETOA和锁孔手术的优点,提高了手术的自由度,较大限度地减少了眼眶内组织的操作和压迫损伤。
在现代神经外科的早期阶段,前外侧颅底病变是通过大开颅手术,如额颞、眶颧或颞下入路。这些经颅入路耗时长,并且由于广泛的脑组织剥离而伴有的并发症和术后不适。随着显微镜、内镜、手术器械的发展以及导航技术的引入,术中病灶的准确定位得到了提高,更小的皮肤切口和开颅手术,即所谓的微创入路已经成为可能,并得到了广泛的应用。
在过去的20年里,经鼻入路内镜手术EEA的使用有了的增长,改变了中线中央颅底病变的手术策略。到目前为止,ETOA内镜下经眶纵向入路的适应症主要局限于中前颅底脑膜瘤和三叉神经神经鞘瘤。许多报道描述了ETOA内镜下经眶纵向入路延伸到其他颅底区域,如岩尖、眶下裂、颞下窝等。
近期,经验丰富的鼻内入路团队通过眼睑切口将内镜应用于眶内通道,以克服EEA对更多侧颅底病变的局限性。避免了ETOA内镜下经眶纵向入路的限制,通过侧眦切口、纯结膜切口或上眼睑切口进行外侧眶切开,无论是使用显微镜还是内镜,都可以提供更外侧的视角来观察颅中窝和海绵窦情况,并增加对眶下壁向颞下窝的暴露,显示更好的手术视野和手术操作自由度。
然而,大多数神经外科医生对ETOA和眼睑切口仍然不熟悉和不情愿。它需要不同的培训,不同的仪器,以及眼科等之间的合作。此外,眼睑切口有眼睑水肿、角膜炎、假性脑膜膨出和长期性美容并发症的风险。
另一方面,通过眉毛切口的锁眼入路在切除前颅底肿瘤和血管病变方面合适,具有良好的美学效果,并且限制了术后因眶周肿胀引起的即时不适。这项技术现在被许多神经外科医生所掌握,不需要任何不同的眼科技术,理论上比眼睑切口提供更好的美容效果,因为伤口隐藏在眉毛中。
我们的技术结合眉毛切口月牙形眶缘开颅术是一种简单、顺利、合适的方法,可用于治疗涉及蝶翼、颅前、颅中窝和眶的病变。通过移除覆盖眶前上侧面的眶缘唇来拓宽手术通道。与传统的ETOA相比,该入路在手术自由度和可操作性方面似乎更合适,因为有额外的暴露角度和缩短的工作距离,并且眶压较小。我们的方法也提供了一个更直接的轨迹到眶顶,方便进入前颅底病变。这种方法是ETOA和锁孔方法的融合,可以与显微镜和内镜一起使用。
总结
月牙形眶缘开颅术提供了通往颅前窝和颅中窝的合适手术通道。与传统的ETOA相比,它增加了手术的自由度和可操作性,减少了眶内容物的压缩,允许使用内镜和显微镜。此外,与眼睑切口相比,这种技术可以提供更有利的美容效果。
INC(International Neurosurgeon’s Circle)是一个专注于神经外科领域教授学术交流的医生集团。INC旗下国际神经外科顾问团(World Advisory Neurosurgical Group,WANG)成员均是来自国际各国神经外科不同细分领域的教科书级别专家。作为联接中外神经外科领域专家的纽带,集团近年组织国际神经外科教授专家来我国开展学术交流、技术探讨,并开展高难度手术;与国内多家医院展开合作,促进了国内外神经外科的共同发展进步,也为国内外神经外科患者提供了更多新的治疗选择。
- 文章标题:不开颅、不留疤,INC国际福教授创新手术“经眉弓锁孔入路”全切脑瘤
- 更新时间:2023-12-20 09:31:49
400-029-0925




