不开颅、从鼻子从眉骨开小孔就能切除脑瘤吗?
能!
提到脑肿瘤手术,大部分人尽快想到的都是开颅手术。而对于颅底肿瘤,常用的显微开颅手术治疗颅底肿瘤,就是先打开我们脑袋这所房子的天花板,再牵开位于房子内部的脑组织,然后进入到地板上肿瘤的位置,在显微镜的帮助下切除肿瘤。整个操作需要牵拉脑组织,再加上颅底位置又很深,所以手术难度大。
而随着医学技术的进步,现在许多颅底肿瘤可以采取内镜经鼻入路的方式完成。为什么可以这样做呢,再打个形象的比喻,鼻窦位于颅底的下方,采用经鼻方式进入颅底,就是在我们脑袋这个房子的地板上凿了一个洞,我们从地板下方将神经内镜通过这个洞来切除肿瘤(图1)。

图1内镜经眶入路至颅底图片

图2内镜经鼻入路至颅底图片
这样做的好处主要有三点:
一是神经内镜器械决定了比起显微镜来有好的手术入路操作的照明,手术视野好;
二是经鼻入路神经内镜可以不用牵拉我们柔软重要的脑组织,术后反应轻;
三可以同轴操作切除肿瘤,术中操作方便简单;
因此采用内镜经鼻入路切除颅底肿瘤具有许多优势,比如脊索瘤、垂体瘤、颅咽管瘤、拉克氏囊肿、鞍结节脑膜瘤、三叉神经鞘瘤、颈静脉孔区疾病等颅底深部疾病,都具有不用开颅,创伤小,等优点。
Sebastien Froelich教授是国际神经外科内镜手术专家,他对于脊索瘤、脑膜瘤、垂体瘤、颅咽管瘤等都有大量的临床治疗经验,提出了克服脊索瘤的颅底基础方法、鼻内镜和下鼻甲联合皮瓣修复扩大鼻内入路后大面积颅底缺损的手术方法。
作为国际神外内镜手术教授,福教授还神经内镜“筷子技术chopsticks technique”,可以让术者同时操作“内镜、吸引器、三个器械”,做到“人镜合一”,术者操作手是可以灵活旋转吸引器。目的是保护鼻内解剖结构,操作中主刀医生并没有拿这内镜,是鼻内结构在支撑内镜。而利用筷子手法内镜微创手术可以据手术入路及肿瘤位置特点,选择不同角度的手术器械。对于保护重要神经、更加准确移除肿瘤、灵活操作入路角度等都有重要作用。福教授强调内镜手术应充分利用自然空腔并保留解剖结构。

本文精选十个福教授神经内镜不开颅手术切除肿瘤的10个患者案例,病种涵盖脊索瘤、脑膜瘤、垂体瘤、颅咽管瘤等、希望给想要进行内镜手术的疑难脑瘤患者一个参考选择,更多福教授精彩脊索瘤案例关注INC官方公众号。
目录导读
1、6岁男孩较大脊索瘤——单鼻孔8mm切口、不开颅成功手术
2、126cm³较大脊索瘤压迫气管、呼吸困难——不开颅、近全切手术抢救
3、47岁女性岩尖区肉芽肿突发耳聋——单鼻孔入路不开颅准确切除
4、23岁法国男孩颅内颈静脉孔区肿瘤——经鼻内镜下顺利切除
5、38岁女性蝶眶脑膜瘤——不开颅经眶入路切除肿瘤
6、较大肿瘤——如何不开颅从鼻子切脑瘤
7、33岁男性斜坡脊索瘤——微创经鼻手术成功全切5年未复发
8、40岁男士脊索瘤——福教授鼻内镜下手术全切
9、37岁女性蝶鞍中央垂体瘤——神经内镜单鼻孔完整切除
10、复杂脊索瘤长在斜坡、鞍区、侵犯海绵窦——不开颅如何顺利手术?
6岁男孩较大脊索瘤
单鼻孔8mm切口、不开颅成功手术

病情回顾:
6岁的宁宁因头疼,行走不稳等症状被诊断为颅底脊索瘤。肿瘤位置不同,体大,明显压迫脑干,宁宁在国内接受了一开始手术,部分减少肿瘤的体积。然而,剩下的肿瘤仍然很大。宁宁父母走投无路之际从国内神外专家得知福教授即将来华的消息,果断进行了远程咨询。幸运的是他们如愿得到了教授充满希望的回复并决定请他进行二次手术。

治疗过程:

18kg,这么小体重患儿全身只有1500ml左右的血液含量,再一次手术难度较大,危险系数较高。手术中10%(150ml)的出血量,宁宁可能就会休克;出血量达到20%,就会危及生命。如何解决这个困境?福教授决定进行单鼻孔入路神经内镜手术,采用多种角度镜,运用“筷子技术”,用仅仅8mm的创口,切除了直径达50mm的肿瘤。在减少出血点的同时,将手术风险尽可能降到较低。
术中,年幼的宁宁鼻内空间很小,实行单鼻孔入路手术难度较大。福教授术后也直言道:“困难,像是打了很大的一场仗”。而此时距离一开始手术仅37天,幸运的是这次手术近全切肿瘤,宁宁术后3天转出ICU,无任何新增并发症。从远程咨询到成功手术仅10天,术后10天顺利出院。

126cm³较大脊索瘤压迫气管、呼吸困难
不开颅、近全切手术抢救
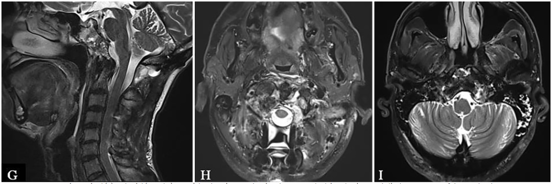
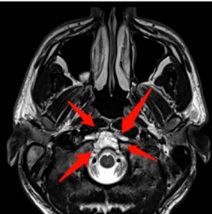
病情回顾:患者术前MRI和CT扫描显示,显示椎前、斜坡较大肿瘤,颅颈交界区CCJ较大脊索瘤,肿瘤体积126.2cm³,累及下斜坡、右侧岩尖(PA)、双侧枕髁(OC)、脊髓C1和齿状突,并从C0延伸到C6椎前间隙,呈现广泛浸润性生长。

图片术前MR
考虑到肿瘤较大,向椎前侵袭浸润,患者首先接受左侧前外侧入路切除颈部脊索瘤,病理检查证实脊索瘤的诊断。
▼通过右侧内镜辅助远外侧经髁入路(EA-FLTA)切除颅颈交界处残余肿瘤(33.4 cm³)(图4D-F)。然后,进行枕颈融合术(OCF)(C0-C3-C4-C5)。

D-F:术中在CT引导神经导航下,进行EA-FLTA入路手术,显示进入斜坡(D)、齿状突(E)和对侧OC(F)的手术操作可行性。
▼术后MRI显示NTR(图4G-I)。

图片G-I:术后MR显示椎前、下斜坡和椎后的肿瘤被切除。
47岁女性岩尖区肉芽肿突发耳聋
单鼻孔入路不开颅准确切除

术前MRI图片
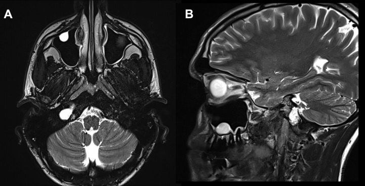
病情回顾:47岁的Emma突发性耳聋和右侧面部疼痛,曾以为是三叉神经痛导致,后检查考虑为岩尖区的胆固醇肉芽肿。增强MRI显示病灶在岩尖、耳蜗和内听道侧面和后部出现均匀强化病灶,T2低信号和T1高信号,病灶导致右侧内听道ICA和海绵窦向前移位(图A和B)。胆固醇肉芽肿是少见的囊性炎症病变,其特征是形成胆固醇晶体。它们是岩尖部较常见的病变,当出现症状时,可能会出现听力丧失、眩晕、耳鸣、头痛和面部病变。
手术方案:通过对侧单鼻孔入路,左侧鼻中隔皮瓣切开并进行蝶窦切开术。
▼术后(C、D)图像显示病灶次全切除,并显示鼻中隔瓣修复良好。显示岩尖然后面的小部分残留病灶(C、D、箭头)。值得注意的是,除了鼻中隔后三分之二和蝶窦外,全部其他鼻内正常组织结构均被保留完整无损。

23岁法国男孩颅内颈静脉孔区肿瘤
经鼻内镜下顺利切除
病情回顾:23岁法国小伙Lucas因右侧舌下麻痹和舌萎缩就诊,发现以颈静脉结节为中心的T2高信号和溶骨性病变(图1A和B)。
颈静脉孔区肿瘤为典型的复杂颅底肿瘤,由于解剖的复杂性(重要脑组织、神经和血管密集),手术操作细致、难度大、风险高,术后容易发生严重并发症,致残或致死,的颅底神经外科医生很少,罹患颅底肿瘤的患者择医困难。
▼图1.术前MR显示以右颈静脉结节为中心病变,位于颈静脉孔内侧,考虑软骨肉瘤可能。

▼图2,术后MR证实软骨肉瘤完全切除。

▼术后影像学证实了肿瘤全切(图7C)和颈静脉孔保留通畅(图7D)。在这种情况下,神经内镜筷子技术有助于顺利合适地暴露、探查神经和斜坡旁颈内动脉,并通过有限且定制的手术入路向下到达对侧肿瘤所在位置颈静脉孔区域。

38岁女性蝶眶脑膜瘤致眼球突出
不开颅经眶入路切除肿瘤,外形容貌如当初
病情回顾:一名38岁女子出现了轻微的眼球突出。CT和MRI核磁共振显示轴外的骨质增生肿瘤,怀疑是蝶眶脑膜瘤(图1A和B),选择保守观察。一年后,肿瘤增长,眼眶周围疼痛和眼球突出恶化。没有孕激素摄入史,眼科检查正常。

手术过程:使用“月牙形”经眉皮肤切口(图2A)进行开颅手术。经眉切口和整个手术都是在显微镜下进行的,不需要神经内镜,然后仅用内镜探查手术腔。使用微型钢板和螺钉重新连接切开的“小骨瓣”和颅骨。
患者术后恢复良好,没有术后并发症。CT和MRI证实完全切除肿瘤(图1C)。术后6天拆线,患者在的状态下出院,几乎没有可见的疤痕,眼球突出治愈(图2B)。
▼手术切口轮廓和标志

▼肿瘤取出

▼术后5天的良好面容外观(无疤痕)

不开颅就把大手术做了
从鼻子切脑子里的肿瘤
病情回顾:一则复杂的案例,肿瘤较大,但福教授认为很适合用内镜技术,因为没有颅内扩散。而且使用有角度的内窥镜,是可以通过一条很窄的通道把肿瘤拿出来。

在这种情况下,福教授决定使用单鼻孔,且不用切除中鼻甲。
▼从肿瘤的顶部向下到下边缘,并向两侧的颈静脉方向延伸。

▼如果你有弯曲的仪器可以慢慢操作,因为脊索瘤是软的,这也是脊索瘤的特点之一。

▼可以通过一个狭窄的开口完全到达肿瘤

这个小切口有什么好处?
不需要用鼻中隔皮瓣来闭合,只需要使用脂肪来填补空腔。然后,把这个粘膜缝到对侧的粘膜上,实现了一种紧密的闭合,风险低,没有鼻中隔皮瓣造成的并发症。

因此,现在进行缝合,然后,缝合之前黏膜上的切口,达到完整的闭合。

术后一周,患者状态较好。
这是用脂肪填补空腔后的术后MRI

33岁男性斜坡脊索瘤
神经内镜微创经鼻手术成功全切5年未复发
病情回顾:一名33岁男士得了发病率百万分之一的斜坡脊索瘤,不愿开颅,他接受了神经内镜微创经鼻手术。手术切除率很高,目前他已术后健康正常生活了5年之久,而且复查时并无发现脊索瘤复发增长。

术前(红色箭头):A、B图显示位于右海绵窦中心的脊索瘤病变。病变集中在右侧海绵窦和翼骨上,并在右侧邻卵圆孔。
手术过程:神经内镜单鼻孔经蝶窦手术切除
术后(蓝色箭头):C图表示矢状位显示无肿瘤残余。D、E、F图显示轴位、冠状位脊索瘤被绝大部分切除。
40岁男士脊索瘤
福教授鼻内镜下手术全切

病情回顾:一名40岁脊索瘤男士,神经系统检查正常,既往无病史,颈痛病史2年。

治疗过程:福教授术中通过磁共振成像(MRI)监测术后神经功能缺损和术后肿瘤大小情况。在双鼻孔入路,鼻内窥镜下以30度和45度角行。随后,制作一个心形皮瓣,钻取斜坡以暴露病变。在初始减压后,轻轻钻取C1环以到达齿状突内及周围的肿瘤,并进行完整切除。术后核磁显示了用于闭合瘤腔的脂肪移植物,没有肿瘤残留。术后MRI显示完成了肿瘤全切除。术后患者无神经功能缺损。病理检查显示为典型脊索瘤。
福教授为其经鼻神经内镜全切除后,无神经功能缺损,无肿瘤残余,无其他并发症,这对于术后长期生存效果有较大意义。目前,他正在接受后续的质子放疗。
37岁女性蝶鞍中央垂体瘤
神经内镜单鼻孔完整切除
病情回顾:一名37岁的法国女性被发现有位于蝶鞍中央的9mm垂体瘤后,同样选择的也是神经内镜经鼻单鼻孔切除术,医生采用的是当前热门神经内镜“筷子手法”使肿瘤得以完整切除,目前正在进行相关内分泌治疗,手术后3年垂体瘤没有复发的迹象,无其他并发症。

术前(红色区域):A、C图位于蝶鞍中央的9mm垂体微腺瘤。B图表示计算机断层扫描仪显示了蝶窦的鞍周型气管化。
手术过程:使用筷子手法进行广泛的蝶窦切开术,从手术区域清除血液并解剖假包膜平面,进而完整地切除肿瘤(不分块切除,防止肿瘤残留)
术后(蓝色区域):D图显示垂体瘤被肉眼下完整切除,且完成内分泌治疗。
复杂脊索瘤长在斜坡、鞍区、侵犯海绵窦
不开颅如何顺利手术?
病情回顾:福教授一例复杂脊索瘤手术案例,这位病人的颅底脊索瘤较为复杂,长在了颅底斜坡、鞍旁、侵犯了海绵窦内的面部感觉及运动神经,并压迫脑干。位置及其复杂,手术风险较大,手术具挑战。患者情况危机急需手术,面对如此复杂棘手的脊索瘤,福教授会如何做手术决策?

在详细分析了肿瘤的位置及生长特性后,其主刀医生福教授为病人选择了神经内镜下经鼻手术入路可直接抵达肿瘤位置,风险较低。该病人海绵窦长在鼻腔之后距离约1cm,手术时福教授注意保护窦里的神经血管,用2小时得以暴露瘤体。颈内动脉就在这里附近,需要特别注意保护,破裂出血随时会有致命风险。
手术后较大部分的肿瘤被切除,很小部分瘤体和神经、血管、脑干等缠粘无法切除。术后病人将住院治疗8-10天。
- 文章标题:不开颅、不留疤、切大瘤——国际颅底教授福教授10个经典“内镜”案例
- 更新时间:2024-03-18 09:55:14
400-029-0925




