神经外科手术素有“刀尖上的舞蹈”之称,其难度之高,不仅需要医生具备扎实的解剖知识、高超的操作技艺,更需有无畏的胆识与缜密的判断。正所谓“没有金刚钻,不揽瓷器活”,面对复杂颅底及鞍区病变这类“硬骨头”,术者的综合素养往往是决定成败的关键。尽管现代手术设备不断革新,例如术中超声吸引器(CUSA)可精细化解肿瘤组织、减少出血、缩短手术时间,甚至能更安全地切除以往认为不可触及的肿瘤,但设备终究是工具。“无论小提琴多好,关键还要看琴手。”唯有经验丰富、技术精湛的医生,才能使先进设备真正成为挽救生命的利器。

垂体瘤手术真的“简单”吗?
虽然大多数垂体瘤属于良性,通过手术切除通常可获得良好疗效,且随着内镜技术的进步,经鼻微创手术因其无需开颅、创伤小、恢复快等优势,已成为主流治疗方式。然而,手术的“微创”不等于“无风险”,更不意味着“简单”。
例如看似便捷的经鼻内镜手术,也可能因术中操作或解剖变异,引致脑脊液漏等并发症。这样的问题并不少见,除了脑脊液漏,经鼻内镜手术的局限性,包括对正常脑组织切除的增加;易损伤颈内动脉及脑神经;术后出现脑脊液漏的风险增加;入路发病率增加以及可能伴随着切除率的下降。

这些局限性也使得内镜颅底手术的并发症逐渐增多,较为常见的是鼻分泌物过多、幻嗅或嗅觉减退、窦腔感染、鄂咽功能障碍以及鼻腔感染等——严重影响生活质量,痛苦不堪。因此,看似简单的手术其实想要获得良好预后对于术者也有着高要求。
下文将分享一例发表于《Neurosurgical Focus》的警示性案例,作为“手术并发症警示录”一期,邀请了9位神经外科医师,分享各自遭遇的“失败一课”,以期警示后来者。这是一则发生在他院的手术案例——巨大垂体腺瘤患者首次经鼻内镜手术未能全切,二次开颅手术中又意外损伤颈内动脉,最终肿瘤仍未彻底切除。为何会接连出现这些情况?又该如何避免?
点击阅读上期分享:当“良性”的脑膜瘤遇上“恶性”的结果,一台高难度开颅手术如何全身而退?

巨大垂体腺瘤手术造成颈内动脉损伤
患者为55岁女性,因视力障碍(双颞侧偏盲)就诊,MRI检查提示无功能型垂体大腺瘤。初次MRI显示鞍区2.3×2.5×3.4厘米明显强化占位,向鞍上延伸并推移视交叉。患者接受经蝶窦入路垂体腺瘤次全切除术,首次术后残留显著肿瘤。随访影像显示垂体大腺瘤体积无明显变化且仍压迫视路结构,在耳鼻喉科协助下尝试再次行内镜下经鼻蝶窦入路肿瘤切除术,但因瘢痕组织及肿瘤质地坚韧,仍有病变残留。鉴于视交叉持续受压、视觉症状持续存在且无进一步干预难以缓解,考虑再次手术进一步切除。
鉴于既往经鼻入路切除困难,选择了开颅手术以更充分地暴露并切除肿瘤。术中在使用CUSA刀进行肿瘤内部减容时,突然发生活跃性动脉出血。因为肿瘤质地高度纤维化,需要将超声吸引器的能量参数调得较高,这进一步加重了该并发症的发生。术者迅速判断出血来源——是对侧颈内动脉的内侧壁在操作中被意外损伤。
面对这一危急情况,手术团队立即用吸引器轻柔压迫出血点以控制出血、改善视野,并进一步分离暴露损伤段的颈内动脉。在临时阻断血流后,术者尝试进行血管修复。由于操作空间极为狭窄,无法进行直接缝合或使用常规血管夹,最终采用了一种补救措施:将一片超薄的专用血管补片修剪成条,环绕损伤的动脉段作为“悬吊带”,再用一个特制的动脉瘤夹将其固定,从而成功止住了出血。
术后血管造影显示,损伤动脉段有轻度狭窄,但血流通畅,未发生脑缺血。术后MRI显示鞍上肿瘤完全切除,鞍内少量残留。最终病理证实为无功能型垂体腺瘤。患者术后初期视力下降,出院时略有改善,无其他局灶性神经功能缺损。
一、出现问题的直接原因
该病例显示,在使用超声吸引器时操作超出了肿瘤包膜,导致对侧颈内动脉(ICA)受损。由于肿瘤质地高度纤维化,需要将超声吸引器的能量参数调得较高,这进一步加重了该并发症的发生。虽然此肿瘤未包裹颈内动脉,但在肿瘤包裹血管的情况下也可能发生类似并发症。
必须考虑预防此类损伤的可能性。神经导航常能在处理关键结构时为神经外科医师提供引导,尽管该案例中已使用神经导航,但硬脑膜开放前存在已知测量误差,脑脊液流出后误差可能更大。案例中对侧床突上段颈内动脉紧贴腺瘤鞍上部分,肿瘤位于其上下方。向对侧颈内动脉方向行瘤内减容时视野相对受限,因此即使神经导航有助于了解其邻近关系,在该方向切除肿瘤时仍需高度谨慎以准确定位。其他技术改进包括在早期清除同侧或近场肿瘤后再行中央区减容,此举或可提供更佳术野从而避免损伤,并在损伤后为修复提供更大操作空间。
肿瘤切除过程中血管损伤在各种手术入路中均有报道,是已知风险,尤其对邻近海绵段颈内动脉走行的鞍区病变。
二、该案例突显两个关键要点:
1)如何控制出血并确定出血来源;
2)如何进行损伤修复及可用修复方案。
清晰显露出血来源是处理肿瘤切除中血管损伤的首要步骤。术者先采用吸引器杆侧向压迫对动脉进行轻柔压迫,而非直接吸引动脉。此操作使神经外科医师得以控制出血。辅助措施包括静脉注射腺苷以改善术野显示,便于在需要时放置近远端临时阻断夹。为修复血管,需进一步分离颈内动脉并切除肿瘤,直至实现颈动脉360度显露,为放置临时阻断夹及后续修复提供操作空间。
肿瘤切除中发生血管损伤时,存在多种修复方案。首先,神经外科医师可采用显微缝合进行直接手术修复,但损伤特征、位置及可用操作空间可能限制此方案实施。该案例因操作空间及颈内动脉显露范围过窄,无法置入必要器械进行显微缝合,故无法实施直接手术修复。其次,可考虑使用动脉瘤环绕夹,但该夹体积相对较大,在狭窄手术通道或血管周向显露不足时使用受限。因此该案例亦无法实施此方案。
本病例中采用了第三种方案:使用超薄颈动脉补片制作悬吊带,以90度永久动脉瘤夹固定。此技术要求悬吊材料具备薄而柔韧、坚固且不可渗透的特性。需准确评估并修剪悬吊带尺寸与长度,使其完全覆盖动脉切口,并提供足够长度以牢固固定并稳妥放置动脉瘤夹。需注意将悬吊带绕过颈内动脉另一侧并包裹血管时,应避免过度缩窄颈内动脉导致显著狭窄。
需特别指出,若血管损伤范围更大导致出血无法控制且难以修复,术者需做好最坏情况准备,包括可能的手术或血管内牺牲血管方案。预防此类损伤始终是首要目标,但若发生血管损伤,神经外科医师必须迅速识别,并储备完备的血管修复技术以实施及时有效的修复。
INC福洛里希教授垂体瘤案例分享
除了上述的问题,垂体腺瘤的复发也是一个困难的临床问题,因此,垂体瘤的手术目标是尽最大限度地切除肿瘤,尽最大限度地保留功能。
因此,鼻内镜手术对于神经外科医生的要求是极高的,在保留内镜微创的优势下全切病变,且不对患者造成额外的伤害,才能称之为真正的微创手术。
INC福洛里希教授认为经鼻内镜手术应该是这样的——利用鼻腔的天然优势,在鼻腔内创造出开放的空间。最终目标是回归内镜的真正意义,即通过导航进入正常腔体而不干扰它,将外科医生的眼睛带到病变前。
他将“为了患者而战”这个理念贯穿到每一位患者的治疗细节中,为不同的患者量身定制个体化治疗方案,尤为擅长通过神经内镜和显微镜“双镜联合”手术来治疗颅底疑难肿瘤。
此外,凭借着创造力和多年实践的结果,福洛里希教授独创神经内镜“筷子手法”,选择不同角度的手术器械,充分利用自然空腔并保留解剖结构——降低手术并发症和后遗症、提高切除率的同时降低复发风险。
INC福洛里希教授垂体瘤案例分享
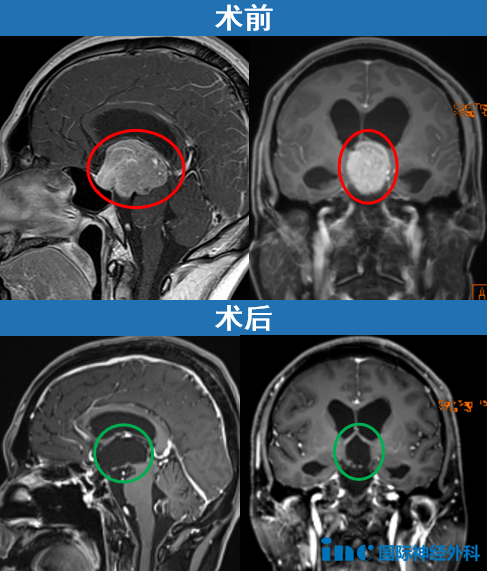
2025年6月,35岁的江先生发现鞍区及鞍上的巨大垂体瘤引发阻塞性脑积水。巨大肿瘤早已压迫到脑干、第三脑室及导水管。“手术风险太大,难度这么高,你们还是去其他地方看看吧……”
不放弃之下,他们迎来转机。没有开颅,INC福教授在北京天坛医院最终通过经鼻内镜手术成功切除了这个巨大的垂体瘤。

2个月后,他已逐渐回归正常生活。“现在挺好的,一切都好,所以非常感谢福教授!”随访视频中,江先生一家幸福美满,脸上洋溢着幸福。
点击阅读:【福教授案例】“你可以去打球了!”中年遭遇巨大垂体瘤,在天坛医院不开颅成功“挖”瘤
- 文章标题:2次经鼻内镜无法全切,开颅又伤重要血管,这个良性脑瘤为何让她屡陷险境?
- 更新时间:2026-01-07 10:28:34
400-029-0925




