您是否遇到过:
眼球像被"卡住"一样无法左右转动?
眼前物体莫名其妙变成"双份"?
甚至因为视物重影导致头晕目眩、走路不稳?
这些看似眼科的奇怪症状,很可能暗藏致命危机——颅底肿瘤!
同是颅底肿瘤,类似的症状。
48岁的李女士罹患广泛侵袭的斜坡脊索瘤,肿瘤已侵犯海绵窦、颈静脉孔等关键部位。更棘手的是57岁的Roger,在外院活检时意外损伤血管导致持续鼻出血,肿瘤又压迫脑干风险大。
INC福教授团队采用经鼻内镜技术,仅通过单侧鼻孔就完成了肿瘤全切。手术中运用独创的"筷子技术",单手精准操控内镜和手术器械,在保护正常组织的同时清除肿瘤。术后MRI证实肿瘤完全切除,两位患者均未出现脑脊液漏等并发症,Roger的顽固性鼻出血也完全消失。

01. 巨大斜坡脊索瘤,从一个鼻孔进去就解决问题
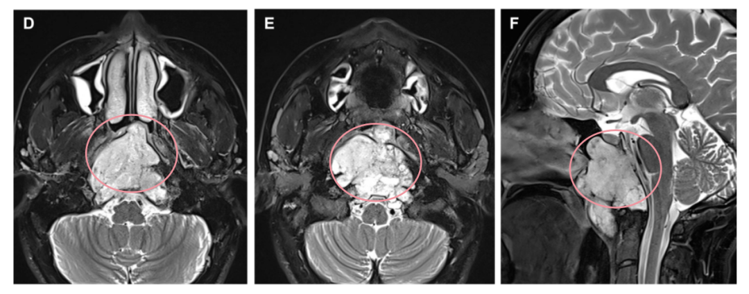
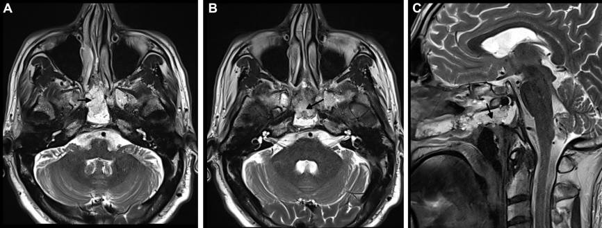
一位48岁的女士确诊为斜坡脊索瘤,外展神经麻痹,看东西时常常出现斜视和复视,因为复视走路也不稳……肿瘤侵袭广泛,已经延伸到了岩尖、海绵窦、颈静脉孔等部位,直至硬膜内。位置深,侵袭范围广,安全全切不易。

没想到这种复杂的情况,福教授并没有开颅,而是经鼻内镜手术。福教授不仅需要尽力全切肿瘤,还要进行颅底重建以避免脑脊液漏。为了减少经鼻内镜手术和颅底重建技术的并发症风险,需要一种新的手术替代策略,以尽量减少正常组织的切除,而福教授的鼻粘膜修复技术能够很好地适用于该患者。
在成功切除肿瘤后,福教授开始颅底重建。简单来说,就是在瘤腔和蝶窦内放置脂肪移植物,再将切口与左鼻中隔粘膜缝合。如果把鼻腔比喻成一条过道,鼻窦就是这条过道两侧的房间,鼻腔和鼻窦的内表面铺着同一层“地毯”,也就是鼻黏膜。当打开其中一个房间——蝶窦之后,鼻粘膜就成为了一道接近肿瘤的生理屏障,在手术开始时切开,在手术结束时必须缝上,否则就会导致脑脊液漏。
最终手术顺利完成,术后 MRI 证实肿瘤被完全切除(箭头所指为填充的脂肪),同时鼻窝保持完整。在2个月的随访中,内镜检查没有发现结痂,患者也没有抱怨任何鼻腔不适。

02. 经鼻活检损伤血管,再次手术还能成功吗?
57岁的Roger怎么也没想到经鼻活检也会引发大问题……
确诊斜坡脊索瘤后,在当地医院进行活检手术时意外损伤鼻中隔动脉,引发持续性鼻出血。未切除的肿瘤持续压迫脑干等重要结构,单是活检手术就造成血管损伤,若需进一步实施肿瘤切除手术,治疗难度大大增加。面对如此棘手的病情,Roger能否获得成功救治?

Roger鼻腔持续出血污染了手术视野,大幅增加误伤神经血管的风险;受损血管的修复也成为亟待解决的重要问题。较大的穿孔已破坏局部黏膜血供,导致使用黏膜瓣的传统修复方案不可行。
但Roger始终希望寻找创伤更小的治疗方式,既要充分暴露斜坡肿瘤,又要避免鼻中隔穿孔和受损血管,这对主刀医生的能力提出极高要求。
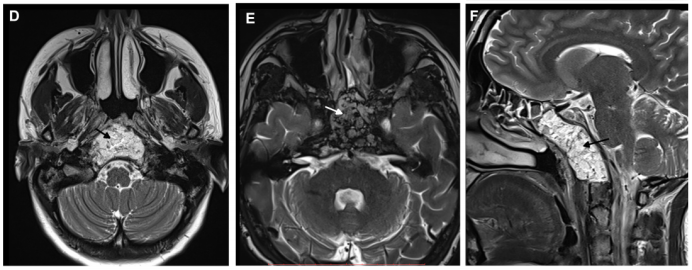
通过单鼻孔入路,福教授为Roger成功完成了手术,术后MRI显示肿瘤被完全切除。术中同样采用了鼻粘膜修复技术,保证了术后的生活质量。
恢复期间,Roger也没有感到鼻部不适。术后2个月随访时,检查显示他鼻窦上方的黏膜转变成健康的粉红色——受损的鼻中隔恢复了正常,顽固性鼻出血症状也完全消失。

术后MRI影像明确肿瘤全切情况,以及用于重建的自体脂肪
03. 经鼻内镜手术弊端,如何才能做到真正的“微创”?
经鼻内镜有何优势?
首先是在解剖上的优势,就是说我们经鼻内镜的真正的好处,我们利用了天然腔道以及角度,可以对各个直视下看不到的角度进行观察,但是采用经鼻内镜的时候可能会损伤一些拐弯的位置,所以一定要尽量去做到微创化。看似简单的手术,对于主刀也有着极高的技术要求。
然而,现实中部分患者由于手术中的组织损伤、术后炎症反应,或是个人体质差异,术后可能会出现所谓的“鼻术后综合征”。这一系列症状可能会导致患者感到明显不适,严重时还会对他们的日常生活质量造成影响。
- 1)鼻腔干燥。这种情况通常是由于鼻黏膜受损,鼻腔无法保持正常湿润状态,因此患者会感到鼻腔持续干燥、有灼热感,并可能出现结痂现象。
- 2)空鼻综合征(Empty Nose Syndrome, ENS)。由于鼻甲过度切除,导致气流在鼻腔内的分布不均。因此,即便鼻腔通畅,患者仍会感到呼吸困难,并可能伴随有干燥感等不适症状。
- 3)嗅觉减退或丧失。这种情况可能是由于手术过程中对嗅觉神经的损伤或鼻粘膜的水肿所导致。
- 4)鼻腔堵塞。因术后粘膜的水肿、炎症反应或粘连,可能导致患者感到鼻塞,这种症状可能会随时间的推移而有所变化。
- 5)面部或头部疼痛。这种疼痛可能是由于术后炎症、感染或神经损伤所导致,表现为鼻区、前额或眼周区域的酸痛和胀痛。
- 6)脑脊液泄漏(CSF Leak)。若手术过程中不小心损伤到颅底硬脑膜,便可能导致这一症状,进而提升颅内感染(例如脑膜炎)的发生风险。
- 7)感染。在手术伤口愈合阶段,患者鼻腔内的血管较为脆弱,容易受到感染。具体表现为鼻腔内出现轻微出血、血性分泌物,或是持续分泌的黄绿色脓液。情况严重时,可能会发展为鼻窦炎、脑膜炎、颅内脓肿等。
▼并发症发生的原因:鼻黏膜的损伤、鼻黏膜的过度切除及骨和软骨的暴露,术中过多的电凝操作,正常组织切除过多,以及鼻腔内部的气流的循环障碍,那么它的恢复过程当中是由外周向中间恢复。

对于这些潜在的问题,福教授又是如何去应对,他是如何进行手术的?以下内容来源于福教授分享:

▼下图为一个我常用的概念图,这个门类似蝶窦前壁,是我们想打开的位置,我们想进入蝶窦腔。

▼那么当我们进入蝶窦腔以后,我们就可以根据肿瘤的位置选择不同角度的一些角度镜。

我们想要去保留这个通道去保护这个鼻旁窦。那么最常用的是30度镜,45度和70度也用过,我从来没用过0度镜。对我来说内镜手术那就是用来看直视下看不到的位置,所以没有必要用0度镜。

福教授的“筷子技术chopsticks technique”,可以让术者同时操作“内镜、吸引器、第三个器械”,做到“人镜合一”。福教授也对于“筷子技术”做出了相关阐释。
采用“筷子技术”,也就是说没有扶镜助手,扶镜助手需要一个空间站着,而且他有可能跟主刀医生的手相碰,可能会影响手术操作。用“筷子技术”的时候,术者可以自己去控制这些设备,也可以根据自己的要求去控制内镜的远近。

▼其实在操作的时候空间越小,操作起来越容易。

▼持镜和吸引器的方式

▼有的时候把吸引器稍稍去把头部握一下,就像一个钩子一样。这个时候我们就可以去斜坡背面去吸,具有很多优势。

▼举例说明:操作时,移动非常精确的,实际上我并不是在用双手操作。那么我虽然不能用双手操作,但是我另一侧是稳定的。

▼下图可以看到这是一个70度镜,这个角度可以进入很深的位置,可以在梅克尔腔下面去吸除肿瘤,从这个位置可以向外侧去,这是一个很好的选择。

▼但是这个办法它需要更多鼻粘膜切除,是一个更加激进的入路。所以我们会去采用一些有角度的工具,耳鼻喉科医生所用的一些工具,就是专门用于拐弯部位的一些这些工具。

在采用粘膜瓣去修复的时候,关的时候往往会造成很多的问题,所以尝试去避免鼻粘膜瓣的修复。使用“筷子技术”时我们去打开的时候,就尽量去保留原来的膜瓣。
▼当从蝶窦下边去走的时候,蝶窦应该这是我们推向各个方向的总的枢纽。所以从两侧去拨开粘膜瓣,去广泛的去打开这个蝶窦。切除肿瘤之后,再去重建蝶窦部分的颅底,塞进去一些脂肪组织。

▼可能看到粘膜切除的位置,我们直接缝合,那么一直去保持端对端的去缝合鼻黏膜。

- 文章标题:“脑瘤一定要开颅?”其实...这类颅底肿瘤从鼻子就能切除!
- 更新时间:2025-08-11 13:38:38
400-029-0925



