随着神经内镜技术的不断进步,如今神经外科医生能够通过鼻腔或锁孔大小的通道进行手术治疗。相较于传统的颅底外科手术,内镜颅底外科手术通过利用颅底的自然间隙来显露和切除肿瘤,展现了其微创、无需开颅、无需牵拉脑组织等显著优势。
目前,经鼻内镜颅底外科技术已经成为处理颅底中央区域肿瘤,如垂体瘤、脊索瘤等的主要手段。随着对内镜颅底解剖的深入研究和技术的发展,近年来,针对颅底旁中央区域病变,内镜颅底外科手术也受到了越来越多的重视,并且取得了令人满意的治疗效果。
当然,经鼻内镜技术的发展离不开众多优秀的神经外科医生的探索与努力。INC国际神经外科医生集团旗下世界神经外科顾问团(WANG)成员、世界神经外科联合会(WFNS)颅底手术委员会前主席Sebastien Froelich教授(塞巴斯蒂安·福洛里希教授,福教授)即是其中的佼佼者。多年来,他专注于颅底手术领域,巧妙地将显微镜与内镜这两种技术——“双镜联合”——应用于这一既复杂又神秘的手术区域,在治疗脊索瘤、脑膜瘤、垂体瘤、颅咽管瘤等领域积累了丰富的临床经验。
然而,经鼻神经内镜手术也存在许多常见的并发症:脑脊液鼻漏、颅内感染、水电解质紊乱、垂体功能低下、下丘脑功能损伤、鼻出血、鼻腔炎症等,因此丰富的手术经验、周全有效的术后管理非常重要。此外,在肿瘤主体位于外侧时,经鼻神经内镜手术可能会遇到暴露不佳,导致肿瘤切除不彻底、脑组织压迫明显及相关神经损伤等。面对内镜经鼻入路的这些潜在并发症,INC国际福教授这位神经内镜大咖又是如何应对的呢?他有三大秘诀,本文将为读者一一介绍。
秘诀一:“筷子技术”
在经鼻内镜手术中,经常双人三手或双人四手协作完成手术是常见做法。大多数医生习惯用左手握持内镜,右手操控手术器械,这一过程中往往需要助手的配合来控制吸引器或内镜。由于鼻腔空间有限,助手如果操作不够熟练或与术者配合不够默契,可能会导致手术器械在狭窄的鼻腔内相互干扰。
针对这一问题,福教授提出了“筷子技术”(Chopsticks technique),此技术允许术者一人同时控制内镜、吸引器和第三个手术器械,实现“人镜合一”的高效操作。通过这种技术,术者能够灵活地旋转吸引器,不仅优化了手术流程,还减少了因助手操作不当引起的潜在风险。福教授强调,内镜手术应当尽可能利用自然空间,并保持解剖结构的完整性,而“筷子技术”正是贯彻这一理念的有效手段。
福教授在他的论文《The Chopsticks Technique for Endoscopic Endonasal Surgerye Improving Surgical Efficiency and Reducing the Surgical Footprint》中详细介绍了“筷子技术”的技术要点。

福教授发表于SCIE杂志《World Neurosurgery》(《世界神经外科学》)上的论文:“The Chopsticks Technique for Endoscopic Endonasal Surgery-Improving Surgical Efficiency and Reducing the Surgical Footprint”(内镜经鼻入路手术中的“筷子技术”——提高手术效率,减少手术创伤)
技术要点一握持方法
首先把神经内镜夹在左手拇指和手掌之间,小指弯曲握住内镜,这样就可以牢固的固定内镜。在需要的时候,用右手将吸引器置入鼻腔,然后用左手拇指与食指、中指接住吸引管,而拇指与食指、中指之间的轻微扭动可以使吸引管在任意方位短距离活动。

通过“筷子技术”,医生可以在保持内镜稳定的情况下,灵活地调整吸引管或其他器械的位置,从而更准确地完成吸血或手术操作。右手则同时操作另一件器械,使得鼻腔内有两件器械在同步工作。
技术要点二使用特定吸引器类型
不要使用笔直的吸引器,不要使用带很大侧孔的吸引器。将吸引器的侧孔缩小或堵住,因为使用筷子技术的时候无法用左手来控制吸引器的侧孔。吸引器头端最好在使用之前弯成“鹅颈”状(见下图,头端弯曲的角度视术中情况而定)。

我们只需要用左手手指轻轻捻动吸引器,吸引器头端就可以在鼻腔内达到360°范围的活动度(下图),甚至还可以利用左手拇指、食指、中指将吸引器进行前后方向的轻微移动。


秘诀二:角度镜及仪器
在那些手术通道极为狭窄的病例中,医师们需要有角度的弯曲的仪器,这些器械能够通过旋转和调整角度,从侧面巧妙地深入到手术区域的隐蔽处。福教授及其团队在这一领域进行了深入的研究和实践,他们运用了30度、45度乃至70度等不同角度的内镜,以适应各种复杂解剖结构下的手术需求。这些有角度的内镜使得手术医师能够更加精确地观察和操作,从而在保护重要神经和血管的同时,实现肿瘤的精准切除。
目前,INC国际教授福洛里希团队正致力于进一步开发和完善这些有角度的手术器械,这些创新工具对于提高手术的精确度和安全性具有十分重要的作用。这些创新器械增加了手术入路的选择,为患者提供了个性化的微创治疗方案。它们使医师能灵活调整视角,清晰地观察手术区域,从而在切除肿瘤时更加精确,减少对周围健康组织的损伤,保护手术路径上的重要结构。


秘诀三:鼻黏膜修复颅底重建技术
为减少扩展内镜鼻内入路(Extended endoscopic endonasal approaches,EEAs)及其闭合技术的相关并发症,福教授提出了一种新型靶向入路和颅底重建策略,从而最小化正常组织的切除并减轻鼻中隔瓣(NSF)的使用。
他将经颅入路中皮肤切开和切口缝合的概念应用于经鼻内镜入路。在蝶窦打开后,鼻腔粘膜成为生理屏障,在手术开始时切开,在手术结束时需缝合鼻腔黏膜,以防止脑脊液漏。该技术代表了传统重建技术的一种替代方法,随着手术设备和术中可视化器械的进一步发展,该技术可能成为颅底肿瘤切除和重建的一种有价值的策略。

福教授发表于神外专业杂志《Operative Neurosurgery》上的论文:“The Rostral Mucosa:The Door to Open and Close for Targeted Endoscopic Endonasal Approaches to the Clivus”(额窦黏膜:颅底斜坡病变经鼻内镜手术入路“开关”之门)
福教授手术案例分享
40岁脊索瘤患者
一名40岁男性脊索瘤患者,神经系统检查正常,既往无病史,颈痛病史2年。福教授为其经鼻神经内镜全切除后,无神经功能缺损,无肿瘤残余,无其他并发症,这对于术后长期生存效果有极大意义。目前,他正在接受后续的质子放疗。

术前术后影像资料对比。术前(红色箭头):图A、B显示了下斜坡及齿状突可见中线占位病变,影像学表现为脊索瘤侧伸有限。术后(蓝色箭头):图C、D显示了用于闭合瘤腔的脂肪移植物,没有肿瘤残留。术后MRI显示完成了肿瘤全切除。术后患者无神经功能缺损。病理检查显示为典型脊索瘤。
术中通过磁共振成像(MRI)监测术后神经功能缺损和术后肿瘤体积。在鼻内镜下以30度和45度角行双鼻孔入路。随后,制作一个心形皮瓣,钻取斜坡以暴露病变(图2)。在初始减压后,轻轻钻取C1环以到达齿状突内及周围的肿瘤,并进行完全切除。

内镜鼻内入路手术技术示意图。(A)显示手术路径(蓝色箭头),以及在鼻咽上部(蓝月牙)形成的心形皮瓣的位置。这张图强调了需要有角度的内窥镜进行更好的术中视野暴露(黄色半透明三角形)(B)为轴向视图,(C)显示了为获得心形皮瓣而进行的切口的术中内窥镜视图,如本例中所用,(D)为冠状视图。(B和D)显示了术后图像分析的结果,在此过程中,Froelich教授对进行骨磨除的部位进行了分段(蓝色),并将其投影到患者的术前CT扫描上。注意,除了下斜坡外,C1环的上部分也被轻微钻孔以到达齿状突的肿瘤。
48岁脊索瘤患者
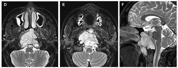
一名48岁的女性因右侧第六神经麻痹前来就诊。MRI显示一个大型斜坡脊索瘤,延伸至颞骨岩部、海绵窦、关节突和颈静脉孔、蝶筛隐窝以及咽后空间,疑似有硬脊膜内成分。

从蝶筛水平到蝶腭弓处,对右侧鼻中隔黏膜进行垂直切口,广泛开放蝶窦。进一步磨除斜坡骨质,暴露肿瘤下部。使用30°、45°和70°角度内镜以及弯曲和可塑型手术器械切除肿瘤。
术后MRI确认了肿瘤的完全切除。在2个月的随访中,内镜检查未发现结痂,患者也未抱怨有任何鼻部不适。

57岁脊索瘤患者
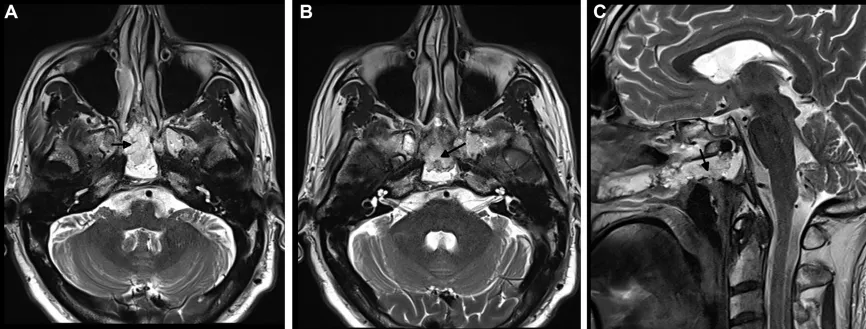
一名57岁的男性患者,因出现第Ⅵ对颅神经(外展神经)麻痹相关症状而前往医院就诊。经过检查,他的症状是由斜坡肿瘤引起。在当地,他接受了斜坡病变的活检手术,术后病理结果确认为脊索瘤。然而,在进行了活检手术后,该患者出现反复鼻出血,而当地医疗未能及时确定出血的原因,后转院至法国巴黎Lariboisiere大学医院向福教授寻求治疗。
该患者的磁共振成像(MRI)结果显示,他的病变位于斜坡的上部和中部,同时存在一个较大的鼻中隔穿孔,提示在之前的内镜活检过程可能已经损伤了鼻中隔动脉,从而导致他持续地鼻出血,极大地影响了日常生活质量。经过对患者的全面检查和评估,福教授认为应当进行肿瘤切除以及血管修复手术。

针对该患者的情况,福教授采取了一种改良手术入路策略——神经内镜扩大经鼻入路:通过右侧单鼻孔入路到达斜坡,切开蝶骨嘴黏膜,磨钻磨除蝶骨嘴和蝶窦(SS)下方的斜坡以到达肿瘤,并在重建结束时缝合黏膜切口(类型I)。

单侧蝶骨嘴黏膜切口及使用类型I和II技术的缝合过程示意图
术后MRI显示肿瘤被完全切除,手术顺利。患者术后恢复顺利,期间没有鼻部不适。在2个月随访时,内镜检查显示鼻窦上方由术前的白色粘膜转变成健康的粉红色黏膜,恢复正常。

术后MRI影像明确肿瘤全切情况,以及用于重建的自体脂肪
Sebastien Froelich教授(福教授)

世界神经外科联合会(WFNS)颅底手术委员会前主席
法国巴黎Lariboisiere大学医院神经外科教授兼主席(2013年至今)
巴黎狄德罗大学医学院神经外科教授(2011年至今)
斯特拉斯堡大学医学院神经外科教授(2008年-2011年)
欧洲颅底学会执行委员会成员
法国斯特拉斯堡IRCAD Neuro-ENT-Skull基础课程主任
台湾IRCAD神经-ENT-Skull基础课程主任
- 文章标题:鼻内镜手术后出血、脑脊液漏…筷子技术大咖福教授三大应对秘诀!
- 更新时间:2024-12-11 17:27:48
400-029-0925




