引言
经鼻内镜手术体表可以不见切口,但术后却常常长期逃不出两大并发症:鼻窦损伤和脑脊液漏。
医生对于患者手术、放疗计划,要有针对患者的个体化的治疗策略。要重新再强调一下内镜手术的真谛,尽可能不去切除更多的正常组织,切除过多正常的组织是有误的。
当然对于脊索瘤来说,全切肿瘤依然是手术的首要目标,在患者一次治疗是重要的,如果你去做脊索瘤手术,颅底的技术是重要的,能够增加患者全切率。全切代表了较重要的预后因素,并且不应该以不完全切除为代价来降低入路的侵入性。点击阅读脊索瘤经典案例交流:福教授脊索瘤手术精选13例——国际上如何尽全切、尽力避免复发?
——INC福教授关于内镜手术真谛解读
近20年来
神经内镜下经鼻切除颅底肿瘤手术
有了突飞猛进的发展
但——
如何在尽可能全切肿瘤的同时
又做到可靠的术中颅底重建
从而降低硬脑膜缺损
导致的脑脊液漏
导致的颅内感染风险
降低鼻窦并发症风险
仍是经鼻颅底手术技术的重点及难点。
▼中国示范手术中福教授使用神经内镜为一名脊索瘤患者进行手术图片

此外,不仅在硬膜内肿瘤或脑脊液瘘的情况下,而且在扩大入路时暴露的神经血管结构也需要重建。到目前为止,已经描述了许多重建技术,主要基于与脂肪或阔筋膜相关的鼻中隔皮瓣(NSF)的使用。NSF代表了的内镜经鼻入路一次革命,降低了CSF泄漏的风险。
然而,NSF颅底重建技术也有其自身的并发症风险,如鼻结痂、幻嗅和嗅觉受损等,主要发生在手术后的前3至6个月。此外,在肿瘤浸润或进行过手术或活检的肿瘤中,NSF通常不可用。在这种情况下,如果需要更复杂的鼻窦重建手术(下鼻甲瓣、颞筋膜瓣等),患者鼻窦功能受损可导致术后生活质量甚至会进一步降低。

因此,在这些不同情况下,为了减少EEAs经鼻内镜和颅底重建技术的并发症风险,需要研究新的手术替代策略,以尽量减少正常组织的切除,并提供替代NSF重建颅底的使用。因此,更有针对性的微创策略被发明用来减少进入鼻腔时正常组织的切除。然而,未来的改进还需要开发专用仪器和新的可视化工具,目标是回归内镜的含义,即通过导航进入正常腔体而不干扰它,将外科医生的眼睛带到病变前。
福教授团队创新内镜手术技术及颅底重建技术发表
在《The Rostral Mucosa:The Door to Open and Close for Targeted Endoscopic Endonasal Approaches to the Clivus》论文中,INC国际福教授团队提出了一种新的有针对性的内镜手术技术和颅底重建策略,将经颅入路皮肤切开和切口缝合的经典概念应用于经鼻内镜手术EEA。蝶窦打开后,鼻腔粘膜成为生理屏障,在手术开始时切开,在手术结束时需缝合鼻腔黏膜,以防止脑脊液漏。该技术代表了传统重建技术的一种替代方法,随着手术设备和术中可视化器械的进一步发展,它可能成为未来颅底肿瘤切除和颅底重建的一种有价值的策略。
福教授团队提出的EEA手术颅底重建鼻粘膜修复技术:单侧鼻中隔粘膜缝合技术
三种不同类型的粘膜切口类型
福教授团队根据肿瘤的位置和解剖结构,确定了3种不同类型的鼻粘膜手术切口和切口缝合:
·在I型中,鼻粘膜在鼻窦的右侧或左侧切开,并用连续缝合。
福教授团队提出的EEA手术颅底重建鼻粘膜修复技术:I型缝合技术。
·在II型中,切口的一侧边缘缝合到对鼻中隔粘膜上,而不是另一侧边缘。上述病例采用了这种方法,因为粘膜切口边缘的缩回不允许紧密缝合。
福教授团队提出的EEA手术颅底重建鼻粘膜修复技术:II型缝合技术。
·在III型中,在鼻中隔然后方两侧的鼻中隔粘膜上做垂直切口。在手术结束时,将切口的两个后边缘缝合在一起。
福教授团队提出的EEA手术颅底重建鼻粘膜修复技术:III型缝合技术。
国际脊索瘤教授福教授
斜坡脊索瘤经鼻全切并鼻粘膜缝合创新颅底重建技术
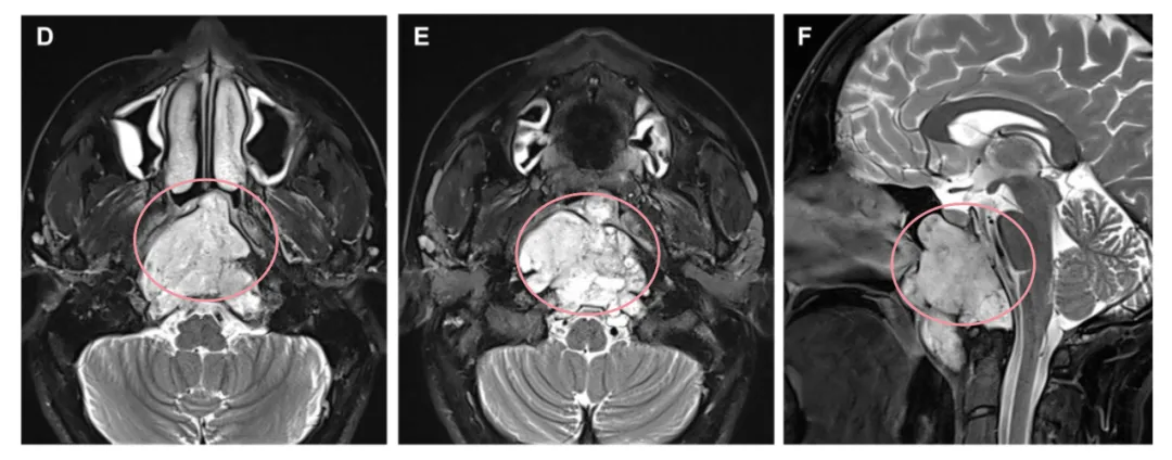
一名48岁女士因右侧展神经麻痹来到福教授所在科室就诊。术前MRI显示一个大的斜坡脊索瘤,延伸到岩尖、海绵窦、髁突和颈静脉孔、蝶窦和咽后间隙,侵犯至硬膜内(图1D-1F)。
▼D、E术前轴向和F矢状t2加权MRI

从右侧蝶窦水平到鼻后孔垂直切开鼻腔粘膜,鼻腔粘膜部分分离,打开蝶窦。进一步磨骨暴露斜坡,并显露肿瘤的侧下部分。根据术中肿瘤、术野情况,使用角度为30°、45°和70°的内镜以及弯曲和可弯曲的器械切除肿瘤。肿瘤切除后,切除浸润的蝶窦粘膜。
然后开始颅底重建,在瘤腔内和蝶窦内放置脂肪移植物。由于切口边缘有的缩回,无法进行水密缝合,因此将切口右侧边缘与左鼻中隔粘膜缝合(粘膜II型缝合技术)。
定位识别蝶窦,并用手术纤维胶覆盖。
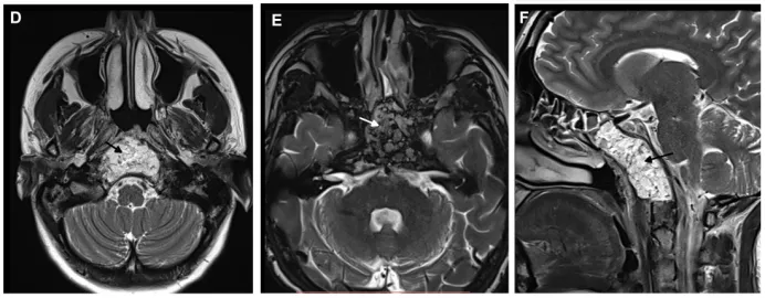
术后MRI证实肿瘤完全切除。在2个月的随访中,内镜检查没有发现结痂,患者也没有抱怨任何鼻腔不适。
▼术后MRI显示肿瘤全切,鼻窝完整。箭头所指为术后用于填充残腔的脂肪。

世神经内镜手术教授
经鼻内镜如何将“医生的眼睛带到病变前”?
如何做到的微创化?
经鼻内镜是一个很有优势的入路,可以切除很多角度的肿瘤,但是要小心颈动脉、颅神经、脑脊液漏。如果单独看斜坡脊索瘤,它的脑积液发生率还是常见的。
▼经鼻内镜入路局限性

▼经鼻内镜入路并发症风险

关于并发症的发生率,较多见的是鼻分泌物过多,以及幻嗅或者说是嗅觉减退。窦腔感染、鄂咽功能障碍以及鼻腔的感染等。
▼并发症发生的原因:鼻黏膜的损伤、鼻黏膜的过度切除及骨和软骨的暴露,术中过多的电凝操作,正常组织切除过多,以及鼻腔内部的气流的循环障碍,那么它的恢复过程当中是由外周向中间恢复。

经鼻内镜的价值如何?
首先是在解剖上的优势,就是说我们经鼻内镜的的好处,我们利用了天然腔道以及角度,可以对各个直视下看不到的角度进行观察,但是采用经鼻内镜的时候可能会损伤一些拐弯的位置,所以要尽量去做到微创化。
▼下图为一个我常用的概念图,这个门类似蝶窦前壁,是我们想打开的位置,我们想进入蝶窦腔。

▼那么当我们进入蝶窦腔以后,我们就可以可以根据肿瘤的位置选择不同角度的一些角度镜。

我们想要去保留这个通道去保护这个鼻旁窦。那么较常用的是30度镜,45度和70度也用过,我从来没用过0度镜。对我来说内镜手术那就是用来看直视下看不到的位置,所以没有必要用0度镜。

福教授发明的“筷子技术chopsticks technique”,可以让术者同时操作“内镜、吸引器、三个器械”,做到“人镜合一”。福教授也对于“筷子技术”做出了相关阐释。
采用“筷子技术”,也就是说没有扶镜助手,扶镜助手需要一个空间站着,而且他有可能跟主刀医生的手相碰,可能会影响手术操作。用“筷子技术”的时候,术者可以自己去控制这些设备,也可以根据自己的要求去控制内镜的远近。

▼其实在操作的时候空间越小,操作起来越容易。

▼持镜和吸引器的方式

▼有的时候把吸引器稍稍去把头部握一下,就像一个钩子一样。这个时候我们就可以去斜坡背面去吸,具有很多优势。

▼举例说明:操作时,移动精确的,实际上我并不是在用双手操作。那么我虽然不能用双手操作,但是我另一侧是稳定的。

▼下图可以看到这是一个70度镜,这个角度可以进入很深的位置,可以在梅克尔腔下面去吸除肿瘤,从这个位置可以向外侧去,这是一个很好的选择。

但是这个办法它需要更多鼻粘膜切除,是一个更加激进的入路。所以我们会去采用一些有角度的工具,耳鼻喉科医生所用的一些工具,就是专门用于拐弯部位的一些这些工具。
▼在采用粘膜瓣去修复的时候,关的时候往往会造成很多的问题,所以尝试去避免鼻粘膜瓣的修复。使用“筷子技术”时我们去打开的时候,就尽量去保留原来的膜瓣。

当从蝶窦下边去走的时候,蝶窦应该这是我们推向各个方向的总的枢纽。所以从两侧去拨开粘膜瓣,去广泛的去打开这个蝶窦。切除肿瘤之后,再去重建蝶窦部分的颅底,塞进去一些脂肪组织。
总结
使用内镜并不是表示就完全是微创,如何采用内镜去做一个扩展入路;在扩展入路的时候又如何去做到微创,如何让患者的生存期更长。如何在长期的实践当中能够让内镜的手术、扩展入路的手术能够的微创,这是重要的一个信息传递给大家,不要觉得应用内镜就微创了,问题在于在内镜下是如何对待组织的,是如何对待解剖结构的,是如何使用自己的理念。
- 文章标题:内镜术后脑脊液漏、鼻窦损伤痛苦难治?INC福教授创新颅底重建技术研究发表
- 更新时间:2024-05-06 14:09:54
400-029-0925




