瘤子长在脑壳里,手术却从鼻子里去做?

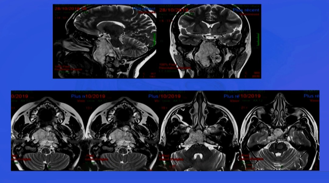
图示为内镜经鼻入路切除脊索瘤
谈起脑瘤,大家总会联想到开颅手术,不由心生恐惧。其实,并不是全部的脑瘤都需开颅,随着神经内镜技术的发展,不开颅,借“道”鼻腔或锁孔部分,脑瘤也能手术治疗。
不开颅就把大手术做了
从鼻子切脑子里的肿瘤
这是一则复杂的脊索瘤案例,肿瘤较大,但Sébastien Froelich(福洛里希教授)认为很适合用内镜技术。因为没有颅内扩散。而且使用有角度的内窥镜,是可以通过一条很窄的通道把肿瘤拿出来。

在这种情况下,福教授决定使用单鼻孔,且不用切除中鼻甲
▼在突起的粘膜上开了个口,就是覆盖在肿瘤上的粘膜

▼从上面用45度角度镜向下看,有时候是70度

▼从肿瘤的顶部向下到下边缘,并向两侧的颈静脉方向延伸。

▼如果你有弯曲的仪器可以慢慢操作,因为脊索瘤是软的,这也是脊索瘤的特点之一。

▼可以通过一个狭窄的开口完全到达肿瘤

这个小切口有什么好处?
不需要用鼻中隔皮瓣来闭合,只需要使用脂肪来填补空腔。然后,把这个粘膜缝到对侧的粘膜上,实现了一种紧密的闭合,风险低,没有鼻中隔皮瓣造成的并发症。

因此,现在进行缝合,然后,缝合之前黏膜上的切口,达到完整的闭合。

术后一周,患者状态较好。
这是用脂肪填补空腔后的术后MRI

这么神奇?从鼻孔就能摘除脑子里的肿瘤?
单鼻孔神经内镜顺利切除较大脊索瘤
术者:INC法国Sebastien Froelich福洛里希教授

Sebastien Froelich(福洛里希)教授一直被国内外同仁誉为“国际神经内镜及颅底手术的教授”,以神经内镜技术及显微神经外科手术较为见长。他神经内镜‘筷子手法’,为国际神经内镜发展和颅底显微手术技术进步贡献卓著。福洛里希教授及其团队拥有着国际上较大的脊索瘤患者群,精钻脊索瘤等颅底复杂肿瘤20多年,至今已经拥有近300例成功脊索瘤案例,80%以上都是高难度颅底和颅颈交界脊索瘤。
福教授不仅可以为成人进行单鼻孔神经内镜手术,对于儿童颅底肿瘤患者,他也成功进行多次手术。
然而,儿童鼻内镜手术比成人更难,为何?
本身低体重的儿童内镜手术难度大,儿童鼻内空间和结构更小,福教授采用了单鼻孔手术,这些都大大增加了手术的难度。儿童鼻窦结构独特的发育特点,儿童鼻孔小,蝶窦气化程度低,鼻腔内操作空间狭小,限制了操作的自由度,所以对医生内镜下的操作要求更高,对低龄儿童进行这样的术式存在较大难度和风险,不仅临床案例少,且文献大宗病例报道也较少。
为孩子进行这一微创手术,挑战着实不小!
6岁幼龄儿童,18kg,7公分较大肿瘤,这么小体重患儿全身只有1500ml左右的血液含量,再一次手术难度较大,危险系数较高。手术中10%(150ml)的出血量,林林可能就会休克;出血量达到20%,就会危及生命。如何解决这个困境?Froelich教授决定进行单鼻孔入路神经内镜手术,采用多种角度镜,运用“筷子技术”,用仅仅8mm的创口,切除了直径达50mm的肿瘤。在减少出血点的同时,将手术风险尽可能降到较低。术中,年幼的林林鼻内空间很小,实行单鼻孔入路手术难度较大。
福教授主刀,在苏州大学附属四医院(苏州市独墅湖医院)麻醉手术科与多学科的通力合作下,手术全程患儿生命体征平稳,这场较其复杂的脊索瘤切除手术顺利完成,达到术前评估预期。术后,宁宁在麻醉手术科的护送下顺利转入重症监护室,并顺利拔除气管导管,恢复良好,神经功能取得明显好转。次全切肿瘤,术后2天转出ICU,无任何新增并发症。



哪些疾病适合神经内镜手术?
颅底手术的前提是到达颅底深的区域。为此通常有两种选择。要么创建一个大的手术通路,但会增加病人的手术风险,因为你暴露了更多的组织结构。另外则是尝试缩小手术通路,为了在内部仍然拥有良好的视野,通常可以使用内窥镜来增加手术视野。现代神经外科使得手术精确性大为提高,邻近组织的损害机会明显减少,并且进一步扩展了进入人脑的通道,将我们的视线扩大到显微镜下触难以触及的角落。
1、垂体腺瘤:鞍内为主体的垂体腺瘤,部分瘤体可自鞍内向鞍上和(或)蝶窦内生长。部分质地较软的侵袭性垂体腺瘤,以鞍上生长为主的肿瘤,在必要时可以分二期手术,先行内镜下切除,3个月后再行二期内镜或开颅手术。
2、脊索瘤:目前神经内镜应用于颅底脊索瘤的手术技术包括:经鼻腔入路,并以此为中心向周围扩展,适用于硬腭水平以上肿瘤;经口咽人路,适用于位于下斜坡、枕骨大孔、上位颈椎前方的肿瘤;内镜与显微镜结合使用,适用生长范围广泛、单一方法难以完全切除的肿瘤。
3、颅咽管瘤:随着内镜手术技术、颅底重建技术及设备的不断进步,部分颅咽管瘤也可以采用内镜经鼻手术切除。
4、颅底脑膜瘤:(1)嗅沟脑膜瘤;(2)鞍结节脑膜瘤;(3)岩斜脑膜瘤;(4)枕骨大孔脑膜瘤:
5、囊肿
6、脊柱脊髓肿瘤;腰椎间盘突出等
- 文章标题:从鼻孔就能摘除脑子里的肿瘤?
- 更新时间:2024-02-26 09:43:18
400-029-0925




