James T.Rutka(鲁特卡)教授曾任世界神经外科学院院长,目前是世界神外专业杂志《Journal of Neurosurgery》主编,30多年来深耕儿童神外研究,带领团队不断突破,从脑瘤分子分型、精准治疗、新药治疗、微创治疗,为全球神经外科疑难病患儿带来希望,他发表研究《Management and outcome of chordomas in the pediatric population:The Hospital for Sick Children experience and review of the literature》(儿童脊索瘤的管理与预后:SickKids儿童医院经验及文献综述),以下是研究简述。
01
PART
研究亮点与摘要
脊索瘤是起源于胚胎期脊索残余组织的罕见肿瘤。
1987–2015年期间共纳入10例儿童脊索瘤病例进行回顾性分析。
所有患者均接受手术切除治疗,随后接受放射治疗,在适当情况下给予化疗。
经典型(classical)病理的患者预后良好;而非典型或软骨样(chondroid)病理类型患者预后差。
脊索瘤是一种源自胚胎脊索残余组织的肿瘤,最常发生在蝶枕区、脊柱或骶尾部。在儿童中较为罕见,由于位置深、邻近重要解剖结构并易向周围组织侵及,使其治疗极具挑战性。本研究报告了SickKids儿童医院治疗的10例儿童脊索瘤病例,重点分析其手术、辅助治疗及长期预后。
本研究通过回顾性分析1987–2015年间的病例资料,包括病历档案、影像及病理切片。本研究分析的重要变量包括:患者人口学资料、肿瘤位置、临床表现、影像学特征、病理亚型、治疗方案及长期随访结果。
本组患者包括7名女孩和3名男孩,均为颅底或颈上段脊柱脊索瘤。其中1例表现为硬膜外左侧小脑桥脑角区脊索瘤,显示出高度侵袭性及去分化特点,据我们所知,文献中尚未有类似报道。所有患者均接受手术切除治疗,随后实施光子或质子放射治疗。其中4名具有软骨样或非典型病理特征的患者还接受了辅助化疗。所有经典型病理的患者均获得良好预后,而4名非典型病理患者在积极治疗下仍迅速进展,提示病理亚型是关键预后因素。本研究总结了大型学术中心在儿童脊索瘤外科与辅助治疗方面30年的经验。患者结局与病理类型高度相关,治疗应采用多学科综合策略,包括手术、放疗及个体化化疗方案。
02
PART
研究方法
利用SickKids儿童医院神经外科前瞻性维护的数据库,检索1987年1月至2015年1月期间的脊索瘤病例。回顾性分析患者病历及影像,收集以下信息:年龄、性别、既往病史、临床症状与体征、肿瘤位置、影像学特征、治疗方式及结局。本研究获得SickKids研究伦理委员会批准。
使用MEDLINE和Embase数据库以“chordoma(脊索瘤)”和“pediatric(儿童)”为检索词,筛选英文文献病例系列,相关文献与资料提取由第一及第二作者完成。


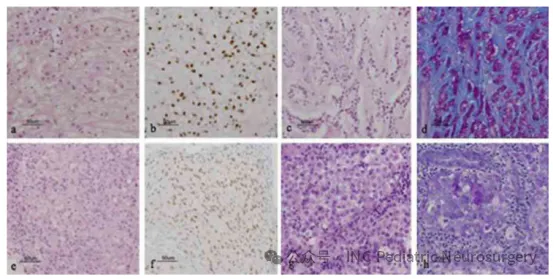
图1.部分患者的病理切片示例
(a)患者2:经典型病理,苏木精-伊红染色(H&E);
(b)患者2:Brachyury免疫组化染色;
(c)患者5:经典型病理伴软骨样特征,H&E染色;
(d)患者5:PAS-AB(过碘酸-Schiff–阿利新蓝)染色;
(e)患者6:非典型病理,H&E染色;
(f)患者6:Brachyury免疫组化染色;
(g)患者10:非典型病理,H&E染色;
(h)患者10:PAS-AB染色。
03
PART
典型病例选例
患者2
于2013年就诊,11岁,以颈部和手臂疼痛2周为主诉。MRI显示C1–C3大体积侵袭性脊索瘤,伴明显的右侧外向延伸(图2)。在外院患者接受C3–C5椎板切除术,但由于术中体感诱发电位(SSEP)信号丢失,肿瘤切除不完全且手术被迫中止。
转入SickKids儿童医院后,患者接受了右前外侧颈部入路的肿瘤切除,达到肿瘤全切(gross total resection)。病理为经典型,免疫组化结果S100、广谱细胞角蛋白(pan-CK)、CK-19、CK-8、癌胚抗原(CEA)、低分子量细胞角蛋白(LMW-K)、波形蛋白(vimentin)以及EMA均为阳性。
术后随访影像示少量右侧囊性残留,通过光子放疗70 Gy得到良好控制。手术及放疗两年后,患者出现颈椎后凸侧弯(cervical kyphoscoliosis)并伴颈部疼痛,随后接受C3–T1内固定融合术。

图2.患者2:C3–C5脊索瘤影像示例
(a)术前矢状位T1加权MRI(增强gadolinium);
(b)术前右侧旁矢状位T1加权增强MRI;
(c)术前水平位T1加权增强MRI;
(d)术后冠状位T2加权MRI,可见囊性残留(箭头);
(e)术后2年矢状位CT,可见进行性颈椎后凸侧弯(kyphoscoliosis);
(f)术后C3–T1内固定融合侧位X线片。
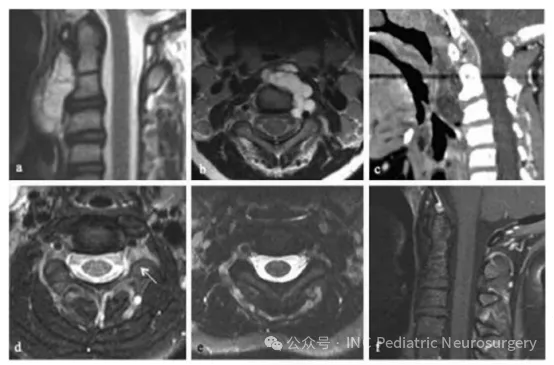
患者4
患者于2005年就诊,10岁。主诉颈部疼痛持续2年,伴反复咽喉感染及吞咽困难。检查发现C1–C3脊索瘤,并造成上气道受压(图3)。患者接受了经口活检,随后通过经口、经腭、经下颌联合入路实施肿瘤全切(gross total resection)。病理诊断为经典型脊索瘤。
术后影像显示左侧C2–C3神经孔内仍有残余病灶,经光子放疗70 Gy后控制良好。患者治疗耐受情况良好,术后10年随访无复发、无神经功能缺损,仍保持无瘤状态。

图3.患者4:C1–C3脊索瘤影像示例
(a)术前矢状位T1加权增强MRI(gadolinium);
(b)术前轴位T1加权增强MRI;
(c)术前矢状位CT;
(d)术后轴位T1加权增强MRI,可见C2–C3神经孔内小残余肿瘤(箭头);
(e)放疗后轴位T1加权增强MRI;
(f)放疗后矢状位T1加权增强MRI。
患者5
患者5于2003年就诊,11岁。主诉下位颅神经功能缺损持续2个月,伴鼻塞、斜颈(torticollis)以及右足阵挛(clonus)。影像学显示斜坡区巨大且具有破坏性的肿块,向左侧外延伸,侵及鼻咽部,并包绕左侧颈内动脉(图4)。
患者在经口活检后,接受了经口、经腭、经下颌联合入路的部分肿瘤切除手术,手术历时13小时,术后行枕骨–C3内固定融合术。病理结果显示为经典型病理,伴软骨样分化区域,MIB-1增殖指数30–50%,并p53阳性表达。
尽管进行了光子放疗,患者在诊断10个月后肿瘤进展。复发后接受5个月的Trabectedin(抗肿瘤化疗药物)治疗,但病情仍迅速进展,患者最终于诊断后15个月去世。

图4.患者5,巨大斜坡脊索瘤并脑干受压。
(a)术前矢状位T1加权MRI(增强);
(b)术前冠状位T1加权MRI(增强);
(c)术前轴位T1加权MRI(增强);
(d)术前轴位CT扫描;
(e)术后矢状位T1加权MRI(增强);
(f)术后冠状位T1加权MRI(增强);
(g)术后1年冠状位T1加权MRI(增强);
(h)术后1年矢状位T2加权MRI。
患者6
于2001年就诊,10岁,既往有8个月颈部疼痛和3周左上肢无力及感觉异常的病史。影像检查发现C1–C3段脊索瘤(Fig.5)。患者首先行经口活检/部分减压术。病理为不典型组织学类型,随后接受两疗程ICE化疗。
活检后40天,接受自后正中入路的部分切除手术,行C1–C3椎板切除及髂骨植骨融合。术后,患者进一步接受姑息性放疗(在重症监护室期间完成5次分次放疗)及27天低剂量依托泊苷化疗。
然而,肿瘤快速进展,侵犯颈椎及右侧前外方颈部软组织。确诊后4个月做出姑息治疗决策,此后不久患儿去世。

图5.患者6的C1–C3段脊索瘤
(a)术前冠状位T1加权增强MRI
(b)术前矢状位T1加权增强MRI
(c)术前轴位T1加权增强MRI
(d)术后4个月冠状位T1加权增强MRI
(e)术后4个月矢状位T1加权增强MRI
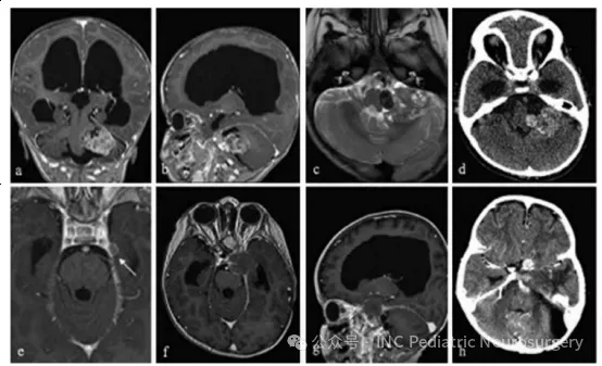
患者10
患者于2015年就诊,14个月大,主诉巨头畸形(macrocephaly)2个月、中央性肌张力低下、声音虚弱、吞咽困难,以及发育倒退。检查发现显著交通性脑积水与巨脑症,并伴有左侧小脑桥脑角(CPA)巨大异质性强化病灶,影像上可见出血伪影(blooming artifact)、液-液平面(fluid-fluid levels),并压迫脑干(图6)。
患者接受左侧后乙状窦开颅术(retrosigmoid craniectomy)。术中病理提示淋巴样细胞,术中仅能行次全切除(subtotal resection),脑干部仍有残留肿瘤。术后,患者持续存在颅神经功能缺损、吞咽困难(需行胃造口术),以及原因不明的交通性脑积水(需行脑室-腹腔分流术)。
最终固定病理结果显示非典型脊索瘤(atypical chordoma),免疫组化Brachyury、pan-CK、EMA、INl1基因产物(BAF47/INl1)均为阳性。在已报道的儿童脊索瘤病例中,她是年龄最小的患者之一,也是唯一发生在CPA的病例。
由于患儿年龄极小、肿瘤位置特殊且病理为非典型,治疗决策由多学科团队(MDT)制定。她接受了3个周期ICE化疗。虽然术后临床情况相对稳定,但随访影像显示手术部位病灶影像学进展,同时在左侧颞叶凸面出现新的硬膜基底结节性强化灶,考虑可能为脑膜播散。
此时,她接受3个月常规放疗,并对左侧CPA区域实施伽马刀强化照射。遗憾的是,肿瘤在放疗期间继续进展,MRI显示肿瘤向侧方侵入Meckel腔,并向左小脑幕后方延伸。
全外显子测序显示SMARCA4突变,随后开始Vorinostat+顺-维甲酸(cis-retinoic acid)化疗。尽管采取了积极治疗,肿瘤仍快速进展,累及左侧海绵窦、眶区及颅中窝。患者在短期姑息治疗后去世,距首次诊断约1年。

图6.患者10的左桥小脑角区脊索瘤影像学随访资料。(a)术前轴位T1加权钆增强MRI;(b)术前矢状位T1加权钆增强MRI;(c)术前轴位T2加权MRI;(d)术前轴位CT扫描;(e)术后5个月轴位T1加权钆增强MRI,显示左颞部新发硬膜病变(箭头);(f)术后9个月轴位T1加权钆增强MRI;(g)术后9个月矢状位T1加权钆增强MRI;(h)术后12个月轴位CT扫描。
04
PART
研究结论
脊索瘤是一类起源于脊索残余的异质性肿瘤,其解剖位置和组织病理学特征各不相同。本系列报告了1987–2015年期间在SickKids儿童医院治疗的10例颅底及上颈段脊索瘤患者,年龄范围从14个月至13岁。符合当前治疗模式,所有患者均接受最大安全范围的手术切除,随后进行放疗及个体化化疗。
组织病理学类型是最关键的预后因素;4例非典型或软骨样病理患者在随访4–38个月期间均死亡。长期神经功能缺损则取决于疾病范围、手术方式及局部放疗的综合影响。
本系列10例患者的数据总结了SickKids儿童医院30年的诊疗经验,有望为其他神经外科医生在应对儿童脊索瘤这一挑战性肿瘤时提供参考。
05
PART
关于作者

- 文章标题:【INC国际大咖研究成果】儿童脊索瘤的管理与预后:SickKids 儿童医院经验及文献综述
- 更新时间:2025-11-25 13:39:29
400-029-0925




