从小我们在看三国演义的时候,就为很多古人的生平遭际感到惋惜。就比如说三国演义里面提到的华佗,说曹操有头风病,一疼起来,脑袋头疼欲裂。华佗来一看说没关系,丞相您这病我能治,只要把您的脑袋劈开就可以了。那个时代的人,哪敢想像这个事情。于是曹操一怒之下就把华佗给杀了,导致他的医术也没有传下来,当然这只是传说。
不过它也体现出我们人,自古至今对于大脑都是重视的,是在大脑上动手术。对于一些神经外科疾病患者,提到要开颅手术,都会小心,甚至心里会觉得可怕。
开颅很可怕
但,内镜可以很好解决问题吗?
开颅,把脑袋打开,那得多可怕啊。开完颅之后能不能好利索,这恐怕是很多人都担心的问题。
有没有不开颅,同样能把病治好的技术有吗?神经内镜技术就为医生多提供了一种治疗手段或者工具。
曾有医学家断言,上帝给人类创造了很多天然通道,鼻通道就是其中之一。当神经外科医生拿到这把钥匙,就可以经鼻完成更多的手术,治疗更多的疾病。所以说,内镜颅底外科就是得益于这样一个天然的解剖结构作为基础。
90年代初,鼻内镜手术出现,这意味着通过前沿的技术,鼻腔内的国际可以完全袒露在手术医生的面前。而神经外科医生的操作器械可以探进鼻腔这条狭小的通路,摘除病灶,探向更多可能。

但是,对于患者来说,受痛苦小了,但是这么点儿一个东西进去,能很好地解决问题吗?这位国际神外内镜+显微镜“双镜联合”手术教授,就对此做了深入的研究。
INC福教授经鼻内镜手术
斜坡脊索瘤案例交流
▼单鼻孔经鼻内镜手术操作示意图

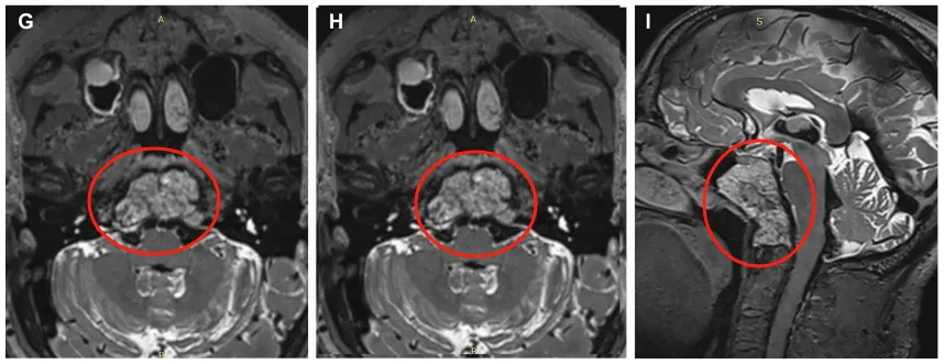
▼术前MRI显示一个大的斜坡脊索瘤延伸到蝶窦,寰枢椎、岩尖、下斜坡和右枕髁。

INC国际福教授主要手术过程:
使用福教授发明的“筷子技术”神经内镜手术,从右侧蝶窦水平到鼻后孔垂直切开鼻腔粘膜,部分分离鼻腔粘膜,打开蝶窦。
识别、定位斜坡旁两侧颈内动脉ICA,并磨除斜坡骨质以暴露脊索瘤下侧面。
然后使用角度为30°、45°和70°的内镜切除肿瘤。
肿瘤切除后,切除蝶窦粘膜,将脂肪放置于肿瘤腔内和蝶窦内。然后缝合切口(I型)。
▼福教授团队提出的EEA手术颅底重建鼻粘膜修复技术:I型缝合技术。
·在I型中,鼻粘膜在鼻窦的右侧或左侧切开,并用连续缝合。
定位识别蝶窦口,用补片填充,并用纤维胶覆盖。
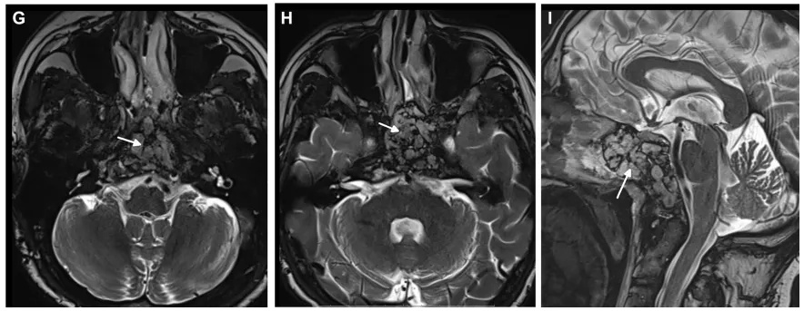
术后MRI证实肿瘤完全切除,无脑水肿和脑出血。术后2月随访,内镜检查没有发现结痂,患者也没有抱怨任何鼻腔不适。
▼术后MRI证实肿瘤完全切除,显示用于术后残腔重建填充的脂肪(白色箭头表示脂肪移植)。

INC法国Froelich教授
内镜+显微镜“双镜联合”手术观
INC国际神经外科医生集团组织旗下国际神经外科顾问团成员福教授,多次来华开展了丰富的中外神经外科学术交流活动。来访期间,作为国际显微镜和内镜手术教授,他也深入解读了对于在复杂颅底手术中如何使用显微镜和内镜。
颅底手术的前提是到达颅底深的区域。为此通常有两种选择。要么你创建一个大的手术通路,但会增加病人的手术风险,因为你暴露了更多的组织结构。另外则是尝试缩小手术通路,为了在内部仍然拥有良好的视野,通常可以使用内镜来增加手术视野。所以在福教授所做的多数手术中,内镜是手术中必备的,福教授使用它来观察开颅手术中未暴露的结构。内镜配合显微镜几乎是颅底手术的组合,因为颅底手术的操作深度,内镜是颅底手术中必备的工具。

一台复杂脊索瘤手术中,Froelich教授同时使用了显微镜和内窥镜两种工具
内镜的用途除了可视化位于脑深部的结构,并且对于保护正常的脑组织结构顺利手术也是不可多得的。而被福教授广泛应用在内镜手术中的“筷子技术”,其发明初衷旨在致力于尽可能微创,目标是在不接触鼻内部结构的情况下穿过鼻腔。在传统的神外内镜手术技术中,通常是两名手术医生操作,一名手术医生拿着内窥镜,另一名手术医生用两只手操作。但是这样就存在一个弊端,需要更多的空间以避免手术器械和内窥镜“打架”,而内窥镜坚硬,扩大空间也就意味着损伤的风险。
即使主刀医生会跟着拿着内窥镜的手术医生去移动,但器械“打架”仍然无法避免。为了避免器械“打架”,需要在鼻腔内创造更多空间,为了达到这个目的,需要切除部分正常组织。为了解决这个问题,福教授发明了“筷子技术”,可以让术者同时操作“内镜、吸引器、三个器械”,做到“人镜合一”,术者可以控制。还可以将内窥镜的靠近仪器的,这可以在执行关键步骤或细致的剥离时提供相当高的精度。所以“筷子技术”的目的是保护解剖结构,保护鼻内部的结构。


福教授神经内镜“筷子手术”演示
如果切除正常的结构,就会导致患者出现术后并发症,并且这种情况可能会持续很长一段时间。如果使用放疗,这种病况会更严重。例如,脊索瘤术后经常使用放射治疗。所以它使这种并发症变得更严重并持续更长时间。因此,“筷子技术”的目标是减少手术入路的侵袭性。
所以出于扩大手术视野和保护正常脑组织顺利手术的目的,福教授认为在颅底手术中,多数病例都适合这种方法——将显微镜与神外内镜“双镜联合”使用在同一台手术中。
如何请国际教授评估病情?

近年来,INC福洛里希教授多次来华学术交流及示范教学手术,成功拯救数名疑难脊索瘤患者,国内疑难神经外科疾病患者追求更佳手术预后,也可联系咨询这位国际颅底手术教授福教授中国示范教学手术机会——可拨打4000290925。
- 文章标题:不开颅、“无痕”手术——INC国际神经外科福洛里希教授
- 更新时间:2024-05-13 15:34:34
400-029-0925




