INC 2024年国际交流项目持续进行中,2024年神经内镜“筷子手法”提出者——国际神经外科联合会颅底手术委员会前主席INC法国福洛里希教授即将来华学术交流,国内神经外科同仁将有机会和这位国际年轻一代中具天赋的国际教授交流学习、一睹这位神经内镜的国际高手的风采。
而国内患者也将有机会面对面咨询这位国际神外颅底手术专家,福洛里希教授在复杂脑膜瘤、颅咽管瘤、垂体瘤、脊索瘤等都有大量的临床治疗经验,除了传统的神外显微镜开颅手术,其内镜手术“筷子”操作方式不止提高了肿瘤的切除率,更是使脑瘤患者有了更好的预后效果。
国际神经外科联合会(WFNS)解剖委员会
福教授在线课程回顾

作为国际颅底手术教授,Froelich教授早在2009一直兼任欧洲远程神经外科手术学院-颅底手术EITS课程主任,并且自2011年至今在巴黎Lariboisiere大学医院任职神经外科教授,此后他还受邀成为50多家医学院的课程主任和讲师。而作为国际神经外科联合会(WFNS)颅底手术委员会前主席,他同样受邀参与WFNS各项重要在线课程,跟国际神经外科同仁们交流研究进展以及过往颅底手术经验,带来一场场学术盛宴。

2019年WFNS大会一次在华举行,Froelich教授曾参加并发表演讲
国际神经外科学会联合会(WFNS)是什么?
国际神经外科学会联合会(WFNS)成立于1955年,是一个的、科学的、非政府组织,由130个成员协会组成(包括5个大陆协会,119个国家和地区的神经外科学会和6个附属学会),代表超过50,000名神外科医生。WFNS的使命是促进会员协会之间的合作,推进神经外科的护理、培训和研究,以造福于患者。
WFNS是神经外科的领域宣较高学术组织,是全国际神经外科医生的大家庭。这个课程是由国际神经外科联合会(WFNS)解剖委员会推出的“线上培训课程”,提升年轻神经外科医生和学员的神经外科技能。课程将围绕由国际神经外科医生带来的特别演讲,内容涵盖经典病例讨论和对对神经外科手术具有重要作用的解剖学知识。
本文为国际神经外科联合会(WFNS)解剖委员会在线培训课程,Sebastien Froelich教授受邀进行颅颈交界区手术的主题演讲交流。
课程主题:颅颈交界区肿瘤手术入路选择
“感谢能获得这样的机会,很高兴能和大家交流颅颈交界区肿瘤的治疗!”
——Sébastien Froelich教授
颅颈交界区肿瘤有脊索瘤,这是较常见的。这是一种相对比较常见的硬膜外肿瘤,不同类型采用不同的手术入路。首先对于这种对硬膜内的病变可以用远外侧入路,比如说脑膜瘤、神经鞘瘤,还有动脉瘤。前侧方的入路,主要是用于硬膜外的肿瘤,有时候它会有硬膜内的侵袭,但是它主要是侵袭种骨质,这些骨质的侵袭可以很低,甚至可以到达颈7。对于硬膜内外沟通的肿瘤,可以做一些扩大的内镜经鼻入路。
不同手术入路下颅颈交界区案例交流
“筷子手法”经鼻内镜入路处理颅颈交界区肿瘤
从内镜我们怎样暴露颅颈交界区,需要把后方的咽部的黏膜和肌肉移开,如果我们要往侧方走的话,这比较具有挑战性,需要切掉一半的下方的结节,我们需要切除更多的黏膜,更多的肌肉,还需要磨掉翼板的内侧,要注意颈内动脉的二个膝部,还得切除一部分的咽鼓管,还得磨除一部分的枕髁,才能到达侧方,这样是很耗精力的。

案例交流
CASE 1
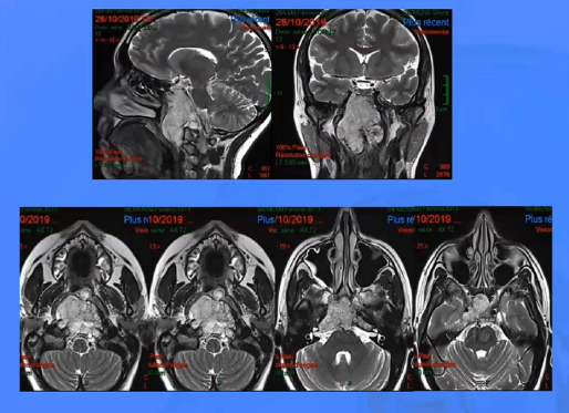
▼这是几年前做的一个手术,先把鼻中隔先推开,然后推开那些正常的组织,这里磨掉枕髁,暴露舌下神经管。虽然很具有挑战性,但是手术做得还是不错的,我们对病人进行了长期的随访,因为我们把全部的就是切开的软组织都复位了,所以看起来还可以,经过内固定以后,病人的颅颈交界区是很稳定的。


CASE 2
▼下图所示案例肿瘤看着很大,然后用30度、45度甚至70度的内镜,我们有很多带角度的器械,利用这些器械就可以切除肿瘤。可以先切开黏膜,然后把蝶窦内的黏膜推开,然后进入肿瘤。目前我们正在努力的开发这方面的器械,没有这些器械我们是做不了手术的。

▼下面就是我所说的有角度的器械,然后我们用脂肪来修补,我们在内镜下做缝合,在内镜下做缝合很复杂难度很大,所以很花时间,但是它是值得的。


▼这是术后的MRI,大家看到的高信号的是脂肪组织,我觉得利用内镜到达颅颈交界区更简单。

显微镜+内镜“双镜联合”处理颅颈交界区肿瘤
选择好的入路是重要的,神经内镜只是一个工具,它对于某些适应症来说是好的,但不是对全部情况都合适。一些情况下可能需要神经内镜联合显微镜手术治疗。
颅底手术的前提是到达颅底深的区域。为此通常有两种选择。要么你创建一个大的手术通路,但会增加病人的手术风险,因为你暴露了更多的组织结构。另外则是尝试缩小手术通路,为了在内部仍然拥有良好的视野,通常可以使用内窥镜来增加手术视野。所以在福洛里希教授所做的多数手术中,内窥镜是手术中必备的,福洛里希教授使用它来观察开颅手术中未暴露的结构。内窥镜配合显微镜几乎是颅底手术的组合,因为颅底手术的操作深度,内窥镜是颅底手术中必备的工具。
案例交流
CASE 1
▼这个病例,它影响了颈1颈2,然后没有侵袭到硬膜内,我就不考虑用内镜了。考虑到脑脊液的释放等问题,这里我用了后外侧的一个入路。利用45度的内镜往上看,往上磨除岩骨的后方,可以一直暴露颈内动脉的岩骨段,然后海绵窦段。然后在显微镜下我们可以进行双手的操作,神经外科医生就比较熟悉的了。我们在做手术切除肿瘤切完了之后,还要进行固定。



CASE 2
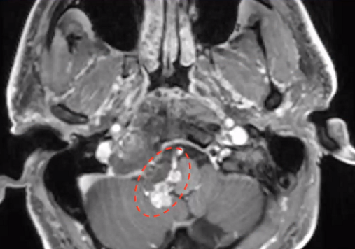
▼这是一个较大肿瘤的案例,它严重影响到枕髁,我们用神经内镜,通过抽吸可以切除大部分,然后和显微镜配合。


▼这是术后的MRI

查看课程完整视频
回看完整课程视频
电脑端:登录网址https://www.brainmed.com/meeting/detail?id=1273&fieldsId=1514&agendaId=32247&date=2020-06-24即可回看
- 文章标题:国际颅底手术教授福教授WFNS课程精彩回顾——颅颈交界区肿瘤手术实例交流
- 更新时间:2024-03-20 09:20:12
400-029-0925




