“福教授认为显微镜和内镜技术之于复杂颅底疾病,应是互补(complementary),而不是竞争(competitive)关系,更不是互斥(opposite)关系。这理念也贯彻在他每一例手术中,对于复杂复发的脊索瘤,更多的是显微镜下切除后使用各种角度内镜进行观察,对残余肿瘤的清缴。通过延长和塑形柔软的冲洗管头部,是完成筷子技术的诀窍。”
而颅颈交界区这个“咽喉要道”,犹如精心设计的障碍赛赛道:作为头颈与脊柱的过渡带,涵盖斜坡、枕骨大孔及寰枢椎等复杂骨性结构,同时毗邻鼻咽部、脑干、多组脑神经及颈内动脉/椎-基底动脉系统。该区域特有的“骨性遮蔽”特性,使得颅底手术犹如攀登层叠的山峰——你以为翻过一道骨脊就能看到全貌,结果后面还藏着更险峻的“山峰”。即便借助显微镜突破某一解剖屏障,仍可能面临更隐蔽的病灶需要内镜技术接力完成暴露与切除。
现代神经外科的进步史同时也是一部工具的进化史,神外显微镜的使用和发展,使得手术精确性大为提高,邻近组织的损害机会明显减少。而神经内镜的发展又进一步扩展了进入人脑的通道,将我们的视线扩大到显微镜下触难以触及的角落。“神外显微镜+内镜“双镜联合”的手术方法更是将两种工具的优势放大,在保证手术安全的前提下尽可能切除肿瘤。世界神经外科联合会(WFNS)颅底手术委员会前主席,INC法国Sebastien Froelich(福洛里希)教授更是神外领域内“双镜联合”使用的佼佼者。
颅椎交界处(CVJ)是轴向骨骼中极其灵活且动态的区域。在系统发育过程中,形成了一种精巧的骨韧带结构,充当探索空间的工具,这也促进了特定人类眼 - 手协调运动的发展。然而,当肿瘤在此处野蛮生长时,就像在悬崖边拆弹——稍有不慎,便会引发灾难性后果。接下来看这位国际颅底大咖分享他如何如何攻克这一领域……
“筷子手法”经鼻内镜入路处理颅颈交界区肿瘤
从内镜我们怎样暴露颅颈交界区,需要把后方的咽部的黏膜和肌肉移开,如果我们要往侧方走的话,这比较具有挑战性,需要切掉一半的下方的结节,我们需要切除更多的黏膜,更多的肌肉,还需要磨掉翼板的内侧,要注意颈内动脉的第二个膝部,还得切除一部分的咽鼓管,还得磨除一部分的枕髁,才能到达侧方,这样是很耗精力的。

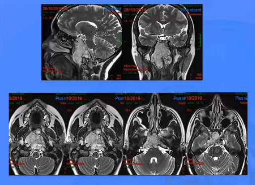
案例分享
CASE 1
▼这是几年前做的一个手术,先把鼻中隔先推开,然后推开那些正常的组织,这里磨掉枕髁,暴露舌下神经管。虽然很具有挑战性,但是手术做得还是不错的,我们对病人进行了长期的随访,因为我们把所有的就是切开的软组织都复位了,所以看起来还可以,经过内固定以后,病人的颅颈交界区是很稳定的。


CASE 2
▼下图所示案例肿瘤看着很大,然后用30度、45度甚至70度的内镜,我们有很多带角度的器械,利用这些器械就可以切除肿瘤。可以先切开黏膜,然后把蝶窦内的黏膜推开,然后进入肿瘤。目前我们正在努力的开发这方面的器械,没有这些器械我们是做不了手术的。

▼下面就是我所说的有角度的器械,最后我们用脂肪来修补,我们在内镜下做缝合,在内镜下做缝合很复杂难度很大,所以很花时间,但是它是值得的。


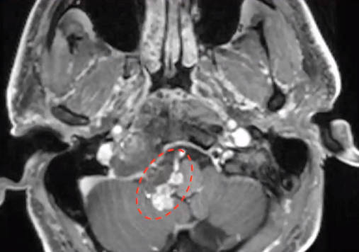
▼这是术后的MRI,大家看到的高信号的是脂肪组织,我觉得利用内镜到达颅颈交界区更简单。

显微镜+内镜“双镜联合”处理颅颈交界区肿瘤
选择好的入路是非常重要的,神经内镜只是一个工具,它对于某些适应症来说是好的,但不是对所有情况都合适。一些情况下可能需要神经内镜联合显微镜手术治疗。
颅底手术的前提是到达颅底非常深的区域。为此通常有两种选择。要么你创建一个大的手术通路,但会增加病人的手术风险,因为你暴露了更多的组织结构。另外则是尝试缩小手术通路,为了在内部仍然拥有良好的视野,通常可以使用内窥镜来增加手术视野。所以在福洛里希教授所做的绝大多数手术中,内窥镜是手术中必备的,福洛里希教授使用它来观察开颅手术中未暴露的结构。内窥镜配合显微镜几乎是颅底手术的完美组合,因为颅底手术的操作深度,内窥镜是颅底手术中绝对必备的工具。
案例分享
▼这个病例,它影响了颈1颈2.然后没有侵袭到硬膜内,我就不考虑用内镜了。考虑到脑脊液的释放等问题,这里我用了后外侧的一个入路。利用45度的内镜往上看,往上磨除岩骨的后方,可以一直暴露颈内动脉的岩骨段,然后海绵窦段。然后在显微镜下我们可以进行双手的操作,神经外科医生就比较熟悉的了。我们在做手术切除肿瘤切完了之后,还要进行固定。



INC国际“双镜联合”手术大咖
全球40多个国家、50多家医学院课程主任和讲师,作为世界神经外联合会(WFNS)颅底手术委员会前主席,福教授长期以主讲人身份在国际IRCAD培训中心颅底进行课程培训,尤其在微创手术领域的培训教育方面享有盛誉。

近几年,福教授更是来到中国广泛开展颅底解剖学、神经内镜在颅底手术中的应用进展、颅颈交界区肿瘤的手术方法等重要讲座,与医学学者共同研究学习。多年来,福教授专注于颅底手术领域,擅长显微镜下开颅入路,同时也可以做内镜下经鼻入路;还将显微镜+内镜“双镜联合”很好地运用到这个复杂而神秘的区域。对于每一个特定的肿瘤都有一个特别的手术入路能达到它——“一切为了病人而战!”

- 文章标题:颅底“山地障碍赛”:显微镜和神经内镜如何组队征服手术盲区?
- 更新时间:2025-08-18 16:47:50
400-029-0925




