“小锁孔”就能解决头等大事?
仅凭一个3cm的微小切口,就能解决“头等大事”——但这并不意味着切口越小,手术就越好。小,不是目的;准,才是关键。
锁孔技术的核心,不在于开口的大小,而在于如何以最小程度的侵袭,精准处理病灶:既预留足够操作空间,又极大降低对颅内重要组织——神经、血管等结构的医源性损伤。手术追求的,是每一步的精确与每一分的保护。
一个小病变竟阻塞中脑导水管,导致脑积水
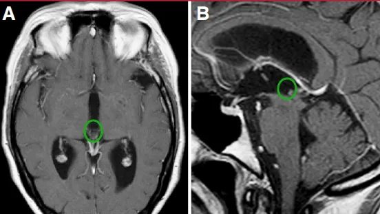
49岁女性,主诉头痛、恶心及呕吐。磁共振成像(MRI)显示一小型、明显强化的占位性病变阻塞中脑导水管,导致三脑室性脑积水(图1)。

经右侧室间孔(Monro孔)行内镜下手术(图A)。术中实现病变全切除(图B)。

术后MRI复查示病灶无残留,脑积水已完全缓解。

若肿瘤过大且质地坚韧,内镜切除将耗时冗长且效率低下,此时微创手术的优势被手术时长抵消,应果断转为开颅显微手术。借助小型锁孔入路及内镜辅助显微技术,无需广泛脑牵拉即可实现微创、高效的肿瘤全切除。

处理脑室内及脑室旁肿瘤的内镜基本原则为:先阻断肿瘤血供,再分块减瘤。通常采用碎块式切除;部分病例可先将肿瘤与周围脑组织分离,然后整体取出。切除后务必彻底止血,以防术后再出血。
随着经验积累,已可在纯内镜下完成特定肿瘤的全切除。即使血供极其丰富的病变(如海绵状血管瘤),亦能经内镜完整摘除。
经锁孔手术“开小窗”解除头颅大患,神经内镜优势凸显


该案例来源于INC国际神经外科医生集团旗下组织世界神经外科顾问团(WANG)成员、世界神经外科学会联合会(WFNS)内镜委员会前主席Henry W.S.Schroeder教授(施罗德教授)相关研究,发表于2008年。
脑室内肿瘤和囊性病变是神经内镜技术最理想的适应证。由于其位于脑嵴液充盈的脑室系统内,可获得极佳的术野可视化;同时,这些病变常继发脑嵴液循环梗阻及脑室扩张,为内镜操作提供了充裕的工作空间。
随着神经内镜技术的革新,以及有框架立体定向与无框架计算机辅助立体定向技术的融合应用,脑室扩张已不再是开展手术的必需前提。

早在1963年,Guiot等即报道应用脑室镜切除胶样囊肿。1973年,Fukushima等首次以现代方式描述了经“脑室纤维镜”行内镜活检的操作。内镜技术的演进和诊断准确性的提高,使松果体区肿瘤的预后及治疗策略发生了根本性改变;如今,神经内镜已成为处理该区域病变的首选微创手段。
相较其他技术,神经内镜的最大优势在于:
可直接观察室管膜表面,发现隐匿性转移灶;更关键的是,可在同一微创入路下同步处理伴发的脑积水。通过第三脑室底造瘘、透明隔造瘘及支架置入等组合手段,可在导水管狭窄、多房性脑积水、室间孔狭窄等多种情况下重建脑嵴液循环通路。
对于无需显微手术切除的病变,仅需一次神经内镜操作即可完成诊断并解决脑积水,无需进一步侵袭性干预;而对于需要后续根治性手术的病例,神经内镜可作为先期诊疗步骤。
神经-肿瘤学范畴内的神经内镜应用包括:内镜下肿瘤活检、继发性脑积水的处理,以及脑室内肿瘤的内镜下切除。当然这篇研究发表于2008年,时至今日,神经内镜手术的应用范围正在逐步扩大,它不仅在治疗脑积水、蛛网膜囊肿、脑室内肿瘤等方面取得了满意的疗效,而且通过神经内镜还能完成颅内动脉瘤、松果体区肿瘤、鞍内及鞍旁肿瘤(例如垂体瘤、颅咽管瘤、脑膜瘤)、后颅窝及桥小脑角区肿瘤的手术操作。此外,还包括神经微血管减压术、椎管内嵴髓病变手术等多种治疗。

神经内镜清除颅内血肿示意图
与显微手术相比,内镜手术的优势在于并发症发生率更低、手术时间更短、住院时间更短;这一优势目前仅在胶样囊肿病例中得到循证证实。
究竟什么是“锁孔”手术?
"锁孔"手术的目的不是为了一个小开口而进行小切口和开颅手术。“锁孔”效应具有小而关键的含义,锁孔骨窗是其形象的概括。这一方法的切口及骨窗大小是按需所取,符合“处理病灶足够大、开颅创伤尽量小”的原则。与普通的开颅手术相比,锁孔手术,极大降低了正常脑组织的骚扰,降低手术风险、最大限度的避免了术后并发症后遗症,缩短病人的恢复时间。提高了患者的术后生活质量,大大减轻了患者的负担。
此外,锁孔显微手术可带来较好的外观,增加患者对手术的信心。
70年代初,INC国际神经外科医生集团旗下世界神经外科顾问团(WANG)成员Takanori Fukushima教授(1942-2024)最早将内窥镜运用于神经外科领域,用于脑室内病变的活检,囊肿开窗术和脑积水的治疗。80年代,Fukushima教授首次提出“锁孔手术(key hole operation)”理念,首次经眉弓入路进行前颅底手术,他创造了多种世界最先。其“锁孔手术”的精髓,即小切口、小骨孔切大肿瘤,小孔径/窄缝隙做深部手术的微创理念已深入人心,可谓“螺蛳壳里做道场”的现实体现,已成为脑外科经典术式,堪称教科书式的创造。与普通的开颅手术相比,锁孔手术,极大降低了正常脑组织的骚扰,最大限度的避免了术后并发症后遗症,提高了患者的术后生活质量,大大减轻了患者的负担。
Fukushima教授是“锁孔手术”发明者,虽已离去,但他留下的学术瑰宝如繁星闪耀,持续照亮着神经外科的前行之路。我们深切缅怀这位天才大师,并向他的卓越成就致以崇高敬意。

- 文章标题:小切口,大作为:如何通过“锁孔”入路实现脑瘤的微创全切?
- 更新时间:2025-08-24 13:53:31
400-029-0925




