鲁特卡教授2026来华行程更新 1月24日 开展面对面咨询及手术交流 经历过这一次痛不欲生,我才明白,有时候孩子比我们这些家长还要坚强。儿子这几年常常跟我说:妈妈,谢谢你给了我生命。但我心里却不是这样想的,我告诉他说:妈妈更加感谢你坚持了下来,没有离开妈妈。我从来没想过,他活下来这...
鲁特卡教授2026来华行程更新
1月24日
开展面对面咨询及手术交流
“经历过这一次痛不欲生,我才明白,有时候孩子比我们这些家长还要坚强。儿子这几年常常跟我说:妈妈,谢谢你给了我生命。但我心里却不是这样想的,我告诉他说:妈妈更加感谢你坚持了下来,没有离开妈妈。我从来没想过,他活下来这件事对我来说有多重要,看似是他需要我,实际上却是我需要他。术后8年时间,是他的存在让我一直相信光,所以如果你的孩子也正在经历这些,我希望你也能充满希望,你永远不知道我们的宝贝有多棒!加油!”
01.
头痛、呕吐
一向健康的儿子突然病倒
儿子8岁之前,身体一直很好,吃饭香、爱运动,精力旺盛得像一个小陀螺,但是自从有一天他开始头痛后,一切都变得不一样了。一开始我们以为是单纯头痛,在家休息了几天,没想到后面还出现了呕吐的症状,精神一下子就变差了,我们立刻带他去医院,医生说是感冒,开了药也就回去了,现在想起来也很后悔当时没有坚持做核磁。
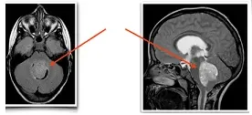
后面的3个月,儿子的症状时好时坏,但我意识到不对劲是有天看他走路跌跌撞撞的,像踩在棉花上一样。我赶紧给爱人打电话,他还在出差,我就先带着儿子到医院检查。眼科检查做了,说是视神经乳头水肿,直到核磁出来,我才觉得天一下子塌了:脑干上这么大一个肿瘤,让我的心瞬间凉透了。

02.
无奈转诊
儿子的状态越来越差
当时医院的医生看了片子跟我说,手术风险很高,他不建议做。我蹲在诊室门口一边哭一边给爱人打电话,反而是儿子过来安慰我,还拿袖子给我擦眼泪。当天我的爱人往回赶,而我还是不甘心,开始看其他专家。
幸好,儿子比我想象中还要坚强,他是天生的乐天派,还会不厌其烦地安慰我,反倒是他在支撑我,意识到这点后,我再也没在他面前表现出难过,尽管当时他的状态已经肉眼可见地变差,除了走路不稳,举止动作也变得异常笨拙,很多小事情我需要从头开始教他,像是重新养了他一遍。
后来,在爱人的联系下,我们转诊到了另一所医院,当时的主刀医生是鲁特卡(Rutka)教授。可能教授专攻儿童神经外科,跟很多小孩打过交道,所以儿子第一次见到他就很喜欢他,一直到后面出院都在问我教授在哪里。

03.
他已经足够幸运
陪伴走过的第8个年头
再一次见到儿子,他已经手术结束,鲁特卡教授说手术得到尽全切,病理显示为髓母细胞瘤。这表示,手术只是治疗的第一步,等儿子恢复良好后,需要再制定放化疗方案。
他已经足够幸运了,手术的成功让我对接下来的治疗充满信心,或许是我的状态影响到了他,在住院期间,儿子慢慢变回了以前的活泼,他会跟其他病房的孩子做朋友,一起搭积木、好好吃饭,他的坚强支撑着我们。

即使是在后面的放化疗阶段,儿子也没有表现出明显的反应,医生说他耐受情况很好。
现在,距离那段黑暗的日子已经过了8年,在这期间,儿子顺利入学,没有任何复发迹象,他又能像其他小朋友一样,过上正常的生活。在儿子陪伴我的第8个年头,我给他写了封信。
“亲爱的儿子,如果我是你生命的孕育者,那么对我来说,你就是妈妈生命的承载者,谢谢你坚持下来,谢谢你活着,让我知道世界上还有另一个生命在陪伴我、需要我,你永远是我生命中的礼物……”
- 文章标题:“谢谢你坚持下来!”恶性脑瘤无复发8年,是儿子让我再次相信光
- 更新时间:2026-01-11 10:13:51
-
本次专访,INC世界神经外科顾问团(WANG)成员、加拿大Sick Kids儿童医院脑瘤研究中心主...
2024-12-09 18:29:43
-
2019年4月16日,美国神经外科医师协会(AANS)年会上,加拿大多伦多大学儿童医院SickKi...
2020-05-11 10:11:52
-
神经外科化是直到最近才被引入神经外科手术学术性讨论的领域,本文选自 INC 国际神经...
2020-02-12 21:47:02
-
开颅是怎样一种体验?在26岁的杰森看来,这简直是一场过山车般的大起大落! 查出自己...
2025-08-27 17:49:25
-
不开颅、经眉开小孔就能切除脑瘤吗? 能! 经眉弓锁孔入路手术并不是什么新鲜事。国...
2023-12-20 09:31:49
-
用一双筷子取出肿瘤,你听说过吗? 在神经外科领域,有一句名言: the brain should not kn...
2025-06-24 16:37:53
-
实时报道 脑干、颈髓、基底节区、颈静脉孔区、CPA区 近日, INC巴特朗菲教授 和中国神...
2025-07-01 15:05:54
-
脑瘤手术大概要多长时间? 这几乎是每个患者或家属术前都会问医生的一个问题,医生...
2025-10-16 11:54:25
-
若说癌症是体内恐怖组织的反人类袭击,那在这场抗癌战争中,手术刀如冷兵器,化疗便...
2020-01-10 16:16:59
-
不开颅切除脑瘤 颅底肿瘤悄然生长、浸润骨质,能否不开颅斩除病根? Less is more开展高...
2025-10-08 07:34:40
-
听力下降、面瘫,可能是脑瘤信号 一名37岁患者,因听力减退及面瘫就诊。颅脑MRI示岩尖...
2025-07-30 11:17:09
-
孩子的事从来都不是小事,尤其是对于父母来说。 谁都期盼过自己孩子的一生能够顺遂...
2024-12-09 17:44:11
-
这本该是个小手术,却在脑脊液漏的阴影下变成漫长的煎熬。他像被施了咒般禁锢在病床...
2025-06-10 15:50:13
-
儿童颅底肿瘤是外科治疗的难点,由于其颅底解剖和发育结构不同于成人,肿瘤可根据儿...
2023-11-30 09:23:13
-
脑瘤,开颅,还是不开颅,这是个问题! 患者颤抖着问:医生...我脑子里...长了个肿瘤...
2025-08-04 13:52:26
-
引言 小马是一位8岁的 胶质瘤 患儿,在一次开颅手术切除部分肿瘤后,出现了右眼睑下...
2025-06-10 14:28:09
-
打针即可杀死癌细胞,这是今年中国癌症治疗较重磅的突破之一。 最近120万一针抗癌药...
2021-09-14 10:10:01
-
颅底手术的艺术 乍看之下,术野与经鼻入路如出一辙同样的内镜视角,相似的手术器械...
2025-06-30 14:24:26
-
巴罗神经学研究所 (Barrow Neurological Institute,简称BNI)是国际较大的神经科学诊断、治疗...
2019-10-25 20:37:59
-
很多脑瘤患者畏惧开颅手术,往往倾向选择经鼻神经内镜手术,内镜手术尤其适用于垂体...
2025-10-13 16:27:22