菊形团形成性胶质神经元肿瘤(RGNT)是一种罕见的肿瘤实体,据报道主要发生在第四脑室。它被描述为一种良性病变,仅局限于周围结构,包括小脑蚓部、中脑和脑导水管。 这种罕见的脑肿瘤患者发病年龄一般在6-79岁,平均31.1岁,临床症状多为肿瘤压迫所致,以头痛、小脑共济失调症状为主。由于肿瘤生...
菊形团形成性胶质神经元肿瘤(RGNT)是一种罕见的肿瘤实体,据报道主要发生在第四脑室。它被描述为一种良性病变,仅局限于周围结构,包括小脑蚓部、中脑和脑导水管。
这种罕见的脑肿瘤患者发病年龄一般在6-79岁,平均31.1岁,临床症状多为肿瘤压迫所致,以头痛、小脑共济失调症状为主。由于肿瘤生长缓慢,常常导致幕上梗阻性脑积水,临床治疗主要为手术切除为主,包括完全切除或部分切除,部分切除主要与肿瘤浸润小脑及桥脑背侧有关。由于RGNT属于低级别肿瘤,WHO将RGNT归为Ⅰ级肿瘤,术后随访很少出现复发。
这是一则由INC世界神经外科顾问团成员Joachim K.Krauss教授主刀手术的真实案例:
患者情况:
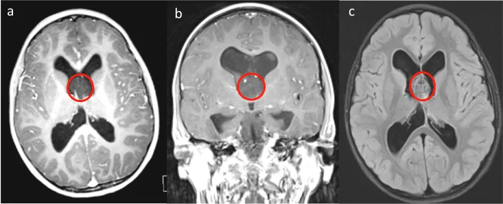
7岁男孩,3周头痛病史,磁共振成像显示在透明隔中伴有脑积水的实质肿块

术前MR成像,T1加权序列(a–b)和轴向深色流体序列(c)显示肿瘤位于透明隔隔膜
主刀专家:
德国Joachim K.Krauss教授

手术方法:
通过术中MR引导的右脑室经皮层入路行肿瘤次全切除术。由于肿瘤粘附于穹隆,因此不能进行全切。
术后情况:
手术后,没有新的神经系统疾病。术后既不使用放疗也不使用化学疗法。术后病情无恶化进展,并且该孩子在手术后2年的状态良好,没有神经系统症状。未出现头痛。定期的后续MR随访表明脑积水已经缓解,并且没有肿瘤复发的迹象。

肿瘤组织学显微照片
病例解析:
在任何小儿脑肿瘤中,根据术前影像学预测肿瘤组织学和分级是一个巨大的挑战。通常,在儿童期肿瘤中,建议手术切除或活检以确立诊断。手术切除已成为RGNT的治疗方法,有望获得良好的生活质量。
辅助疗法(包括放疗和化疗)的作用仍需要弄清楚,尤其是在儿科人群中。由于这种肿瘤发病的稀有性,主要根据病例报告来定义指导方针是非常有问题的。尽管大多数研究在手术切除肿瘤后采取了一种“静观其变”的策略,但是只有活检或切除不完全的患者很少接受放疗或化学疗法。由于所有RGNT都具有FGFR1突变,并且其他肿瘤实体中的各种FGFR1抑制剂已经在3期研究中进行了评估,对于不能完全切除的RGNT病例,似乎可以采取相应的靶向治疗。相对较高将来PIK3CA和NF1突变的频率也可用于治疗。
总之,RGNT是在成年人和儿童中发现的罕见的低级别肿瘤。最终诊断始终取决于病理组织学。建议的RGNT一线治疗方法是手术切除,同时需要更多数据来确定辅助治疗的作用。
参考文献:Joachim K.Krauss,Pediatric rosette-forming glioneuronal tumor
of the septum pellucidum,Child's Nervous System.2020
- 文章标题:孩子头痛查出脑瘤严重吗?INC大咖Krauss教授分享7岁患儿治疗之路
- 更新时间:2025-10-28 17:56:11
-
不开颅切除脑瘤 颅底肿瘤悄然生长、浸润骨质,能否不开颅斩除病根? Less is more开展高...
2025-10-08 07:34:40
-
头痛,几乎是大家都时不时会碰上的老朋友了。而在神经外科范畴内,很多常见的神经外...
2024-04-30 09:52:26
-
实时报道 脑干、颈髓、基底节区、颈静脉孔区、CPA区 近日, INC巴特朗菲教授 和中国神...
2025-07-01 15:05:54
-
小锁孔就能解决头等大事? 仅凭一个3cm的微小切口,就能解决头等大事但这并不意味着...
2025-08-24 13:53:31
-
题记:病魔并不可怕,可怕的是没有直面它的勇气。当自己或家人遭遇这样的厄运,不遗...
2020-04-16 17:39:47
-
恶性脑癌 和其他中枢神经系统癌症是儿童中二大较常见的癌症。尽管进行了治疗,但总...
2019-10-25 17:10:58
-
定义 毛黏液型星形细胞瘤(pilomyxiod astrocytoma,PMA),是一种边界较清、缓慢生长的良性肿...
2020-03-30 22:16:15
-
2019年4月16日,美国神经外科医师协会(AANS)年会上,加拿大多伦多大学儿童医院SickKi...
2020-05-11 10:11:52
-
经鼻内镜术后脑脊液漏怎么办? 经鼻内镜手术后,剧烈头痛,检查竟出现了气颅。 气颅...
2025-09-15 11:57:17
-
治疗脑瘤 的费用昂贵,特别是对于儿童。接受放射疗法治疗这些肿瘤的患者中,超过一...
2020-06-04 14:41:15
-
病人要不要先出去?这是在诊室医生经常对家属说的一句话。 当患者被诊断出恶性疾病时...
2025-06-12 15:29:06
-
脑肿瘤可以不开颅通过眉弓切除吗? 能! 很多年以来,我们专门做各种颅底手术,我们...
2024-03-18 11:09:01
-
清醒开颅术是一种成熟的手术技术,用于切除位于大脑皮层附近的病理病变,即直接控制...
2021-06-08 10:44:50
-
脑瘤治疗后假性进展与假性反应有哪些?这里面包括假性进展和假性反应。此外,值得注...
2021-02-19 13:17:32
-
很多脑瘤患者畏惧开颅手术,往往倾向选择经鼻神经内镜手术,内镜手术尤其适用于垂体...
2025-10-13 16:27:22
-
本次专访,INC世界神经外科顾问团(WANG)成员、加拿大Sick Kids儿童医院脑瘤研究中心主...
2024-12-09 18:29:43
-
不开颅、经眉开小孔就能切除脑瘤吗? 能! 经眉弓锁孔入路手术并不是什么新鲜事。国...
2023-12-20 09:31:49
-
神经内镜技术无死角切除脑肿瘤 肿瘤长在大脑里,如此巨大,竟然可以 从一个鼻孔进去...
2025-06-24 15:51:43
-
放射性血管增生病变包括毛细血管扩张和海绵状血管畸形(海绵状血管瘤)。在接受全脑放...
2021-02-19 13:27:53
-
多年来,INC接触过无数脑瘤患儿,他们来自不同的家庭,有的懵懂天真,有的沉默懂事,...
2025-07-01 16:32:48