孩子的事从来都不是小事,尤其是对于父母来说。
谁都期盼过自己孩子的一生能够顺遂、平安、快乐,但有时命运偏偏专挑人的软肋下手。
当孩子的小脑袋被病魔侵袭,家长就要成为守护他们的第一道防线。而面对种类如此繁多的神经外科疾病,如何治疗、有哪些并发症、手术效果如何……都是需要考虑的问题。
INC世界神经外科顾问团(WANG)成员、加拿大Sick Kids儿童医院脑瘤研究中心主任、国际知名儿童脑瘤大咖James T.Rutka教授曾多次莅临国内开展学术演讲、沙龙以及多次患者面对面咨询,与国内神外专家共同交流目前神外领域的热点问题。
Rutka教授曾发表超过500多篇的文章,著有多本神经外科书籍,在临床上的研究方向以颅内肿瘤为主,对胶质瘤、纤维瘤、颅咽管瘤、室管膜瘤、松果体区肿瘤等具有多年的临床经验,尤其擅长儿童脑瘤的分子分型研究和综合治疗以及小儿癫痫的外科治疗,包括激光间质热疗(LITT)、清醒开颅术等显微外科手术。

加拿大James T.Rutka教授
世界神经外科学院院长(2011-2014)
美洲神经外科学院院长(2012)
美洲神经外科医师协会主席(2010-2011)
国际神经外科专业知名杂志《Journal of Neurosurgery》主编(2013年至今)
多伦多大学外科学系教授、系主任(1999年至今)
多伦多大学儿童病院、亚瑟和索尼亚拉巴特脑瘤研究中心主任(1998年至今)
加拿大勋章(Order of Canada,2016年)
“国际微笑勋章”(International Order of Smile)(2006年)
问题目录(上)
1、小儿癫痫通过手术切除能治愈吗?
2、小儿胶质瘤复发了怎么办?还能手术吗?有什么前沿的综合治疗方案?
3、脑瘫宝宝到底还有救吗?能不能治愈?怎么治疗效果好?有什么这方面的研究?
Rutka教授·专访(上)
小儿癫痫通过手术切除能治愈吗?
Rutka教授:大约10%到20%的癫痫儿童都是癫痫手术的候选者。患有难治性癫痫的儿童可以通过外科技术得到治愈,如激光消融术、国际上较早使用脑磁图开展致痫灶切除术等。
通过前沿影像技术的辅助、神经导航相关的高级磁共振序列、使用立体脑电图SEEG放置表面和深度电极(深度电极具有神经导航功能)、癫痫发作检测技术、激光消融技术等,使得癫痫病灶即使很难触及,也同样能做到安全切除。这使得目前儿童癫痫可达到较高的治愈率。
激光间质热疗(LITT),是一种MRI磁共振成像引导下的微创外科手术。手术仅需在患处头皮上切约2-4mm宽的小口,插入激光光纤探头至病灶所在位置,利用脉冲激光消融肿瘤及病变组织。
相对于传统开颅术,LITT是具有广泛应用前景的微创治疗颅内病变的新方法,INC加拿大Rutka教授作为国际儿童脑瘤大咖,拥有丰富的LITT疗法经验,为众多脑瘤和癫痫患儿实施微创治疗,并成功为他们缓解病痛。
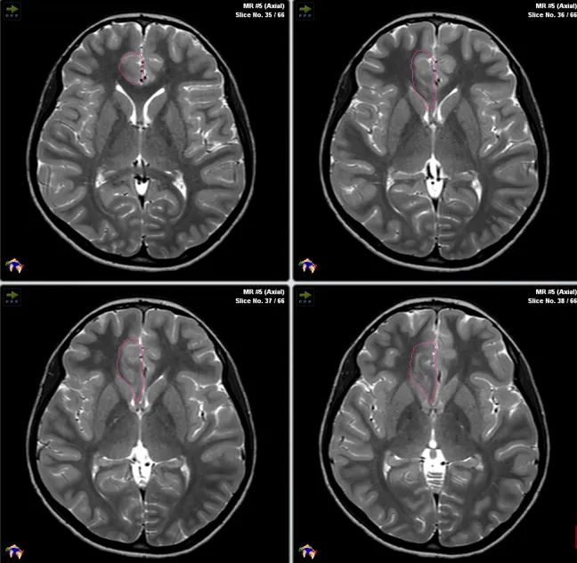
Rutka教授案例分享:局灶性皮质发育不良,复发癫痫
一名患有额叶癫痫的12岁男孩,伴有运动机能亢进的癫痫发作,神经成像检查结果显示:右侧额内侧下基底病变,他接受了开颅右额叶病灶切除术,病理资料显示为局灶性皮质发育不良(FCD),术后三个月无癫痫发作。

不幸的是,三个月后他的癫痫复发了,但Rutka教授不希望孩子在短时间内再次接受开颅手术,因此与患者家属深入沟通后决定为其进行激光间质热疗(LITT)。

Rutka教授和他的团队正在为其手术

术后男孩便没有癫痫发作了,而且近期随访显示其生长发育和智力发育正常,且癫痫并未复发。
小儿胶质瘤复发了怎么办?还能手术吗?有什么前沿的综合治疗方案?
Rutka教授:综合来说,胶质瘤可分为两大类,一类是良性或低级别胶质瘤;另一种是儿童恶性或混合性胶质瘤,典型的低级别胶质瘤几乎没有例外,其复发应视为是神经外科范畴的疾病。因此,有必要进行手术来治疗这些孩子,使他们处于不复发状态。
所以我们提倡对复发性低级别胶质瘤的儿童进行手术,尽管这被认为是治疗难度较大的肿瘤(包括脑干肿瘤、丘脑肿瘤或是视交叉部位的肿瘤),但是我们可以通过手术治疗这些孩子。
另一方面,患有高级别胶质瘤的儿童经常需要考虑进行实验性治疗。我们认为用治疗高级别胶质瘤的方案、化疗方案来治疗他们,有时用调强放疗合并干细胞移植,有时使用伽玛刀放射,在某些情况下使用质子疗法治疗,这些方法在治疗胶质瘤儿童时能获得更好的结果。
脑胶质瘤作为一种侵袭性较强的恶性肿瘤,常常会“恶作剧”般地突然折返,让人措手不及。这是由于肿瘤与周围浸润组织的界限不清,因此难以彻底地清除肿瘤残余组织,导致术后复发的风险较高。
同时,脑胶质瘤还比较“恋家”,复发既可单发,也可多发,大部分的复发病灶局限在其原发灶周围2cm处。
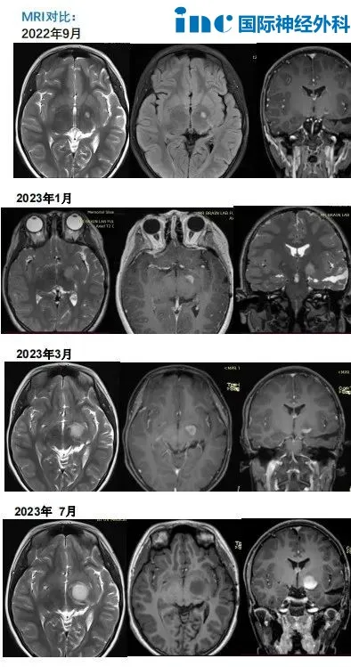
Rutka教授案例分享:下丘脑胶质瘤,三年内复发
2020年,11岁女孩Judy出现整整1年的发育迟缓,父母带着Judy去看儿科医生,对于身高停止增长的问题,儿科医生建议她做脑部CT,问题果然出在脑袋上:医生在Judy脑袋的左侧鞍旁发现了占位性病变。
手术治疗后病理结果显示:毛细胞型星形细胞瘤,WHO I级。术后Judy定期接受核磁共振对比检查,但却出现了视野缺损,且没有任何好转。

术后MRI对比
2022年,复查MRI发现左侧丘脑微小异常信号,手术医生建议服用靶向药物或化疗,但当时没有采取任何治疗措施,只是继续通过复查核磁共振进行观察。
2023年,再次复查MRI显示病灶明显增大,于是他们再次咨询了之前的手术医生。医生还是建议服用靶向药物。但是,靶向治疗3个月后复查MRI显示病灶进一步增大和强化。
于是Judy父母远程咨询了INC国际神经外科专家团成员Rutka教授,Rutka教授为孩子的病情做了详细的评估,并为Judy进行了LITT手术。
脑瘫宝宝到底还有救吗?能不能治愈?怎么治疗效果好?
Rutka教授:脑瘫是一种典型的情况,通常是指在脑损伤发生的关键时刻,流向大脑的血液发生了某种变化引发而起的。因此,这通常发生在出生时或出生后的早期,这些孩子正面临着终身煎熬。疾病可以影响他们的智力、认知能力、在学校的表现、行走能力、参加各种活动的能力,所以答案是:在目前,它不太可能被治愈,但我们可以通过外科治疗对症处理他们的许多症状。
例如,对于行走困难、脑瘫的儿童我们现在正在做一个非常重要的手术,称为背根切断术。这是一种脊椎手术,可以让他们在无法行走之后再次行走。对于认知能力有问题的儿童,如果疾病与脑脊液流动的方式有关,并且他们有脑积水症状,他们可以得到很好的治疗,无论是内镜下第三脑室造口术,或有时通过脑室腹膜分流术。
如果这么做的话,会使他们的症状得到改善。在许多情况下,我们希望对脑瘫儿童进行一些治疗,并且我们可以控制他们的一些症状和体征。我认为未来许多机构和中心对于脑瘫治疗的希望将是我们对干细胞的研究及干细胞移植治疗疗效的期待。
脑瘫是很多涉及小脑、脑干部位肿瘤的术后并发症,也称脑性瘫痪。大多数脑瘫发生于发育中的胎儿或者婴幼儿,由多种原因引起的非进行性(发生以后就达到最严重,不再有新的病变)的脑损害。
主要表现为运动障碍,且可伴有智力低下、癫痫、感知觉障碍、语言及精神行为异常等,部分患儿可长期存在肢体畸形、智力障碍等后遗症。脑瘫是引起儿童残疾的主要疾病之一。
痉挛性脑瘫是脑瘫的类型之一。Rutka教授提到的背根切断术是解除肢体痉挛安全有效的方法之一,已被广泛应用于临床,特别是对痉挛性脑瘫的治疗效果确切。
它通过对腰脊神经后根高选择性部分切断,从而达到解除肢体高肌张力、痉挛和病理反射的目的。脊神经后根高选择性切断术治疗痉挛性脑瘫是通过后入路寻找脊神经后根并切断,术后需注重功能锻炼。
总结
孩子的生命才刚开始,正如一棵发芽的大树,他们在长大成为参天大树的途中必然需要经历风雨洗礼,而有些雷电尽管致命,作为家长,也要积极为他们寻找“避雷针”。因为小树需要倚靠大树,才能茁壮成林。
在本期Rutka教授专访的上篇中,主要介绍了小儿癫痫、儿童胶质瘤、小儿脑瘫的治疗方式、研究进展、相关案例。其中,LITT(激光间质热疗)作为新技术被广泛应用于儿童脑瘤的手术治疗方案中,Rutka教授作为LITT技术的开拓者之一,具有丰富的临床经验。
- 文章标题:出生就被脑瘤宣判“死刑”?INC国际教授「专访·上」:还有救!
- 更新时间:2024-12-09 17:44:11
400-029-0925
.gif)



