提起开颅手术,很多人会感到害怕。一方面是对手术心生恐惧,另一方面是难以接受术前剃掉头发、术后留下长长的伤疤。对很多爱美人士来说,实在承受不起。不过随着微创技术的逐步发展,让患者能在接受手术治疗的同时“保持美丽”也成为了可能。
不开颅、不留疤,INC国际福教授创新手术“经眉弓锁孔入路”全切脑瘤——文章发布后,一些病友纷纷后台私信:“真的太神了,居然可以通过这么小的切口来做手术!”“术后5天,居然看不到一点伤口……”
经眉弓入路切除脑肿瘤,并不是什么新鲜事!

国际内镜手术教授福教授
经典眉弓入路案例交流
INC国际神经外科医生集团旗下国际神经外科顾问团成员——年纪轻轻就成为国际神经外联合会(WFNS)颅底手术委员会主席的福洛里希教授(Sebastien Froelich)教授。作为神经内镜及颅底手术的国际高手,一直被国内外同仁誉为“国际神经内镜及颅底手术的教授”,通过神经内镜和显微镜联合手术治疗颅底疑难肿瘤较为见长。他神经内镜“筷子手法”,为国际神经内镜发展和颅底显微手术技术进步贡献卓著。
2023年11月25日,福教授再次来华参与“三届国际神经外科顾问团云端峰会”,并做出精彩演讲交流,发表“New trend in skull base surgery”颅底手术发展新趋势这一学术课题。对于眉弓入路,福教授也进行了深入解读,并交流了应用手术案例。
“随着神经外科技术的发展,现在的趋势无疑是采用更微创的方法,包括锁孔手术。近期,经眉弓锁孔手术也不是什么新鲜事,现在许多的颅底肿瘤可以采取更微创的方式完成。”
▼福教授经眉弓锁孔入路示意图交流


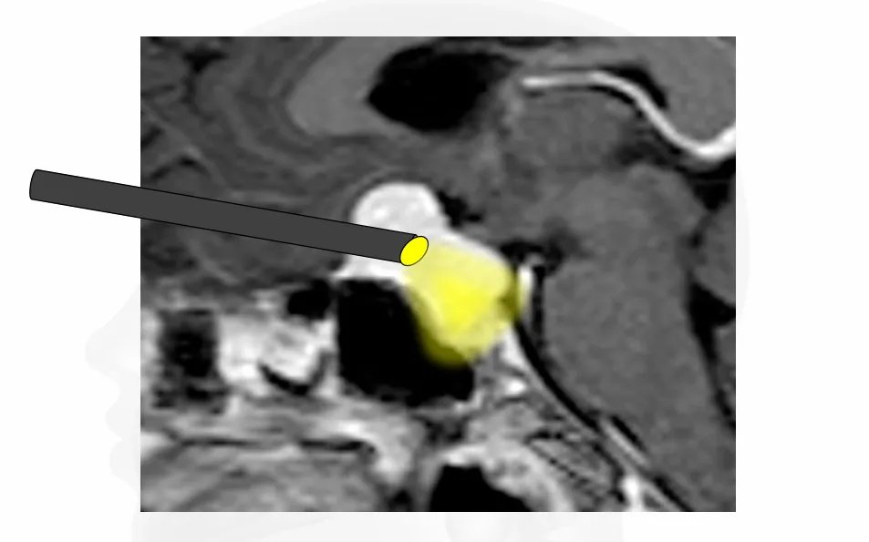
案例一:“经眉弓锁孔入路”全切蝶眶脑膜瘤

▼手术切口轮廓和标志

▼术后5天的良好面容外观(无疤痕)

“经眶入路手术方面,我不喜欢经眶入路的原因是它是眼睑入路,会给患者带来很大的后遗症率,影响外观和生活质量。如果我们想做微创手术,实际上是为了降低并发症率,但眼睑入路会造成几天甚至几周的眼部肿胀,如果出现面容留疤明显,那就是一个很大的面容美观问题。
因此,我们一直在使用眉部切口,而不是使用带眼睑的经眶切口,这就为我们提供了更好的视线来到达目标。这是一种简单的开颅手术,我们使用眉部切口的经验丰富,我们对眉部切口的美容效果也满意。”
案例二:“经眉弓锁孔入路”治疗鞍结节脑膜瘤
小科普:鞍结节脑膜瘤是什么?

鞍结节脑膜瘤(TSMs)毗邻视神经、颈内动脉(ICA)、大脑前动脉(ACA)、下丘脑、漏斗和脑下垂体,即使体积小也常压迫视神经而引起严重视觉障碍。很多时候患者首先就诊于眼科,经过一段时间排查,等检查出来肿瘤的时候,视力已经很差了,甚至术前视力丧失的病人也不在少数。
开颅手术是鞍结节脑膜瘤的标准手术方式,大多数患者预后良好,术后视觉功能好转。随着内镜和经鼻蝶入路的开展,不开颅切除鞍结节脑膜瘤也成为一种趋势。与此同时,对颅底肿瘤的锁孔入路研究也从未停步,其手术预后与内镜下经鼻入路的效果类似。
▼用磨钻“打孔”

▼取出肿瘤瞬间

▼手术切口缝合

视力丧失竟是得了鞍结节脑膜瘤
INC另一国际内镜手术教授这样手术
“Endoscope-assisted microsurgical resection of a tuberculum sellae meningioma in a 61-year-old woman who presented with visual field deficit and visual loss”
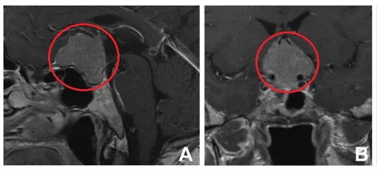
人到中老年,视力变差很容易就会想到是“老花眼”,从而被忽视。61岁的Emmy,初期视力变差时就以为自己是“老花眼”,一直没有治疗。没想到视野也出现缺损,因为还能够维持正常地生活。Emmy仍没怀疑过自己视力变差的原因,没想到然后竟视力丧失。医院检查,头颅磁共振提示:鞍结节脑膜瘤。
▼T1加权增强矢状面(A)和冠状面(B)磁共振成像显示鞍结节脑膜瘤。

不开颅从眉弓入路取瘤靠谱吗?
国际内镜教授成功手术
主刀医生:INC国际神经外科医生集团旗下国际神经外科顾问团的德国Henry W.S.Schroeder教授

▼(C)经眉切口眶上入路。

▼(D)肿瘤(T)外侧的右视神经(ON)。

▼(E)30度内窥镜检查显示左侧颈内动脉(C)和垂体柄(P),显微镜下未见。

▼(F)左侧视神经(ON)向颈动脉(C)外侧移位,并因肿瘤压迫导致神经变薄。

▼(G)右侧视神经(ON)下肿瘤(T)的识别。

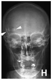
▼(H)术后x线片显示开颅面积(箭头)和骨瓣2颅钉固定(B)。Braun Melsungen AG,德国Melsungen)夹具。

▼(I)术后4月的照片显示良好的切口外观效果

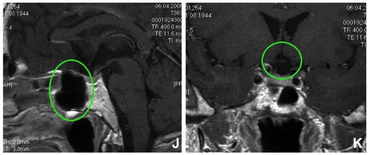
▼术后5年进行的t1加权增强矢状面(J)和冠状面(K)磁共振成像扫描显示无肿瘤残留或复发。

这台手术由INC国际神经外科医生集团旗下国际神经外科顾问团的德国Henry W.S.Schroeder教授亲自操刀,Schroeder教授作为德国以及国际神经内镜专家,在国际神经外科学界享有盛名。他经常作为特邀讲师指导国内神经外科专家开展垂体瘤、脑膜瘤等神经内镜手术技术培训,普及神经内镜手术在国内的应用,与国内神经外科专家共同交流进步。Schroeder教授还和德国其他教授一起合著、编纂了《神经内镜手术》一书。在神经内镜设备领域出名的小儿神经内镜Lotta内镜就是Schroeder教授在2004年发明。


由Schroeder教授参与编纂的《神经内镜手术》
常用的前沿颅脑手术入路
眉弓入路
1971年Wilson首先提出“锁孔”入路(keyhole approach)的概念,1999年Perneczky有关“锁孔”神经外科专著的出版,标志着该项技术已走向成熟。由于体现微创理念,锁孔手术日益受到广泛的应用,它借助显微镜的“门镜”效应,充分利用有限的空间,获得较好的术野暴露和操作空间,确定了手术的顺利进行和疗效。
那么这种手术入路与开颅相比有什么优势呢?
1、与标准方法相比,不牺牲手术效率和顺利性。
2、高度通用的入路,可以到达大部分前颅底区域、鞍上、海绵窦外侧、近段侧裂、Willis环、额底和颞叶以及中脑腹侧。
3、软组织损伤较小,减少术后疼痛,恢复更快。
4、手术时间短,开颅只需钻一个孔,无需剃头和剃眉毛,术后手术切口瘢痕不明显,保持容貌外观。
5、减少脑组织牵拉,优化视野,减少组织损伤。尽量减少脑组织暴露,有助于硬脑膜和颅骨保护脑组织。
哪些肿瘤可以经眉弓入路切除?
垂体瘤、颅咽管瘤、鞍结节脑膜瘤、嗅沟脑膜瘤、额较脑内肿瘤及视神经胶质瘤等肿瘤;颈内动脉、大脑前动脉、大脑中动脉及后交通动脉动脉瘤亦可采用此入路;甚至结合神经内镜的使用可以行终板造瘘术、视神经管减压术及脑脊液鼻漏修补术等。
- 文章标题:因病制宜、巧妙设计——这些脑肿瘤原来可以经眉弓入路切除!
- 更新时间:2024-06-23 15:59:49
400-029-0925




