INC国际儿童脑瘤大咖、世界小儿神经系统专业杂志《Child´s Nervous System》现任主编Concezio Di Rocco教授发表研究《Epilepsy surgery of posterior quadrant dysplasia in the first year of life:experience of a single centre with long term follow-up》(出生后第一年行后象限发育不良癫痫手术:单中心长期随访经验),以下是研究简述。
01
PART
研究概要
后象限发育不良(PQD)是一种罕见的皮质发育不良变异,仅累及单侧半球后部,常表现为“灾难性”早发难治性癫痫。目前关于出生后12个月内手术治疗的报道仅限于零星个案。
2002–2005年间,我中心共收治4例小于1岁、药物难治性癫痫合并PQD患儿,均接受手术治疗。
随访结果:1例全程无发作(EngelⅠ);其余3例癫痫复发,其中2例需再次手术,1例经药物调整达EngelⅡ,另2例分别仅获部分改善(EngelⅢ)和轻微减少(EngelⅣ)。
本组癫痫及神经心理结局主要受持续对侧间期放电影响,而非手术时机决定。若初诊脑电图已存在对侧独立癫痫样放电,应向家长说明疗效不确定性;尽管如此,发作频率仍可望下降,便于日常照护。

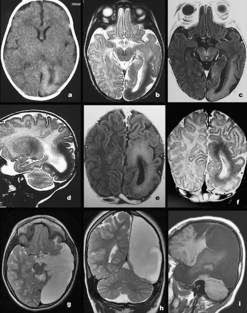
图1病例1(a、b)、病例2(c、d)与病例3(e、f)术前(a、c、e)及术后(b、d、f)轴位T2WI示患侧枕叶及颞顶叶容积缩小,伴弥漫性皮质不规则增厚:病例1、3以多小脑回为主,病例2为巨脑回;病变皮质与未髓化皮质下白质相比呈轻度低信号。术后图像可见颞-顶-枕区脑脊液充填的手术残腔。

图2病例4
a轴位CT:左侧颞、枕叶容积缩小,皮质显著增厚,以巨脑回为主;枕叶皮质光滑,脑沟回稀少,相对于未髓化皮质下白质呈轻度高密度(CT)、T1高信号(b、e)、T2低信号(c、d、f);左侧侧脑室异常扩大。
g–i术后MR(轴位T2、冠状T2、矢状T1):示颞-顶-枕区脑脊液充填手术残腔,病灶已完全切除。

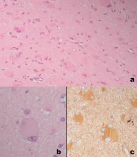
图3代表性组织病理图像:
a)皮质发育不良伴异常皮质构筑(H&E染色);
b)高倍镜下可见气球细胞,胞质呈玻璃样嗜酸性,缺乏细胞突起(H&E染色);
c)异位神经元周围突触素免疫染色强阳性,位于皮质下白质。
02
PART
研究结论
对于药物难治性皮质发育不良患儿,即使病变累及多个脑叶(如象限型),早期手术仍是治疗核心。尽管样本量有限,本组证实:生后数月内手术者,癫痫预后最重要的负性预测因素是术后持续存在的对侧慢波及阵发性快速异常脑电活动;该持续性对侧异常脑电同样独立于手术年龄,显著影响神经认知结局。相反,最终切除范围与远期预后并无明显关联。
03
PART
关于作者



Di Rocco教授一生撰写或参与撰写的儿童神经外科部分著作
- 文章标题:【INC国际大咖研究成果】出生后第一年行后象限发育不良癫痫手术:单中心长期随访经验
- 更新时间:2025-10-20 11:29:12
400-029-0925


