胶质瘤是癌症吗?是绝症吗?
得了胶质瘤预后能活多久?
可以长期生存的吗?
有获治愈的吗?
……
脑胶质瘤是指起源于脑神经胶质细胞的肿瘤,是较常见的原发性颅内肿瘤,2021年版WHO中枢神经系统肿瘤分类,将脑胶质瘤按恶性程度分低级分为I~IV级,其中I~II级为低级别脑胶质瘤,III~IV级为高级别脑胶质瘤。

国内外有众多学者就胶质瘤级别、切除程度与预后生存期和生存质量的关系进行过统计研究。
结果表明:
低级别胶质瘤(如:毛细胞型星形细胞瘤、少突胶质细胞瘤、室管膜下瘤等)顺利全切,预后患者通常可解除或缓解术前症状,获得长期生存的更好治疗效果。

高级别胶质瘤较大水平顺利切除,预后患者通常可缓解术前症状;降低肿瘤细胞负荷;明确病理诊断,为辅助放/化疗创造条件;延长术后复发时间和生存期。

得了这些脑胶质瘤,有获“治愈”或长期生存?
毛细胞型星形细胞瘤
毛细胞型星形细胞瘤,俗称毛星,是一种生长缓慢、边界明显、可伴囊性特点的良性肿瘤,WHOI级,经全切可获治愈,中位生存期达40年,复发几率较低。毛星好发于儿童和年轻人,若肿瘤较小,且病人无临床症状,也可密切随访观察,暂不治疗。当毛星发生于视路(视神经、视交叉、下丘脑)、脑干时,手术难度较大,很多时候甚至被视为不可手术、只能放化疗。
毛星好发部位包括:视神经;视交叉/下丘脑;丘脑和基底节;大脑半球;小脑;脑干(背外侧)
毛细胞型星形细胞瘤的治疗可以根据具体病情选择:神经外科显微镜下切术、放疗或随访观察。INC国际神经外科专家主张应该进行成功的全切或近全切手术,这是治疗脑瘤、延长生存期较合适的方法。
巴教授疑难手术案例:7岁男孩冒疫情赴德国顺利全切
2020年末,6岁的辰辰在遭遇交通事故后,开始出现频繁头晕,就医检查发现小脑占位,提示低级别星形细胞瘤的可能,并且占位所在位置已压迫四脑室和脑干,中线结构局部左移,手术稍有不慎就可能出现瘫痪、长期昏迷等严重后果。
较后,辰辰的父母选择向INC德国巴特朗菲教授寻求咨询意见,教授表示:将尽力全切脑瘤。手术风险低于1-2%,如果确诊为毛细胞型星形细胞瘤,术后复发率将低于2-3%。


患者术后病理报告
2021年初,辰辰由母亲陪护赶赴德国接受教授手术治疗。在术中神经电生理检测护航下,巴教授顺利全切肿瘤,术中无神经损伤,术后辰辰恢复状态很好。

术后5天,辰辰在护士和母亲的陪伴下行走练习

离开德国的当天,辰辰在酒店楼下开心的玩雪
回国后,辰辰的妈妈多次致谢INC,她说:"辰辰术后恢复状态很好,很多医生都看不出他做过手术,是INC和巴教授让孩子有机会继续感受这个国际的美好!“
毛黏液样型星形细胞瘤
毛黏液型星形细胞瘤是一种边界较清、缓慢生长的良性肿瘤,在2007年WHO分类中被归为II级,但在2016年的WHO分类中被归为I级。此类型脑瘤生长速度比毛细胞型星形细胞瘤快,常发病于婴幼儿群体。
毛细胞粘液样型星形细胞瘤多发生于下丘脑和视神经(视神经等),症状包括早熟、呕吐和视力不佳等。具有播种的特性,生长速度快,所以发现病变应尽早治疗。幸运的是,该类型肿瘤化疗比正常的毛细胞星形细胞瘤效果更好,但肿瘤随着年龄的增大,可能会分化为毛细胞型星形细胞瘤。考虑在某些情况下,肿瘤长大后可能需要手术切除,如果患者初期能接受手术治疗,要尽可能的早手术。
毛细胞粘液样型星形细胞瘤与毛细胞型星形细胞瘤比较

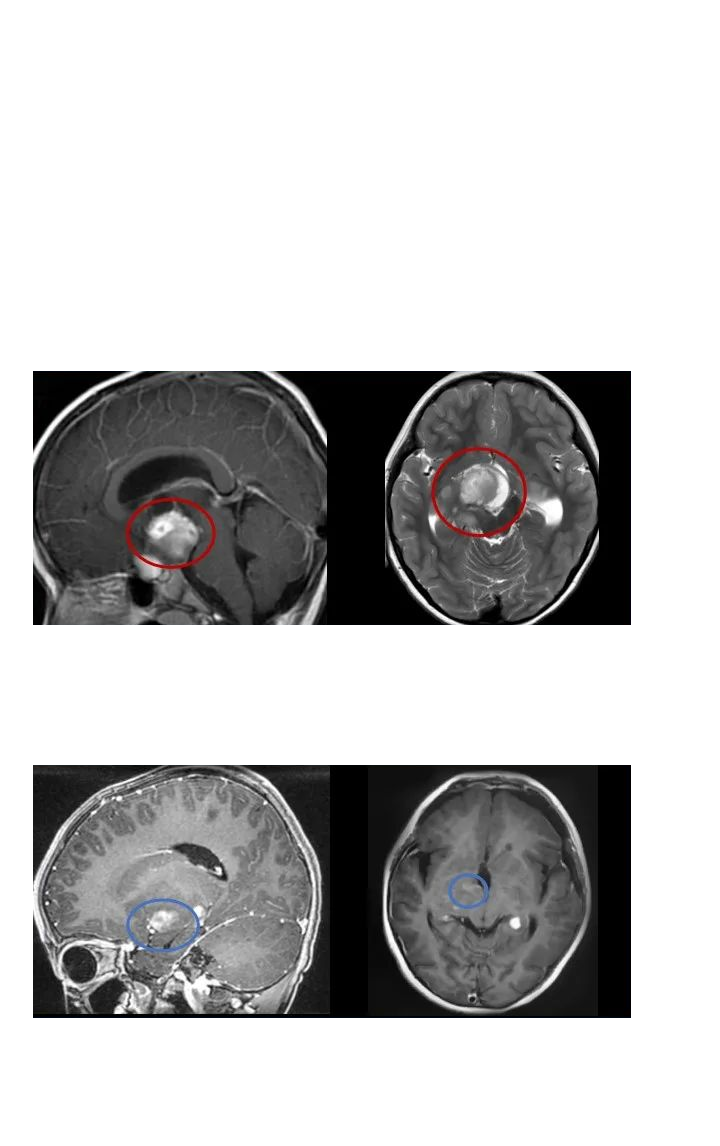
巴教授疑难手术案例:3岁患儿如何摆脱脑瘤、拯救视力?
3岁的康康还没来得及长大看国际,就因患视神经下丘脑胶质瘤面临着失明风险,父母该如何拯救他呢?
视神经下丘脑胶质瘤,又称视路胶质瘤,大部分视路胶质瘤,特别是累及视交叉和下丘脑的病例,呈隐袭性生长,可导致失明。虽然这类肿瘤生长缓慢,但如果不进行治疗甚至会导致死亡。
由于康康的肿瘤累及视神经、视交叉、视束、视放射、丘脑底垂体轴、三脑室、脑底动脉环等,他出现了视力下降、头痛、呕吐等症状,随之而来的可能还有由内分泌异常引起生长发育异常、认知发育缓慢和心理、行为功能障碍,三脑室的肿块产生阻塞性脑积水等……


患者术后病理报告
幸运的是,康康的父母较后联系到INC国际神经外科医生集团,并咨询成为2021年巴教授来华疑难手术示范的一个病人。在手术中,康康的肿瘤得到了顺利次全切,原有视力得到保留。术后病理结果为毛细胞粘液样型星形细胞瘤,这属于WHO2级胶质瘤,也意味着康康配合术后化疗以及后期的新型放疗可以得到比预期更好的预后。

手术后,INC巴教授查看康康的情况

术后康康恢复良好,可下地独自行走,原有视力保留,手指活动正常
室管膜瘤
室管膜瘤来源于脑室与脊髓中央管的室管膜细胞或脑内白质室管膜细胞巢的中枢神经系统肿瘤,在胶质瘤中占18.2%,属于WHOII级。男多于女,多见于儿童及青年,约75%位于幕下,幕上仅占25%。肿瘤大多位于脑室内,少数瘤主体在脑组织内。成年室管膜瘤患者预后5年和10年生存期分别为57%和45%,全切或近全切肿瘤是影响预后生存期的重要独自因素。
许多研究表明,完全手术切除可为室管膜瘤患者提供较大的治愈希望。因此,手术目标应为顺利条件下的全切除。实际上,有30%-50%的概率可以完全切除后颅窝室管膜瘤。为了提高后颅窝室管膜瘤的手术顺利性,神经外科医生可以利用术中神经电生理监测下颅神经和脑干通路以及进行神经导航。
巴教授疑难手术案例:脊髓髓内肿瘤全切术后没有复发、无后遗症,行走自如!
50岁的刘先生,2年前因颈部及肩部疼痛就医检查出脊髓髓内肿瘤。由于肿瘤生长在高段颈髓内,被脊骨包围,手术暴露困难,术中脊髓稍受挤压损伤,就可能造成长期性瘫痪。很多医生都建议保守治疗。
但是,刘先生不愿意每天都生活在疾病的折磨中,坚持要找到更好的治疗方案。幸运的是,他后来从病友圈得知INC德国巴特朗菲教授2021年会在中国开展手术示范,于是通过INC国际神经外科医生集团,咨询到与巴教授进行咨询咨询和手术治疗的机会。
结合刘先生的既往病史和影像资料,巴教授表示:可以进行手术,且手术风险很低。如果术中明确病变是肿瘤,可以实现全切,但如果是炎症性病变,则仅切除一部分用于组织病理学诊断,再进行后续对症治疗。


患者术后病理报告
手术当天,在术中神经电生理监测等高医疗设备辅助下,巴教授顺利全切肿瘤,病例诊断结果为室管膜瘤。术后3天刘先生就可以下地自如行走,术前症状大多已消失,术后无长期性并发症,也无需其他辅助治疗。术后1年INC回访刘先生时,他表示身体恢复良好,感谢巴教授给了他重获新生的机会。
胶质瘤手术治疗总结
在以往的案例研究中,低级别胶质瘤如毛细胞型星形细胞瘤、少突胶质细胞瘤、室管膜下瘤等,通常全切可获得长期生存的更好治疗。
当然,不管是低级别还是高级别胶质瘤,首先要寻求较佳的手术切除效果,达到尽可能地全切,这能较大水平地控制肿瘤复发和提高预后水平。尽管有些胶质瘤长在脑干、丘脑、视神经或基底节等复杂位置,但在当前医疗技术水平下,国际专家已经能够突破“手术禁区”,尽可能实现肿瘤全切,为患者争取长期生存且确定术后生活质量的良好预后。
- 文章标题:得了胶质瘤能活多久?这几种胶质瘤全切有望获长期生存
- 更新时间:2022-08-11 17:22:24
400-029-0925


