颅颈交界区肿瘤位置复杂深在,手术切除生长在该区域的颅底肿瘤比较困难,肿瘤可能侵袭周围骨性结构并压迫或包绕脑干、椎基底动脉及分支和多组颅神经,术后容易发生颅颈交界区不稳定以及严重的脑干和其他重要结构的损伤,造成肢体瘫痪、呼吸循环衰竭等手术风险较大。
自Frazier和Spiller于1922年成功切除颅颈交界区肿瘤以来,虽然许多学者对处理此区域病灶的入路进行了诸多探索,如经口入路,可直接暴露颅颈交界区腹侧,但术后存在脑脊液漏、感染等并发症,且对于肿瘤主体位于外侧时存在暴露不良、切除不全等缺点;近期较流行的扩大经鼻入路对于颅底中线部位病变具有良好的优越性,但仍同样存在经口入路面临的问题。
▼福教授颅颈交界区肿瘤入路


颅颈交界区脊索瘤是“国际疑难”手术之一,特别是当肿瘤侵犯到硬膜内和脑组织、神经血管黏连时。INC旗下国际神经外科顾问团(WANG)成员、国际神经外科联合会(WFNS)颅底手术委员会前主席福洛里希教授(福教授)及其团队拥有着国际上较大的脊索瘤患者群,精钻脊索瘤等颅底复杂肿瘤20多年,至今已经拥有近300例成功脊索瘤案例,80%以上都是高难度颅底和颅颈交界脊索瘤。大部分脊索瘤患者在接受福教授团队治疗前均在其他医院做过手术,这类患者手术治疗更加困难。福教授手术的大多数患者得到顺利全切、无并发症、低复发率。无进展生存期:5年和10年分别达到52.1%、23.6%;总生存期:5年和10年分别达到75.1%、52.9%。

以下为INC法国福教授的6则精彩高难度颅颈交界区脊索瘤案例,更多福教授精彩脊索瘤案例关注INC官方公众号。
40岁男士-福教授鼻内镜下手术全切
病情回顾:
一名40岁脊索瘤男士,神经系统检查正常,既往无病史,颈痛病史2年。INC国际神经外科医生集团旗下组织国际神经外科顾问团(WANG)成员、法国巴黎Lariboisiere大学医院神经外科教授兼主席福洛里希教授为其经鼻神经内镜全切除后,无神经功能缺损,无肿瘤残余,无其他并发症,这对于术后长期生存效果有较大意义。术后患者接受了及时的质子治疗,目前预后良好。

上图术前术后影像资料对比,术前(红色箭头):图A、B显示了下斜坡及齿状突可见中线占位病变,影像学表现为脊索瘤侧伸有限。术后(蓝色箭头):图C、D显示了用于闭合瘤腔的脂肪移植物,没有肿瘤残留。术后MRI显示完成了肿瘤全切除。术后患者无神经功能缺损。病理检查显示为典型脊索瘤。
▼术中情况:术中通过磁共振成像(MRI)监测术后神经功能缺损和术后肿瘤体积。在鼻内窥镜下以30度和45度角行双鼻孔入路。随后,制作一个心形皮瓣,钻取斜坡以暴露病变(图2)。在初始减压后,轻轻钻取C1环以到达齿状突内及周围的肿瘤,并进行完整切除。

37岁女士-5年4次手术还能再次手术吗?
病情回顾:
37岁的Carol生活幸福、事业稳定。本以为能够陪伴孩子一起成长下去的她,居然被脑瘤这一恶魔缠住了。5年前,在一次体检时不幸被确诊为颅颈交界区脊索瘤,期间Carol经历了4次手术及多次化疗,然而不幸的是,还是没有根除脊索瘤,肿瘤凶猛地蔓延至大脑斜坡、椎动脉、岩尖、脑干等复杂又关键的区域。如果不做手术,所剩时日无多,但做手术却早已丧失较佳时机。难度大、风险高、治愈率低,先前手术的医院已不愿再次为Carol手术。

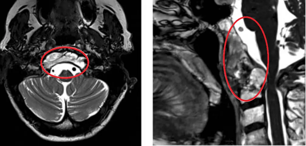
图1:内镜下鼻内镜入路前的术前影像。(A-D)MRI T2 WI显示一个较大脊索瘤延伸至椎前间隙和齿状突周围。肿瘤横向延伸至舌下管和颈静脉孔,并向内侧延伸至硬膜内间隙。肿瘤从斜坡中部延伸至枢椎齿状突周围。
治疗过程:
根据Carol目前复杂的病情,福教授及时调整策略,采取经鼻内镜+开颅显微镜分阶段手术。一阶段经鼻内镜切除中线为主的肿瘤,在二个远外侧入路开颅切除侧方肿瘤,达到较大水平的顺利切除肿瘤

图2:颅颈交界区肿瘤手术治疗策略分析,肿瘤的旁正中部分可以通过经鼻内镜手术切除。枢椎齿状突周边肿瘤(A和D处红色圆圈)、侵犯硬膜内部分的肿瘤与后循环接触(B和E处蓝色圆圈)和先前乙状窦后入路手术的粘连(C和F处黄色圆圈),这些部位的肿瘤更适合二期远外侧开颅手术。
26岁男士-肿瘤较大压迫脑干
病情回顾:
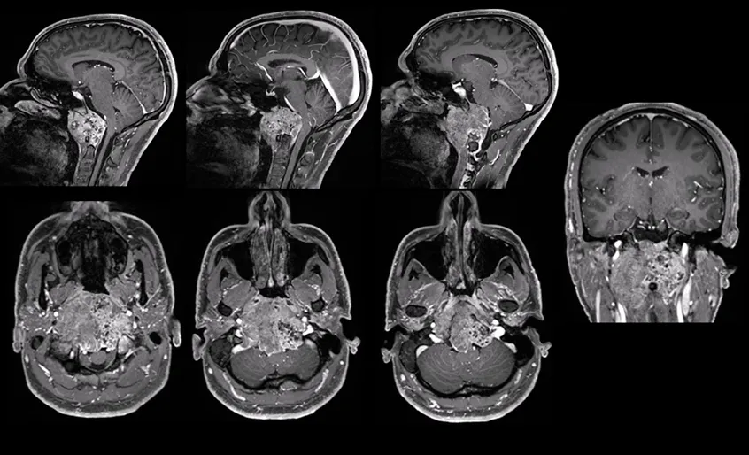
患者26岁,男,主诉颈部疼痛、严重吞咽障碍、双侧舌下神经麻痹(右侧完全麻痹伴舌萎缩,左侧部分麻痹)。MRI和CT扫描(图3A-C)显示较大颅颈交界区脊索瘤,肿瘤较大直径达10cm、瘤体积96.5cm³,肿瘤并向双后外侧延伸浸润性生长,较多侵犯右侧,肿瘤延伸至椎前间隙、下斜坡、双侧枕骨髁、一颈椎C1的前弓以及C2的齿状突,较大肿瘤压迫脑干和双侧椎动脉移位,并向硬膜内压迫扩张。

治疗过程:
手术记录:福教授考虑肿瘤已经导致颅颈交界区骨质结构的广泛损害和侵蚀,术前评估手术后会出现颅颈不稳定。因此,经远外侧经髁入路进行显微镜+神经内镜双镜联合切除肿瘤,然后枕颈融合术(OCF)。
▼俯卧位手术体位摆放
=
▼使用神经内镜辅助探查肿瘤,备行内镜手术

▼“筷子技术”神经内镜切除对侧肿瘤

▼使用自体脂肪填充瘤腔及关颅

▼使用PMMA材料枕髁重建

使用Roy-Camille技术进行枕颈融合术(C0-C3-C4-C5),固定根钉以曲线方式横向弯曲,为后续质子治疗创造一个无金属的定位及治疗通道。术后CT和MRI显示肿瘤完全切除。病理证实为典型脊索瘤。在术后恢复中,患者吞咽功能好转和颈部疼痛缓解。8周后,他接受了质子治疗。
▼将根钉弯曲以便于后续质子治疗


A和B:术前CT扫描显示颅颈交接区脊索瘤,侵犯斜坡-枕髁并呈溶骨性损害。C:术前MR显示肿瘤较大延伸,并浸润长入硬膜内的脑实质。D:术后CT显示PMMA枕髁重建稳定良好。E:术后三维CT显示C0-C3-C4-C5枕颈融合稳定,与根钉弯曲有利于PBRT治疗。F:术后MR显示全切肿瘤和脑干延髓占位压迫得到解除。
74岁女性-部分切除后复发该如何治疗
病情回顾:
74岁女性因慢性颈部疼痛病史1年而就诊,诊断为颅颈交界区脊索瘤,该脊索瘤主要侵犯C2,未突破至枕骨,在2014年外院行经鼻内镜颅颈交界区脊索瘤的部分切除术,术后接受辅助质子治疗。
2019年初随访MRI,显示脊索瘤复发,颅颈交界区脊索瘤病变大小为51.3×74.3×25.9 mm,脊索瘤已经引起C2椎体病理性骨折及C1水平脊髓压迫,伴随C1右侧方、C1前后弓、C2椎体侵犯,齿状突后移和C1水平的侧向移位(图6)。肿瘤侵袭上三分之一的髁突和斜坡水平(图6a-c)。肿瘤侵袭延伸至C5-C6水平,在椎前间隙浸润延伸,并压迫C5和C6神经根,并包裹椎动脉椎动脉的V2段(图6d)。临床检查显示神经反射亢进和Lhermite征阳性。
▼图a-b术前MR显示颅颈交界区较大脊索瘤,51.3×74.3×25.9 mm大小,浸润性生长。

▼图显示脊索瘤向周边浸润生长,下至C5-C6水平的脊髓瘤侵犯浸润。图片

原本需要2种不同手术入路、2次不同时期完成的复杂手术,国际脊索瘤教授福洛里希教授竟利用其的“筷子技术”内镜+显微镜双镜联合使用前-远外侧入路一次全切了较大脊索瘤,为患者较大化顺利切除、避免手术痛苦、避免肿瘤的残留复发。
▼E完全切除肿瘤术后用骨水泥填充术腔,从中斜坡到C2椎体水平。术后10天进行枕-颈固定术。

▼F手术顺利,术后MRI显示肿瘤完全除,患者在一开始手术后10天接受了枕颈固定,没有任何并发症。
术后MRI显示两个病灶完全切除。术后进行质子治疗,术后9个月未观察到影像复发的证据,此外,临床检查显示没有神经系统缺陷,患者恢复正常的日常活动。

21岁女性-前外侧入路成功切除肿瘤
病情回顾:
21岁法国女孩,出现颈部疼痛,MRI检查显示肿瘤集中在枕骨大孔和颅颈交界区的内部,病变拓展至硬膜内,累及双侧椎动脉。该名脊索瘤患者还伴有明显的骨质损害和硬膜内延伸。

术前MRI
治疗过程:
福教授为这名患者使用一种不太常见的颅颈交界区手术入路——前外侧入路。这种手术入路初期由福教授的导师伯纳德·乔治(Bernard George)阐述,当然福教授也证明了他对这一手术入路的熟练掌握及高超的手术技术。使用前外侧入路并以进入颅颈交界区,顺利地切除肿瘤。
▼手术体位:仰卧位

▼手术切口:

由于部分骨质被切除,术后几天接受了枕颈融合术。固定头颈部来保障头部的稳定性,以确保患者的生命顺利。
45岁男性-开颅+内镜肿瘤得以顺利全切
病史回顾:
一名45岁的男士被发现有颅颈交界区脊索瘤后,福洛里希教授为他进行的是开颅手术,同时辅以内窥镜探查,肿瘤得以完整切除,无其他并发症。
治疗过程:
使用前外侧入路的开颅手术的说明性案例。左侧图像:术前MRI显示颅颈交界区脊索瘤包裹左侧椎动脉硬膜内部分(箭头)。中间图:从右侧显示手术入路的示意图,以及从左侧椎动脉逐步剥离肿瘤的术中图像,在手术结束时内镜下可以看到两个保存完整的椎动脉。右图:术后MRI显示肿瘤完全切除,左侧椎动脉通畅(箭头)。

福洛里希教授脊索瘤经验总结
很多大型研究通常受到随访时间的限制,福洛里希教授的脊索瘤系列研究的优势在于,在一个多学科颅底中心,由同时具有丰富内镜经鼻入路和开颅手术经验的神经外科医生治疗,这些患者进行了长期稳定的随访(平均59.2个月)。
福洛里希教授及其神经外科手术团队对1991年至2020年在其医院手术治疗的斜坡和颅颈交界区脊索瘤进行了回顾性研究,介绍了他们29年来治疗斜坡和颅颈交界区脊索瘤的经验。


研究结果显示尽可能较大范围切除是重要的,全切和次全切在预后上有很大差距,全切达到了78.1%,术后辅助质子治疗效果也是优于常规放疗。


▲而这项研究数据也显示全切加质子治疗预后就是较好的。根据切除范围和辅助放疗的生存率的Kaplan-Meier曲线:无进展生存率(C)和总生存率(D)。与其他治疗方案相比,接受全切除+质子放疗的患者的无进展生存率和总生存率显着更高。
福洛里希教授也强调了初次治疗在脊索瘤患者中的重性要,因为初治的患者的手术肯定是要简单一些,对于脊索瘤的切除是一个一次性的、一锤子买卖。如果一开始没有做好,后面将困难。解剖标志的失去等,都对手术及全切造成很大的困难。

- 文章标题:顺利全切、无并发症、低复发率——6例高难度颅颈交界区脊索瘤实例解析
- 更新时间:2024-05-22 09:41:16
400-029-0925




