
Harey Cusing在1932年对颅咽管瘤的描述说,这是神经外科医师所面对的较为困难的问题之一。从一例颅咽管瘤手术(Halstead,1909年)到现今,经过了近百年的发展,颅咽管瘤的手术治疗仍然是对...

什么是颅咽管瘤?严重吗?颅咽管瘤(craniopharyngioma)是儿童(15岁以下)常见的非胶质细胞性肿瘤,我国每年新增儿童颅咽管瘤650~2600例。国外文献报道儿童颅咽管瘤占儿童脑肿瘤的6%...

颅咽管瘤 是一种中枢神经系统肿瘤。中枢神经系统肿瘤可以是癌性的,也可以是良性的。癌性肿瘤是恶性的,这意味着它通常生长迅速,可以扩散到身体的其他部位。良性肿瘤意味着肿...

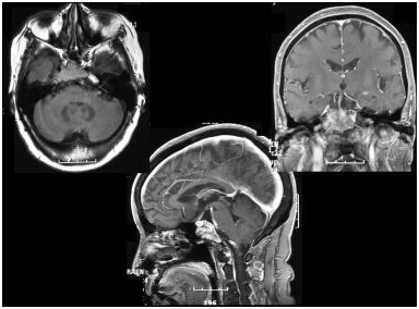
颅咽管瘤是儿童下丘脑和鞍上区较常见的病变,外胚叶形成的颅咽管残余的上皮细胞,发展起来的一种常见的胚胎残余组织肿瘤,是颅内较常见的先天性肿瘤,常伴有垂体功能损害。由...

颅咽管瘤 是起源于神经上皮的肿瘤,由鳞状细胞沿原颅咽管道长出。它们的发病率在每10万人年0.5至2.5之间,不因性别或种族而有所不同。颅咽管瘤占全部颅内肿瘤的1.2%至4.6%。它们呈...

随着更多的长期存活者,儿童 颅咽管瘤 的存活率一直在提高。例如,对1980年至2007年德国儿童癌症登记处的审查显示,其5年生存率从1980年代的91%提高到1990年代的98%,总体10年生存率...

颅咽管瘤 是一种少见的中枢神经系统(CNS)良性肿瘤,被认为是由脑垂体附近的Rathkes囊残余形成。它们占全部原发性中枢神经系统肿瘤的不到1%,但却是儿童较常见的颅内非神经胶质肿瘤...

不做手术行不行?,相信这是每个将要手术或者需要手术的患者都关心的问题。普通人都是恐惧手术的,很多患者认为手术风险较大,对于各种疾病都希望能不做手术,能寻求各种保守治...

对于 颅咽管瘤 ,很多人可能并不陌生,这是一种常发于儿童的颅内肿瘤,是由颅咽管残余上皮生长的肿瘤。胚胎3周时,外胚叶首端腹侧的部分上皮向内凹陷生长,成一盲管,称为腊特...

颅底肿瘤 是一组具有不同临床意义的组织学类型。最近的手术技术的进步,现在允许顺利切除这些肿瘤与可接受的发病率。过去,颅底肿瘤(SBNs)的研究主要集中在传统的终点,如肿瘤切...