
老司机常说要眼观六路,但很多人可能不知道,这个看似简单的能力,其实高度依赖一条纤细的神经外展神经。它就像汽车转向系统里的方向机,精准控制着眼球的左右转动。当我们需要查看后...

颅内表皮样囊肿是一种罕见的颅骨肿瘤,仅占颅内肿瘤的1%。颅内表皮样囊肿通常位于桥小脑角区和鞍区,以及岩尖、视交叉区、脑干或脑室内。 约25%的中枢神经系统表皮样囊肿位于板障内,其...

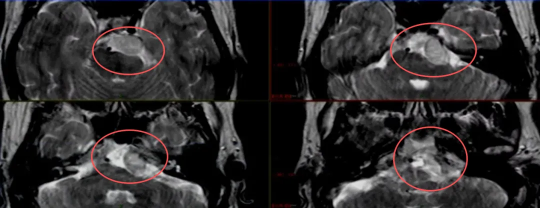
岩斜区位于颞骨岩部背面与枕骨斜坡部的岩斜裂汇合处,从岩骨尖至颈静脉孔。内侧至斜坡中线,外侧至第Ⅴ、Ⅶ和Ⅷ脑神经,上缘为鞍背,下缘为颈静脉孔水平;下方为枕骨大孔区。岩斜区肿...

怀孕生子,对于刚当上妈妈的人来说可谓是人生的大喜事。孕妇患脑肿瘤,对其本人、家庭及其医生来说都是一件意外的事。妊娠特定的生理变化不可避免地影响到疾病的诊断治疗的性质和时机...

5年时间,12岁的小海终于卸下重担,与脑中巨大的脊索瘤说了拜拜。从此,他迈向新生活的脚步不再沉重,呼吸到的每一口空气都是香甜的。 孩子喜欢运动,请问福教授他何时可以尝试剧烈运...

我们的脑壳很坚硬,但它们可不是全封闭设计。大脑的神经、血管都需要与外界连通,脑壳上也为连接这些线路留好了出口。脑壳上,最大的那个脑洞叫做枕骨大孔,它位于颅骨的底部。这里是...

女儿的斜视竟差点酿成大祸 女儿平安长到3岁时,突然出现斜视。我不敢耽误,将她带去眼科检查。经过两年的物理治疗,女儿的斜视果然消失了,我大松了一口气,当时所有人都认为治疗成功...

James T.Rutka(鲁特卡)教授曾任世界神经外科学院院长,目前是世界神外专业杂志《Journal of Neurosurgery》主编,30多年来深耕儿童神外研究,带领团队不断突破,从脑瘤分子分型、精准治疗、新药...

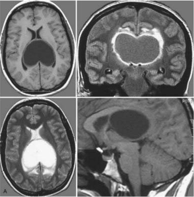
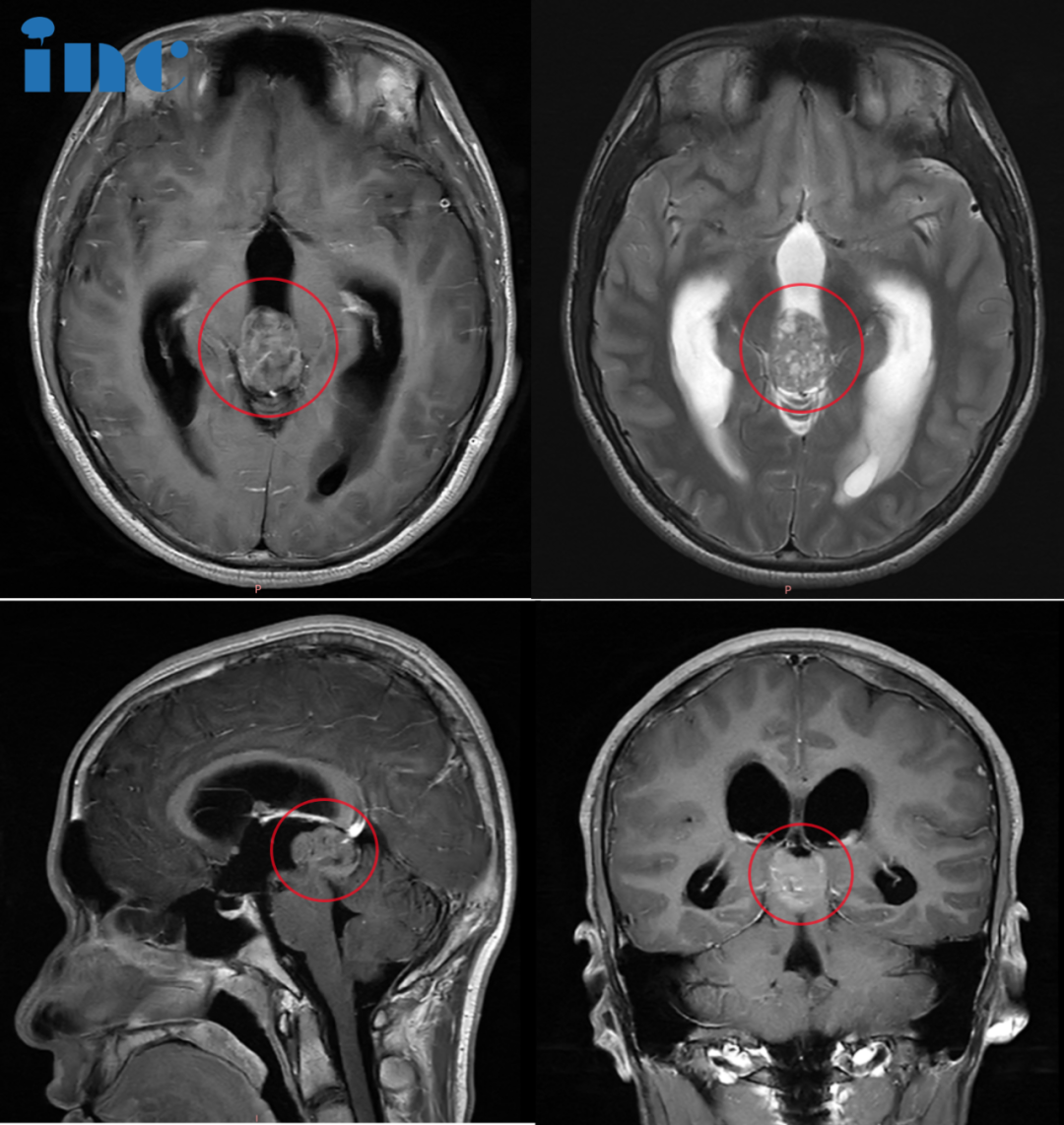
.1. 与瘤共存6年 希望越大,失望越大 10岁,林林被查出一个位于松果体区的钙化病变。由于位置特殊,体积较小,医生均建议保守观察。钙化,意味着肿瘤生长缓慢,林林一家放下心来,希望在...

脑肿瘤手术要在头上动刀,很多病患家庭还没做手术就被告知手术出现的各种可能并发症风险吓倒,宁愿保守治疗,能不手术就不手术,特别是疑难位置的脑瘤手术。 年纪小是否能够耐受这样...