
INC国际儿童脑瘤大咖、世界小儿神经系统专业杂志《Childs Nervous System》现任主编Concezio Di Rocco教授发表研究《Subcutaneous blood patch for iatrogenic suboccipital pseudomeningocele following decompressive suboccipital ...

开颅手术后有不少术后长期卧床气管切开或/并呼吸机辅助支持的患者,很多人询问为什么要气管切开?怎么护理?什么时候能脱机等? 气管切开呼吸机辅助呼吸,在很多术后中起着生命通道的...

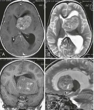
脑室内肿瘤是神经内镜手术的理想适应证,这类病变可经脑室系统自然腔道直达,内镜操作路径短且直接;又因肿瘤常阻塞脑脊液循环通路,引起脑室代偿性扩张,为内镜提供了充足的操作空间...

James T.Rutka(鲁特卡)教授曾任世界神经外科学院院长,目前是世界神外专业杂志《Journal of Neurosurgery》主编,30多年来深耕儿童神外研究,带领团队不断突破,从脑瘤分子分型、精准治疗、新药...

由于累及多个颅神经和血管结构以及脑干黏连,起源于岩斜区的颅底肿瘤仍是神经外科手术难度大、具有挑战性的难题。 翻译自Springer出版的《Practical Handbook of Neurosurgery From Leading Neurosurgeons》...

我的女儿瑟琳娜,在查出恶性脑瘤后最常跟我说的一句话是:妈妈,我没事。她仿佛一口深不见底的井,平静地吞下所有病痛,不愿意将脆弱表现出来,被人看见。可是,那年她才3岁。 我总是...

▼脑瘤凶猛侵袭▼ 短短4年,遭遇4次复发,每次复发都伴随着肿瘤的一再恶化。Ki-67指数更是从1%飙升至30%!7岁孩童究竟遭遇了什么骇人脑瘤,他又是如何逃出生天的? 额骨肿块揪出脑瘤谜团...

中秋吃螃蟹的习俗由来已久。俗语西风响蟹脚痒说的就是每年中秋之时,又到了吃螃蟹的季节。脑瘤患者可以吃螃蟹吗?当亲朋好友相聚一堂,面对满目的佳节美食。吃什么、不吃什么是神经外...

对于大多数患者来说,在脑袋上开刀动手术,是绝对的大手术。那么对于有着飞机出行需求的患者来说,他们尤其关心开颅手术后能坐飞机吗?多久可以坐飞机? 有报导说,随着飞机升高、舱...

孩子开颅手术后能恢复到从前吗? 开颅术后1年多,小欧的随访报告再一次带来了好消息。 我很高兴得知孩子目前没有明显症状,也很欣慰看到他的视频,可以看出他现在是个完全正常的孩子。...