脑干这块地方,对咱们脑子太重要了。要是这儿出问题,轻的可能脖子以下动不了,重的连自己喘气都费劲,甚至会要命。
这地方还特别小,做手术难度大得很。病变跟颈髓、神经、血管贴得近,稍微有点不小心,就可能瘫了。这种手术,在神经外科里算是最棘手的之一。不过46岁的May女士,却凭着一股劲闯过了这关,她的经历或许能给不少病友提提气。
May女士46岁右侧梭形动脉瘤
病情突袭:
从“说话吃力”到“生命警报”
最先让May察觉不对劲的,是说话越来越费劲,原本能流畅和家人聊家常、和同事对接工作的她,渐渐发现自己的声音变得含糊,一句话要重复好几遍对方才能听清——后来她才知道,这是医生口中的“构音障碍”。
手脚也跟着没力气,手里拿点东西都不稳,脸还时不时发麻。最让她害怕的是走路,总觉得脚下没根,摇摇晃晃的,生怕一不留神就摔了。
“不会是得了什么重病吧?”
不安像藤蔓一样缠上心头,May在家人的陪伴下赶去当地医院。当磁共振报告上“高位颈髓-脑干延髓脑桥海绵状血管瘤”这行字映入眼帘时,她拿着片子的手控制不住地发抖。
好好的人突然要面对这么大的打击,May心里一下子就凉了。她看着身边的家人,又想到自己可能以后动不了、说不出话,那种绝望和无助,没经历过的人很难懂。她甚至偷偷想,是不是这辈子就这样了。

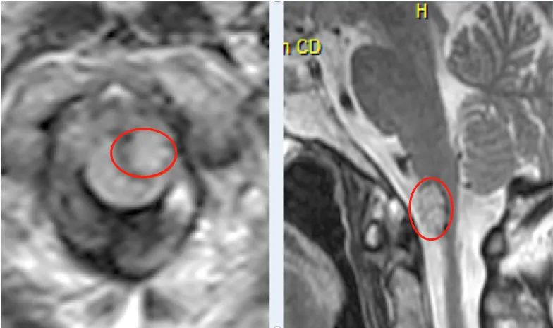
术前MR:高位颈髓-脑干延髓脑桥海绵状血管瘤
脑干-颈髓病变
脑干-颈髓病变可导致患者颈部以下的躯干和四肢瘫痪,甚至不能自主呼吸,终生使用呼吸机,更可直接导致呼吸心跳停止。而且该部位空间极为狭小,手术操作难度极大,病变与颈髓、神经、血管等紧密粘连,稍有不慎都可能出现瘫痪,这可谓是神经外科领域难度极高风险极大的手术之一。

可能有些病友清楚,海绵状血管瘤长在脑干、脊髓这些地方,最怕反复出血。一旦出血,很可能让人残疾,甚至丢了命。
要是手术只切一部分,剩下的血管瘤再出血的几率还大,到时候神经功能受损,后果不堪设想。所以能安全地把血管瘤完整切下来,才是防止再出血、让病情好起来的关键。
治疗挑战:
从“最后一丝希望”到“精准全切”
她赌对了
就在May快要放弃的时候,家人偶然听说了INC巴特朗菲教授——这位在脑干肿瘤手术领域有着几十年经验的神经外科大咖,曾成功为很多身处“绝境”的患者切除过疑难脑瘤。
“要不,我们试试联系巴教授?”
丈夫的话像一束微光,让May女士重新打起精神。她和家人抱着“哪怕只有万分之一可能”的心态,整理好所有检查资料,联系上了巴教授。
等收到巴教授说“可以手术”的回复时,May哭了。她知道这是自己唯一的机会,决定赌一把。
手术那天,巴教授用远外侧入路,在显微镜下一点点仔细操作。整个过程很顺利,最后把海绵状血管瘤完整地切了下来。

患者半坐位及体表手术入路切口标记
术后情况:
10天拆线出院,那些痛苦的症状都在变好
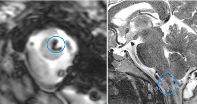
手术完没几天,就做了术后MR。跟术前的片子一对比,蓝色标记的地方能清楚看到,脑干里的病变已经全切掉了,也没有脑水肿、出血这些问题。


到了术后第10天,May顺利拆了线,就能出院了。现在她手脚的力气慢慢回来了,脸不麻了,说话也清楚多了,走路也稳当不少。之前那些让她绝望的症状,都在一点点变好。
她现在常说,当初没放弃真是对了。其实很多时候,只要找对方向、找对医生,再难的坎也能迈过去。

术后重生,May(图右)及家属灿烂的笑容
INC国际脑血管专家
巴特朗菲教授
INC国际神经外科医生集团旗下世界神经外科顾问团(WANG)成员、世界神经外科联合会(WFNS)教育与技术委员会前主席巴特朗菲教授,作为德国汉诺威国际神经外科研究院血管神经外科主任,擅长大脑半球病变、脑干病变、脑血管疾病、脑内深层区胶质瘤、颅颈交界处的病变等的肿瘤切除术、神经吻合术以及各种椎管内肿瘤等。

同时,巴特朗菲教授收到过来自欧洲、中东、北非以及日本、中国、韩国、新西兰、南非和智利的40个国家的学术邀请,应邀出席了400多场世界各地的学术会议或在神经外科大会作为特邀发言人,对世界神经外科学科做出重大贡献,特别是颅底外科和显微外科血管病变的脑和脊髓治疗。
- 文章标题:不想下半辈子要靠呼吸机活着,我决定搏一把!
- 更新时间:2025-09-16 11:45:39
400-029-0925




