听神经瘤对于大多数人来说并不陌生,既往早期的听神经瘤手术主要是以切除肿瘤,提高患者生存率为准则,但有时可能是以牺牲听力和面神经功能为代价而进行的。
随着技术的发展和相关手术设备突飞猛进的进步,听神经瘤手术的成功衡量标准已变成了“尽可能全切”、“不面瘫”、“保留听力”三要素并存。然而由于各地医疗水平、医生手术技术的参差,导致不少患者手术失败,术后出现严重并发症。

然而,由于听神经瘤切除手术常用的乙状窦后入路需要钻探到内耳道后壁,因此,医生在手术中很有可能发现听神经瘤的另一个“病搭子”——颈静脉球高位(HJB)。
INC国际神经外科医生集团旗下世界神经外科专家团(WNEG)成员、世界脑血管搭桥手术大咖、日本东京女子医科大学神经外科主任川岛明次(Akitsugu Kawashima)教授曾发表过一则听神经瘤伴HJB的案例,手术中采用的经岩前入路(ATPA)可被视为伴有HJB的听神经瘤患者的手术方法之一。
颈静脉球变“高”了?
颈静脉球位于岩骨下方的颈静脉窝内,“高位”并不是听神经瘤患者术后导致其位置“升高”,而是颅内乙状窦和颈内静脉连接处的球形膨大,从而导致颈静脉球窝与耳蜗之间的间距缩短。
颈静脉高位并没有统一的定义,一般来说,当颈静脉球达到或超过耳蜗基底转即称之为颈静脉球高位。同时,目前对颈静脉高位也没有标准的治疗方法。
颈静脉球高位的发生率在25%左右,大多数的颈静脉高位患者并没有明显症状,耳部症状往往为首发,较为常见的临床症状是搏动性耳鸣和听力下降。
由于静脉窦血流量增加或者管腔狭窄。容易导致血流撞击管壁时发出杂音,因其临近耳蜗结构,因此会出现和心脏频率一致的搏动性耳鸣。
一旦出现颈静脉球高位,就要关注是否伴有乙状壁的薄弱、缺损、憩室形成等,更要留意乙状窦情况,以免在手术中损伤。
INC川岛教授案例分享
切除肿瘤时,如何避免颈静脉球损伤?
病史回顾:51岁男性,被诊断为听神经瘤约1年。未观察到面神经麻痹,但是左侧听力严重损失,仅为105dB。MRI结果显示肿瘤已进展至内耳道,直径为24mm。
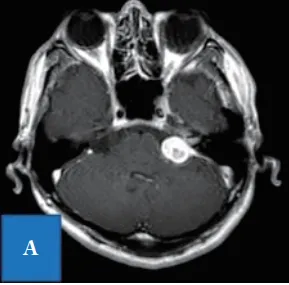
(图1)根据影像学检查结果诊断为听神经瘤,术前头部计算机断层扫描血管造影(CTA)观察到在内耳道壁后方形成的颈静脉球(带骨图像)。

图1A:入院时T1-加权项磁共振成像显示,延伸到内听道的桥脑角均匀增强。

图1B:计算机断层扫描-骨骼血管造影(CTA)显示,左上前侧有肿瘤(绿色肿块是增强区域);C:B所示的IAC壁骨缺失,显示颈高球非常靠近内听道和肿瘤。
治疗策略:当肿瘤切除手术无法完全切除时,为了防止复发,基本上以大体全切除(GTR)为目标进行手术。考虑到内耳道后壁钻孔时损伤风险较高,手术在不损伤内耳道的情况下仅部分切除。
此外,通过在内耳道的前上壁钻孔,可以避免损伤颈静脉球的风险。术中皮肤切口呈U形,以便围绕耳廓收集一个大的带蒂筋膜骨膜。
当从中颅底取出颞叶硬脑膜时,确认有一个棘孔,因此对硬脑膜中动脉进行烧灼和解剖。从颅中窝到小脑幕进行硬脑膜切口,并夹闭上锥体窦的近端和远端。
此外,可以用肉眼确认面神经的一部分在肿瘤前方,最终在保护颈静脉球的同时小心地切除了肿瘤。

图1D:术后磁共振成像。

图2A:开颅手术。
术后情况:术后患者出现面神经麻痹,但术后一年,面神经麻痹得到缓解。

图3A&B:术前轴向和冠状面计算机断层扫描图像,显示岩骨水平的内听道。一个巨大的高颈静脉球延伸到后颅窝;C&D:术后图像显示切除的内耳道前壁和上壁。
INC国际神经外科专家团川岛明次(Akitsugu Kawashima)教授,擅长脑卒中、烟雾病、颅底肿瘤、面部痉挛/三叉神经痛、颅内血肿、巨大脑动脉瘤、脑动静脉畸形等疾病的治疗,尤其擅长脑血管搭桥、颈内动脉内膜切除术。
神经外科经验:
开颅肿瘤切除术:280例(脑膜瘤100例,听神经瘤,三叉神经鞘瘤50例,颅底肿瘤160例)
脑动脉瘤夹闭手术:1000例(大动脉瘤290例)
脑血管搭桥手术:1300例(烟雾病560例,儿童烟雾病150例,1岁以内婴儿12例)
颈内动脉内膜切除术:450例
脑动静脉畸形切除:100例
微血管减压手术:100例
脑干海绵状血管瘤、颅后窝搭桥术、High-flow Bypass技术等

世界知名脑血管搭桥手术专家
国际动脉瘤手术专家
世界知名脑血管搭桥手术专家
日本知名脑血管病手术专家
日本东京女子医科大学八千代医疗中心神经外科主席
日本神经外科学会委员
日本脑卒中协会委员
日本脑卒中外科学会委员
日本急诊医学会委员
INC巴教授:听神经瘤手术关键
INC国际神经外科医生集团旗下世界神经外科顾问团(WANG)成员、世界神经外科联合会(WFNS)教育与技术委员会前主席巴特朗菲教授擅长大脑半球病变、脑干病变、脑血管疾病、脑内深层区胶质瘤、颅颈交界处的病变等的肿瘤切除术、神经吻合术以及各种椎管内肿瘤等。对世界神经外科学科做出重大贡献,特别是颅底外科和显微外科血管病变的脑和脊髓治疗。

德国Helmut Bertalanffy教授
世界神经外科联合会(WFNS)教育与技术委员会前主席
世界神经外科联合会(WFNS)提名委员会前主席
欧洲神经外科知名杂志《Neurosurgical Review》主编,2004-2016年
INC旗下世界神经外科顾问团(WANG)成员
在听神经瘤治疗理念方面,巴教授也总结了自己多年临床的手术关键。
自然间隙微创手术:巴教授善于用无热能、钝性工具,如显微镊、神经剥离弯钩等去钝性分离肿瘤薄膜及瘤外正常组织和神经结构。显微CUSA无牵拉的瘤内减压、切瘤,再慢慢把这包膜剥掉,尽量从脑组织的自然缝隙通道中,把瘤子从一众神经血管丛林中分、剥、切出来,并且很好地利用“打水Irrigation”等操作,避免手术中各种器械来回折腾、热损伤、操作物理损伤等。
显微CUSA刀手术理念:全球只有少数医者能很好地使用显微CUSA刀(超声刀)进行无损伤、无牵拉式地切除听神经瘤,这要求手术医师对其有良好的控制能力,不误伤神经血管。高程度保留面神经、耳蜗神经,实现术后面神经功能正常、听力保留的手术结果。
内听道磨除术及修补术:术中充分磨开内听道,暴露面神经与肿瘤的关系,是肿瘤全切和保护面神经功能的基础。磨除程度以能全切除内听道内肿瘤为宜,不可过度磨除,避免损伤神经、颈静脉球等,增加手术风险。
膜内肿瘤切除术:由于听神经瘤为蛛网膜内位的结构,面神经、前庭蜗神经位于肿瘤与蛛网膜之间,因此,为了保留面、前庭蜗神经的功能,需进行膜内切除,采用锐性的剪除面、前庭蜗神经的表面肿瘤。对于保护脑干表面的引流、供应血管及其功能十分重要。
肿瘤尺寸巨大,巴教授顺利全切
27岁的嘉宇由于耳鸣、听力下降、右脸和舌头麻木等症状就医检查,核磁结果提示可能为右侧听神经瘤,最大横断面约19.8x28mm,右侧听神经增粗,周围小脑及脑干受压。

2022年,嘉宇赴德寻求巴教授手术,手术顺利全切肿瘤。2022年巴教授中国行,嘉宇专程赶来感激巴教授。

参考资料:
[1]Kawashima,Akitsugu et al.(2019).Surgical Management of Vestibular Schwannoma with a High Jugular Bulb via the Anterior Transpetrosal Approach:A Case Report.Japanese Journal of Neurosurgery.28.727-732.
- 文章标题:听神经瘤还会找“病搭子”!伴有颈静脉球高位该如何治疗?
- 更新时间:2024-12-09 18:22:36
400-029-0925




